相关产品推荐更多 >
万千商家帮你免费找货
0 人在求购买到急需产品
- 详细信息
- 技术资料
- 免疫原:
Purified recombinant fragment of MPS1 expressed in E. Coli.
- 形态:
liquid
- 保存条件:
Store at -20˚C
- 克隆性:
Monoclonal
- 适应物种:
Human
- 保质期:
12 months
- 抗原来源:
Mouse
- 供应商:
南京赛戈巍生物科技有限公司
- 宿主:
Mouse
- 应用范围:
IHC
- 靶点:
Uniprot:P42677
- 抗体英文名:
MPS1 Mouse mAb
- 规格:
50ul/100ul
别名:RPS27
计算分子量:95kDa
配方:Ascitic fluid containing 0.03% sodium azide.
应用详情:IHC:1/200 - 1/1000
ELISA:1/10000
图片:
计算分子量:95kDa
配方:Ascitic fluid containing 0.03% sodium azide.
应用详情:IHC:1/200 - 1/1000
ELISA:1/10000
图片:
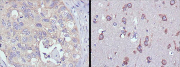
![MPS1 Mouse mAb[63944]](https://img1.dxycdn.com/p/s14/2025/0922/750/6127373117536699691.jpg)
Immunohistochemical analysis of paraffin-embedded human lung cancer (left) and human brain (right) tissues using MPS1 mouse mAb with DAB staining.
风险提示:丁香通仅作为第三方平台,为商家信息发布提供平台空间。用户咨询产品时请注意保护个人信息及财产安全,合理判断,谨慎选购商品,商家和用户对交易行为负责。对于医疗器械类产品,请先查证核实企业经营资质和医疗器械产品注册证情况。
技术资料暂无技术资料 索取技术资料
MPS1 Mouse mAb[63944]
询价


![MPS1 Mouse mAb[63944]](https://img1.dxycdn.com/p/s14/2025/0922/632/2321321568067599691.jpg)


![ACSL4 Conjugated Antibody[C36176]](https://img1.dxycdn.com/p/s14/2025/0923/278/4431488150116040791.jpg!wh200)
![CD23 (3D1) Mouse mAb[26203]](https://img1.dxycdn.com/p/s14/2025/0922/632/2321321568067599691.jpg!wh200)
![VCX Antibody[43819]](https://img1.dxycdn.com/p/s14/2025/0922/568/0046652811090600791.jpg!wh200)
