相关产品推荐更多 >
万千商家帮你免费找货
0 人在求购买到急需产品
- 详细信息
- 技术资料
- 免疫原:
Synthetic Peptide of CD23
- 形态:
liquid
- 保存条件:
Store at -20˚C
- 适应物种:
Human;Mouse;Rat
- 保质期:
12 months
- 供应商:
南京赛戈巍生物科技有限公司
- 应用范围:
IF,IHC-P
- 靶点:
Uniprot:P06734
- 抗体英文名:
CD23 (3D1) Mouse mAb
- 规格:
50ul/100ul
计算分子量:28,38,49kDa
配方:PBS, pH 7.4, containing 0.02% sodium azide as Preservative and 50% Glycerol.
应用详情:
IF: 1:50-200 IHC: 1:200
图片:
![CD23 (3D1) Mouse mAb[26203]](https://img1.dxycdn.com/p/s14/2025/0922/194/2990280837321699691.jpg)
Immunofluorescence analysis of human-stomach tissue. 1,CD23 Monoclonal Antibody(1E9)(red) was diluted at 1:200(4?C,overnight). 2, Cy3 labled Secondary antibody was diluted at 1:300(room temperature, 50min).3, Picture B: DAPI(blue) 10min. Picture A:Target. Picture B: DAPI. Picture C: merge of A+B
,
![CD23 (3D1) Mouse mAb[26203]](https://img1.dxycdn.com/p/s14/2025/0922/939/4872687047321699691.jpg)
Immunofluorescence analysis of rat-lung tissue. 1,CD23 Monoclonal Antibody(1E9)(red) was diluted at 1:200(4?C,overnight). 2, Cy3 labled Secondary antibody was diluted at 1:300(room temperature, 50min).3, Picture B: DAPI(blue) 10min. Picture A:Target. Picture B: DAPI. Picture C: merge of A+B
,
![CD23 (3D1) Mouse mAb[26203]](https://img1.dxycdn.com/p/s14/2025/0922/504/6127141447321699691.jpg)
Immunohistochemical analysis of paraffin-embedded Human-lung tissue. 1,CD23 Monoclonal Antibody(1E9) was diluted at 1:200(4?C,overnight). 2, Sodium citrate pH 6.0 was used for antibody retrieval(>98?C,20min). 3,Secondary antibody was diluted at 1:200(room tempeRature, 30min). Negative control was used by secondary antibody only.
,
![CD23 (3D1) Mouse mAb[26203]](https://img1.dxycdn.com/p/s14/2025/0922/051/0213985886321699691.jpg)
Immunohistochemical analysis of paraffin-embedded Rat-kidney tissue. 1,CD23 Monoclonal Antibody(1E9) was diluted at 1:200(4?C,overnight). 2, Sodium citrate pH 6.0 was used for antibody retrieval(>98?C,20min). 3,Secondary antibody was diluted at 1:200(room tempeRature, 30min). Negative control was used by secondary antibody only.
,
![CD23 (3D1) Mouse mAb[26203]](https://img1.dxycdn.com/p/s14/2025/0922/679/0848663047321699691.jpg)
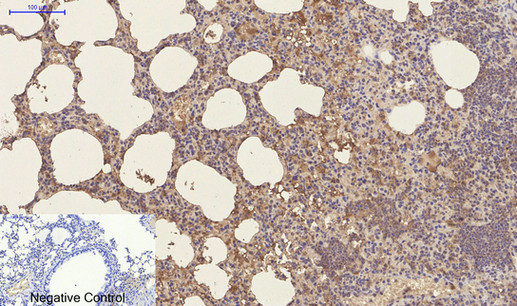
Immunohistochemical analysis of paraffin-embedded Mouse-lung tissue. 1,CD23 Monoclonal Antibody(1E9) was diluted at 1:200(4?C,overnight). 2, Sodium citrate pH 6.0 was used for antibody retrieval(>98?C,20min). 3,Secondary antibody was diluted at 1:200(room tempeRature, 30min). Negative control was used by secondary antibody only.
,
![CD23 (3D1) Mouse mAb[26203]](https://img1.dxycdn.com/p/s14/2025/0922/544/0825663507321699691.jpg)
IHC staining of Human tonsil tissue paraffin-embedded, diluted at 1:200.
风险提示:丁香通仅作为第三方平台,为商家信息发布提供平台空间。用户咨询产品时请注意保护个人信息及财产安全,合理判断,谨慎选购商品,商家和用户对交易行为负责。对于医疗器械类产品,请先查证核实企业经营资质和医疗器械产品注册证情况。
技术资料暂无技术资料 索取技术资料


![CD23 (3D1) Mouse mAb[26203]](https://img1.dxycdn.com/p/s14/2025/0922/632/2321321568067599691.jpg)


![CXL14 Polyclonal Antibody[48339]](https://img1.dxycdn.com/p/s14/2025/0922/632/2321321568067599691.jpg!wh200)
![NR2F6 Conjugated Antibody[C33668]](https://img1.dxycdn.com/p/s14/2025/0923/278/4431488150116040791.jpg!wh200)
![CD66/CEACAM1 (Phospho-Ser508) Antibody[12425]](https://img1.dxycdn.com/p/s14/2025/0922/568/0046652811090600791.jpg!wh200)
![CLK4 Antibody[34070]](https://img1.dxycdn.com/p/s14/2025/0922/359/6146153295428599691.jpg!wh200)
