相关产品推荐更多 >
万千商家帮你免费找货
0 人在求购买到急需产品
- 详细信息
- 技术资料
- 免疫原:
Purified recombinant fragment of calcyclin expressed in E. Coli.
- 形态:
liquid
- 保存条件:
Store at -20˚C
- 克隆性:
Monoclonal
- 适应物种:
Human
- 保质期:
12 months
- 抗原来源:
Mouse
- 供应商:
南京赛戈巍生物科技有限公司
- 宿主:
Mouse
- 应用范围:
IHC
- 靶点:
Uniprot:P06703
- 抗体英文名:
S100A6 Mouse mAb
- 规格:
50ul/100ul
别名:S100A6; 2A9; PRA; 5B10; CABP; CACY
配方:Purified antibody in PBS with 0.05% sodium azide
应用详情:IHC:1/200 - 1/1000
ELISA:1/10000
图片:
配方:Purified antibody in PBS with 0.05% sodium azide
应用详情:IHC:1/200 - 1/1000
ELISA:1/10000
图片:
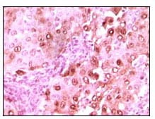
![S100A6 Mouse mAb[64205]](https://img1.dxycdn.com/p/s14/2025/0922/674/8239792442267699691.jpg)
Immunohistochemical analysis of paraffin-embedded human brain glioma tissue showing nuclear localization using calcyclin mouse mAb with DAB staining.
风险提示:丁香通仅作为第三方平台,为商家信息发布提供平台空间。用户咨询产品时请注意保护个人信息及财产安全,合理判断,谨慎选购商品,商家和用户对交易行为负责。对于医疗器械类产品,请先查证核实企业经营资质和医疗器械产品注册证情况。
技术资料暂无技术资料 索取技术资料
S100A6 Mouse mAb[64205]
询价


![S100A6 Mouse mAb[64205]](https://img1.dxycdn.com/p/s14/2025/0922/632/2321321568067599691.jpg)


![PI3 Kinase Class III (phospho-Ser249) rabbit pAb[13620]](https://img1.dxycdn.com/p/s14/2025/0922/498/0460884283108299691.jpg!wh200)
![MIIP Conjugated Antibody[C46613]](https://img1.dxycdn.com/p/s14/2025/0923/305/2150219664296040791.jpg!wh200)
![Podocalyxin Polyclonal Antibody[42569]](https://img1.dxycdn.com/p/s14/2025/0922/568/0046652811090600791.jpg!wh200)
![A Cyclase IX Polyclonal Conjugated Antibody[C40530]](https://img1.dxycdn.com/p/s14/2025/0923/278/4431488150116040791.jpg!wh200)
