相关产品推荐更多 >
万千商家帮你免费找货
0 人在求购买到急需产品
- 详细信息
- 技术资料
- 免疫原:
Purified recombinant fragment of RTN3 expressed in E. Coli.
- 形态:
liquid
- 保存条件:
Store at -20˚C
- 克隆性:
Monoclonal
- 适应物种:
Human
- 保质期:
12 months
- 抗原来源:
Mouse
- 供应商:
南京赛戈巍生物科技有限公司
- 宿主:
Mouse
- 应用范围:
IHC
- 靶点:
Uniprot:O95197
- 抗体英文名:
RTN3 Mouse mAb
- 规格:
50ul/100ul
别名:HAP; ASYIP; NSPL2; NSPLII; RTN3-A1
计算分子量:113kDa
配方:Purified antibody in PBS with 0.05% sodium azide.
应用详情:IHC:1/200 - 1/1000
ELISA:1/10000
图片:
计算分子量:113kDa
配方:Purified antibody in PBS with 0.05% sodium azide.
应用详情:IHC:1/200 - 1/1000
ELISA:1/10000
图片:
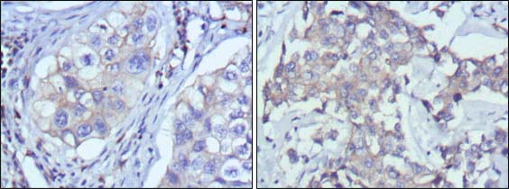
![RTN3 Mouse mAb[64197]](https://img1.dxycdn.com/p/s14/2025/0922/024/2701922754657699691.jpg)
Immunohistochemical analysis of paraffin-embedded human lung cancer (left) and breast cancer (right) using RTN3 mouse mAb with DAB staining.
,
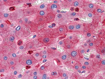
![RTN3 Mouse mAb[64197]](https://img1.dxycdn.com/p/s14/2025/0922/761/2990892515657699691.jpg)
Immunohistochemical analysis of paraffin-embedded human Liver tissues using RTN3 mouse mAb
风险提示:丁香通仅作为第三方平台,为商家信息发布提供平台空间。用户咨询产品时请注意保护个人信息及财产安全,合理判断,谨慎选购商品,商家和用户对交易行为负责。对于医疗器械类产品,请先查证核实企业经营资质和医疗器械产品注册证情况。
技术资料暂无技术资料 索取技术资料
RTN3 Mouse mAb[64197]
询价


![RTN3 Mouse mAb[64197]](https://img1.dxycdn.com/p/s14/2025/0922/632/2321321568067599691.jpg)


![Olfactory receptor 51B2 Polyclonal Antibody[41276]](https://img1.dxycdn.com/p/s14/2025/0922/568/0046652811090600791.jpg!wh200)
![Phospho-IKB alpha(S32) Rabbit mAb[13376]](https://img1.dxycdn.com/p/s14/2025/0923/496/0462304380155040791.jpg!wh200)
![CD113 Mouse mAb[63223]](https://img1.dxycdn.com/p/s14/2025/0922/632/2321321568067599691.jpg!wh200)
![PDK2 Rabbit Polyclonal Antibody[54818]](https://img1.dxycdn.com/p/s14/2025/0922/498/0460884283108299691.jpg!wh200)
