相关产品推荐更多 >
万千商家帮你免费找货
0 人在求购买到急需产品
- 详细信息
- 技术资料
- 免疫原:
Purified recombinant fragment of human ILK (AA: 97-244) expressed in E. Coli.
- 形态:
liquid
- 保存条件:
Store at -20˚C
- 克隆性:
Monoclonal
- 适应物种:
Human;Mouse;Monkey
- 保质期:
12 months
- 抗原来源:
Mouse
- 供应商:
南京赛戈巍生物科技有限公司
- 宿主:
Mouse
- 应用范围:
WB;IHC;FC
- 靶点:
Uniprot:Q13418
- 抗体英文名:
ILK Mouse mAb
- 规格:
50ul/100ul
计算分子量:51.4kDa
配方:Ascitic fluid containing 0.03% sodium azide.
应用详情:WB:1/500 - 1/2000
IHC:1/200 - 1/1000
FC:1/200 - 1/400
ELISA:1/10000
图片:
![ILK Mouse mAb[63787]](https://img1.dxycdn.com/p/s14/2025/0922/907/0637425583265699691.jpg)
Black line: Control Antigen (100 ng); Purple line: Antigen(10ng); Blue line: Antigen (50 ng); Red line: Antigen (100 ng);
,
![ILK Mouse mAb[63787]](https://img1.dxycdn.com/p/s14/2025/0922/386/8235382333265699691.jpg)
Western blot analysis using ILK mouse mAb against Jurkat (1), NIH3T3 (2), HeLa (3), PC-12 (4), C6 (5), COS7 (6), Raji (7), K562 (8) and MCF-7 (9) cell lysate.
,
![ILK Mouse mAb[63787]](https://img1.dxycdn.com/p/s14/2025/0922/797/4260123923265699691.jpg)
Flow cytometric analysis of Jurkat cells using ILK mouse mAb (green) and negative control (red).
,
![ILK Mouse mAb[63787]](https://img1.dxycdn.com/p/s14/2025/0922/059/0272203734265699691.jpg)
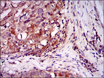
Immunohistochemical analysis of paraffin-embedded human esophageal cancer tissues using ILK mouse mAb with DAB staining.
,
![ILK Mouse mAb[63787]](https://img1.dxycdn.com/p/s14/2025/0922/344/8047929484265699691.jpg)
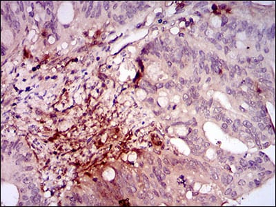
Immunohistochemical analysis of paraffin-embedded human rectum cancer tissues using ILK mouse mAb with DAB staining.
风险提示:丁香通仅作为第三方平台,为商家信息发布提供平台空间。用户咨询产品时请注意保护个人信息及财产安全,合理判断,谨慎选购商品,商家和用户对交易行为负责。对于医疗器械类产品,请先查证核实企业经营资质和医疗器械产品注册证情况。
技术资料暂无技术资料 索取技术资料


![ILK Mouse mAb[63787]](https://img1.dxycdn.com/p/s14/2025/0922/632/2321321568067599691.jpg)


![TRAF6 Polyclonal Antibody[41510]](https://img1.dxycdn.com/p/s14/2025/0922/568/0046652811090600791.jpg!wh200)
![Phospho-RSK1 p90(T359+S363) Rabbit mAb[13362]](https://img1.dxycdn.com/p/s14/2025/0923/496/0462304380155040791.jpg!wh200)
![AIM2 Mouse mAb[63039]](https://img1.dxycdn.com/p/s14/2025/0922/632/2321321568067599691.jpg!wh200)
![CHIA Rabbit Polyclonal Antibody[54767]](https://img1.dxycdn.com/p/s14/2025/0922/498/0460884283108299691.jpg!wh200)
