相关产品推荐更多 >
万千商家帮你免费找货
0 人在求购买到急需产品
- 详细信息
- 技术资料
- 免疫原:
Synthetic peptide corresponding to a region derived from internal residues of human ORAI calcium release-activated calcium modulator 1
- 形态:
liquid
- 保存条件:
Store at -20˚C
- 克隆性:
Polyclonal
- 适应物种:
Human
- 保质期:
12 months
- 抗原来源:
Rabbit
- 供应商:
南京赛戈巍生物科技有限公司
- 宿主:
Rabbit
- 应用范围:
IHC WB
- 靶点:
Uniprot:Q96D31
- 抗体英文名:
ORAI1 Antibody
- 规格:
50ul/100ul
配方:Rabbit IgG in pH7.3 PBS, 0.05% NaN3, 50% Glycerol.
应用详情:
Immunohistochemistry: 1:25-1:100
Western Blot: 200-1000
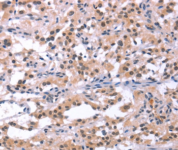
图片:
![ORAI1 Antibody[37133]](https://img1.dxycdn.com/p/s14/2025/0922/238/4013648263556799691.jpg)
Immunohistochemical analysis of paraffin-embedded Human thyroid cancer tissue using #37133 at dilution 1/25.
,
![ORAI1 Antibody[37133]](https://img1.dxycdn.com/p/s14/2025/0922/101/2557639063556799691.jpg)
Immunohistochemical analysis of paraffin-embedded Human brain tissue using #37133 at dilution 1/25.
,
![ORAI1 Antibody[37133]](https://img1.dxycdn.com/p/s14/2025/0922/461/6317858582556799691.jpg)
Gel: 8%SDS-PAGE, Lysate: 40 μg, Lane: Human ovarian cancer tissue lysate, Primary antibody: D160923(ORAI1 Antibody) at dilution 1/200, Secondary antibody: Goat anti rabbit IgG at 1/8000 dilution, Exposure time: 1 minute
风险提示:丁香通仅作为第三方平台,为商家信息发布提供平台空间。用户咨询产品时请注意保护个人信息及财产安全,合理判断,谨慎选购商品,商家和用户对交易行为负责。对于医疗器械类产品,请先查证核实企业经营资质和医疗器械产品注册证情况。
技术资料暂无技术资料 索取技术资料


![ORAI1 Antibody[37133]](https://img1.dxycdn.com/p/s14/2025/0922/359/6146153295428599691.jpg)


![EP1 Polyclonal Antibody[41823]](https://img1.dxycdn.com/p/s14/2025/0922/568/0046652811090600791.jpg!wh200)
![BPIFB1 Antibody[46934]](https://img1.dxycdn.com/p/s14/2025/0923/496/0462304380155040791.jpg!wh200)
![PRKDC Rabbit Polyclonal Antibody[55294]](https://img1.dxycdn.com/p/s14/2025/0922/498/0460884283108299691.jpg!wh200)
