相关产品推荐更多 >
万千商家帮你免费找货
0 人在求购买到急需产品
- 详细信息
- 技术资料
- 免疫原:
Purified recombinant fragment of human CYP1A1 expressed in E. Coli. <br>
- 形态:
liquid
- 保存条件:
Store at -20˚C
- 克隆性:
Monoclonal
- 适应物种:
Human
- 保质期:
12 months
- 抗原来源:
Mouse
- 供应商:
南京赛戈巍生物科技有限公司
- 宿主:
Mouse
- 应用范围:
IHC
- 靶点:
Uniprot:P04798
- 抗体英文名:
CYP1A1 Mouse mAb
- 规格:
50ul/100ul
别名:AHH; AHRR; CP11; CYP1; P1-450; P450-C; P450DX
计算分子量:58kDa
配方:Purified antibody in PBS with 0.05% sodium azide
应用详情:IHC:1/200 - 1/1000
ELISA:1/10000
图片:
计算分子量:58kDa
配方:Purified antibody in PBS with 0.05% sodium azide
应用详情:IHC:1/200 - 1/1000
ELISA:1/10000
图片:
![CYP1A1 Mouse mAb[63527]](https://img1.dxycdn.com/p/s14/2025/0922/918/4059646390344699691.jpg)
Black line: Control Antigen (100 ng); Purple line: Antigen(10ng); Blue line: Antigen (50 ng); Red line: Antigen (100 ng);
,
![CYP1A1 Mouse mAb[63527]](https://img1.dxycdn.com/p/s14/2025/0922/550/6526585441344699691.jpg)
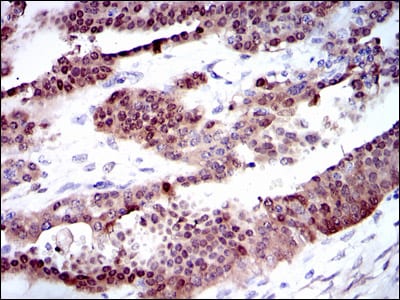
Immunohistochemical analysis of paraffin-embedded human ovarian cancer tissues using CYP1A1 mouse mAb with DAB staining.
,
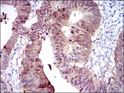
![CYP1A1 Mouse mAb[63527]](https://img1.dxycdn.com/p/s14/2025/0922/508/8619348541344699691.jpg)
Immunohistochemical analysis of paraffin-embedded human rectum cancer tissues using CYP1A1 mouse mAb with DAB staining.
风险提示:丁香通仅作为第三方平台,为商家信息发布提供平台空间。用户咨询产品时请注意保护个人信息及财产安全,合理判断,谨慎选购商品,商家和用户对交易行为负责。对于医疗器械类产品,请先查证核实企业经营资质和医疗器械产品注册证情况。
技术资料暂无技术资料 索取技术资料
CYP1A1 Mouse mAb[63527]
询价


![CYP1A1 Mouse mAb[63527]](https://img1.dxycdn.com/p/s14/2025/0922/632/2321321568067599691.jpg)


![RAB11B Conjugated Antibody[C28928]](https://img1.dxycdn.com/p/s14/2025/0923/305/2150219664296040791.jpg!wh200)
![Mouse Anti-Monkey IgG (H&L) HRP[L35032]](https://img1.dxycdn.com/p/s14/2025/0922/498/0460884283108299691.jpg!wh200)
![CCT6A Antibody[35092]](https://img1.dxycdn.com/p/s14/2025/0922/359/6146153295428599691.jpg!wh200)
![CD170 Mouse mAb[63265]](https://img1.dxycdn.com/p/s14/2025/0922/632/2321321568067599691.jpg!wh200)
