相关产品推荐更多 >
万千商家帮你免费找货
0 人在求购买到急需产品
- 详细信息
- 技术资料
- 免疫原:
Purified recombinant fragment of human SRC expressed in E. Coli. <br>
- 形态:
liquid
- 保存条件:
Store at -20˚C
- 克隆性:
Monoclonal
- 适应物种:
Human
- 保质期:
12 months
- 抗原来源:
Mouse
- 供应商:
南京赛戈巍生物科技有限公司
- 宿主:
Mouse
- 应用范围:
WB;IHC;FC
- 靶点:
Uniprot:P12931
- 抗体英文名:
SRC Mouse mAb
- 规格:
50ul/100ul
计算分子量:60kDa
配方:Purified antibody in PBS with 0.05% sodium azide.
应用详情:WB:1/500 - 1/2000
IHC:1/200 - 1/1000
FC:1/200 - 1/400
ELISA:1/10000
图片:
![SRC Mouse mAb[64276]](https://img1.dxycdn.com/p/s14/2025/0922/356/0259377741597699691.jpg)
Black line: Control Antigen (100 ng); Purple line: Antigen(10ng); Blue line: Antigen (50 ng); Red line: Antigen (100 ng);
,
![SRC Mouse mAb[64276]](https://img1.dxycdn.com/p/s14/2025/0922/570/4285467590597699691.jpg)
Western blot analysis using SRC mouse mAb against MCF-7 (1), A431 (2), Hela (3), HEK293 (4), NIH/3T3 (5), PC-12 (6) and Cos7 (7) cell lysate.
,
![SRC Mouse mAb[64276]](https://img1.dxycdn.com/p/s14/2025/0922/778/8429661741597699691.jpg)
Flow cytometric analysis of MCF-7 cells using SRC mouse mAb (green) and negative control (red).
,
![SRC Mouse mAb[64276]](https://img1.dxycdn.com/p/s14/2025/0922/958/2937662791597699691.jpg)
Immunohistochemical analysis of paraffin-embedded human bladder cancer tissues using SRC mouse mAb with DAB staining.
,
![SRC Mouse mAb[64276]](https://img1.dxycdn.com/p/s14/2025/0922/591/0067331241597699691.jpg)
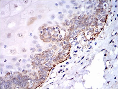
Immunohistochemical analysis of paraffin-embedded human esophageal tissues using SRC mouse mAb with DAB staining.
风险提示:丁香通仅作为第三方平台,为商家信息发布提供平台空间。用户咨询产品时请注意保护个人信息及财产安全,合理判断,谨慎选购商品,商家和用户对交易行为负责。对于医疗器械类产品,请先查证核实企业经营资质和医疗器械产品注册证情况。
技术资料暂无技术资料 索取技术资料


![SRC Mouse mAb[64276]](https://img1.dxycdn.com/p/s14/2025/0922/632/2321321568067599691.jpg)


![CDK2 Mouse mAb[63446]](https://img1.dxycdn.com/p/s14/2025/0922/632/2321321568067599691.jpg!wh200)
![MCAK Rabbit mAb[52798]](https://img1.dxycdn.com/p/s14/2025/0922/498/0460884283108299691.jpg!wh200)
![Tumor necrosis factor Polyclonal Antibody[42484]](https://img1.dxycdn.com/p/s14/2025/0922/568/0046652811090600791.jpg!wh200)
![CD4 Antibody[35486]](https://img1.dxycdn.com/p/s14/2025/0922/359/6146153295428599691.jpg!wh200)
