相关产品推荐更多 >
万千商家帮你免费找货
0 人在求购买到急需产品
- 详细信息
- 技术资料
- 免疫原:
Purified recombinant fragment of human CDK2 expressed in E. Coli. <br>
- 形态:
liquid
- 保存条件:
Store at -20˚C
- 克隆性:
Monoclonal
- 适应物种:
Human;Mouse
- 保质期:
12 months
- 抗原来源:
Mouse
- 供应商:
南京赛戈巍生物科技有限公司
- 宿主:
Mouse
- 应用范围:
WB;IHC;IF;FC
- 靶点:
Uniprot:P24941
- 抗体英文名:
CDK2 Mouse mAb
- 规格:
50ul/100ul
计算分子量:33.9kDa
配方:Purified antibody in PBS with 0.05% sodium azide
应用详情:WB:1/500 - 1/2000
IHC:1/200 - 1/1000
ICC:1/200 - 1/1000
FC:1/200 - 1/400
ELISA:1/10000
图片:
![CDK2 Mouse mAb[63446]](https://img1.dxycdn.com/p/s14/2025/0922/096/2346057678204699691.jpg)
Black line: Control Antigen (100 ng); Purple line: Antigen(10ng); Blue line: Antigen (50 ng); Red line: Antigen (100 ng);
,
![CDK2 Mouse mAb[63446]](https://img1.dxycdn.com/p/s14/2025/0922/172/4640365678204699691.jpg)
Western blot analysis using CDK2 mouse mAb against Jurkat (1), HL-60 (2), K562(3), A431(4), HeLa(5), and NIH3T3 (6) cell lysate.
,
![CDK2 Mouse mAb[63446]](https://img1.dxycdn.com/p/s14/2025/0922/175/6395145639204699691.jpg)
Immunofluorescence analysis of HeLa cells using CDK2 mouse mAb (green). Red: Actin filaments have been labeled with Alexa Fluor-555 phalloidin.
,
![CDK2 Mouse mAb[63446]](https://img1.dxycdn.com/p/s14/2025/0922/041/4053757088204699691.jpg)
Flow cytometric analysis of Jurkat cells using CDK2 mouse mAb (green) and negative control (red).
,
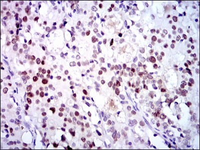
![CDK2 Mouse mAb[63446]](https://img1.dxycdn.com/p/s14/2025/0922/879/4260967549204699691.jpg)
Immunohistochemical analysis of paraffin-embedded human cervical cancer tissues using CDK2 mouse mAb with DAB staining.
,
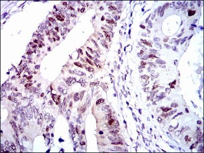
![CDK2 Mouse mAb[63446]](https://img1.dxycdn.com/p/s14/2025/0922/997/4450838300304699691.jpg)
Immunohistochemical analysis of paraffin-embedded human colon cancer tissues using CDK2 mouse mAb with DAB staining.
风险提示:丁香通仅作为第三方平台,为商家信息发布提供平台空间。用户咨询产品时请注意保护个人信息及财产安全,合理判断,谨慎选购商品,商家和用户对交易行为负责。对于医疗器械类产品,请先查证核实企业经营资质和医疗器械产品注册证情况。
技术资料暂无技术资料 索取技术资料


![CDK2 Mouse mAb[63446]](https://img1.dxycdn.com/p/s14/2025/0922/632/2321321568067599691.jpg)


![KLHL11 Mouse mAb[63832]](https://img1.dxycdn.com/p/s14/2025/0922/632/2321321568067599691.jpg!wh200)
![NEDD9 Antibody[36517]](https://img1.dxycdn.com/p/s14/2025/0922/359/6146153295428599691.jpg!wh200)
![TBX18 Antibody[42775]](https://img1.dxycdn.com/p/s14/2025/0922/568/0046652811090600791.jpg!wh200)
![YY1 Conjugated Antibody[C42865]](https://img1.dxycdn.com/p/s14/2025/0923/278/4431488150116040791.jpg!wh200)
