相关产品推荐更多 >
万千商家帮你免费找货
0 人在求购买到急需产品
- 详细信息
- 技术资料
- 免疫原:
A synthesized peptide derived from human Phospho-Nrf2 (S40)
- 形态:
liquid
- 保存条件:
Store at -20˚C
- 克隆性:
Monoclonal
- 适应物种:
Human
- 保质期:
12 months
- 抗原来源:
Recombinant Rabbit
- 供应商:
南京赛戈巍生物科技有限公司
- 宿主:
Recombinant Rabbit
- 应用范围:
WB IHC ICC/IF IP FC
- 靶点:
Uniprot:Q16236
- 抗体英文名:
Nrf2 (Phospho-Ser40) Rabbit mAb
- 规格:
50ul/100ul
别名:E4TF1-60; E4TF1A; NFT2; NRF2; NRF2A;
计算分子量:90kDa
配方:Rabbit IgG in phosphate buffered saline , pH 7.4, 150mM NaCl, 0.02% sodium azide and 50% glycerol.
应用详情:WB:1:1000~1:2000
IHC:1:50~1:200
ICC/IF:1:50~1:200
IP:1:50
FC:1:50
图片:
计算分子量:90kDa
配方:Rabbit IgG in phosphate buffered saline , pH 7.4, 150mM NaCl, 0.02% sodium azide and 50% glycerol.
应用详情:WB:1:1000~1:2000
IHC:1:50~1:200
ICC/IF:1:50~1:200
IP:1:50
FC:1:50
图片:

Western blot analysis of Nrf2 phosphorylation expression in HepG2 cell lysate.
,

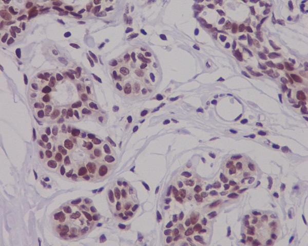
Immunohistochemical analysis of paraffin-embedded human breast carcinoma, using Phospho-Nrf2 (S40) Antibody.
,

Immunofluorescent analysis of HepG2 cells, using Phospho-Nrf2 (S40) Antibody.
风险提示:丁香通仅作为第三方平台,为商家信息发布提供平台空间。用户咨询产品时请注意保护个人信息及财产安全,合理判断,谨慎选购商品,商家和用户对交易行为负责。对于医疗器械类产品,请先查证核实企业经营资质和医疗器械产品注册证情况。
技术资料暂无技术资料 索取技术资料
Nrf2 (Phospho-Ser40) Rabbit mAb[14242]
询价


![Nrf2 (Phospho-Ser40) Rabbit mAb[14242]](https://img1.dxycdn.com/p/s14/2025/0922/632/2321321568067599691.jpg)


![CYP1A1 Mouse mAb[63527]](https://img1.dxycdn.com/p/s14/2025/0922/632/2321321568067599691.jpg!wh200)
![SLC25A19 Conjugated Antibody[C27767]](https://img1.dxycdn.com/p/s14/2025/0923/305/2150219664296040791.jpg!wh200)
![LC3A Rabbit mAb[52795]](https://img1.dxycdn.com/p/s14/2025/0922/498/0460884283108299691.jpg!wh200)
![Bif1 Antibody[35522]](https://img1.dxycdn.com/p/s14/2025/0922/359/6146153295428599691.jpg!wh200)
![DSCR 1 Polyclonal Antibody[40854]](https://img1.dxycdn.com/p/s14/2025/0922/568/0046652811090600791.jpg!wh200)
