相关产品推荐更多 >
万千商家帮你免费找货
0 人在求购买到急需产品
- 详细信息
- 技术资料
- 免疫原:
Purified recombinant fragment of human DCX (AA: 362-411) expressed in E. Coli.
- 形态:
liquid
- 保存条件:
Store at -20˚C
- 克隆性:
Monoclonal
- 适应物种:
Human,Mouse,Rat,Rabbit,Monkey
- 保质期:
12 months
- 抗原来源:
Mouse
- 供应商:
南京赛戈巍生物科技有限公司
- 宿主:
Mouse
- 应用范围:
WB;IHC;IF;FC
- 靶点:
Uniprot:O43602
- 抗体英文名:
DCX Mouse mAb
- 规格:
50ul/100ul
计算分子量:49.3kDa
配方:Purified antibody in PBS with 0.05% sodium azide
应用详情:WB:1/500 - 1/2000
IHC:1/200 - 1/1000
ICC:1/200 - 1/1000
FC:1/200 - 1/400
ELISA:1/10000
图片:
![DCX Mouse mAb[63535]](https://img1.dxycdn.com/p/s14/2025/0922/053/0445634534644699691.jpg)
Black line: Control Antigen (100 ng); Purple line: Antigen(10ng); Blue line: Antigen (50 ng); Red line: Antigen (100 ng);
,
![DCX Mouse mAb[63535]](https://img1.dxycdn.com/p/s14/2025/0922/933/2990643734644699691.jpg)
Western blot analysis using DCX mouse mAb against Mouse heart (1) lysate.
,
![DCX Mouse mAb[63535]](https://img1.dxycdn.com/p/s14/2025/0922/338/4226781684644699691.jpg)
Immunofluorescence analysis of HepG2 cells using DCX mouse mAb (green). Blue: DRAQ5 fluorescent DNA dye.
,
![DCX Mouse mAb[63535]](https://img1.dxycdn.com/p/s14/2025/0922/031/4661061190844699691.jpg)
Immunofluorescence analysis of NIH/3T3 cells using DCX mouse mAb (green). Blue: DRAQ5 fluorescent DNA dye. Red: Actin filaments have been labeled with Alexa Fluor- 555 phalloidin.
,
![DCX Mouse mAb[63535]](https://img1.dxycdn.com/p/s14/2025/0922/717/6167636900744699691.jpg)
Immunofluorescence analysis of RSC-96 cells using DCX mouse mAb (green). Blue: DRAQ5 fluorescent DNA dye. Red: Actin filaments have been labeled with Alexa Fluor- 555 phalloidin.
,
![DCX Mouse mAb[63535]](https://img1.dxycdn.com/p/s14/2025/0922/979/2133929484644699691.jpg)
Flow cytometric analysis of SK-N-SH cells using DCX mouse mAb (green) and negative control (red).
,
![DCX Mouse mAb[63535]](https://img1.dxycdn.com/p/s14/2025/0922/435/0086727604644699691.jpg)
Flow cytometric analysis of Hela cells using DCX mouse mAb (green) and negative control (red).
,
![DCX Mouse mAb[63535]](https://img1.dxycdn.com/p/s14/2025/0922/469/8883964504644699691.jpg)
Flow cytometric analysis of C6 cells using DCX mouse mAb (green) and negative control (red).
,
![DCX Mouse mAb[63535]](https://img1.dxycdn.com/p/s14/2025/0922/746/6923497154644699691.jpg)
Flow cytometric analysis of NIH/3T3 cells using DCX mouse mAb (green) and negative control (red).
,
![DCX Mouse mAb[63535]](https://img1.dxycdn.com/p/s14/2025/0922/080/2553666754644699691.jpg)
Flow cytometric analysis of COS7 cells using DCX mouse mAb (green) and negative control (red).
,
![DCX Mouse mAb[63535]](https://img1.dxycdn.com/p/s14/2025/0922/840/6399133175644699691.jpg)
Immunohistochemical analysis of paraffin-embedded human brain tissue tissues using DCX mouse mAb with DAB staining.
,
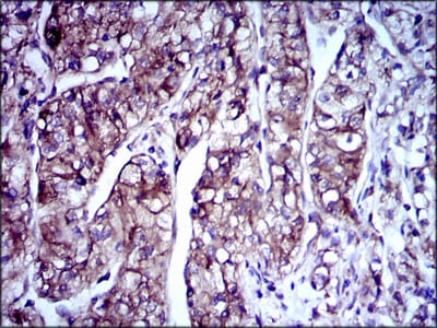
![DCX Mouse mAb[63535]](https://img1.dxycdn.com/p/s14/2025/0922/624/3323249188644699691.jpg)
Immunohistochemical analysis of paraffin-embedded human kidney cancer tissues using DCX mouse mAb with DAB staining.
,
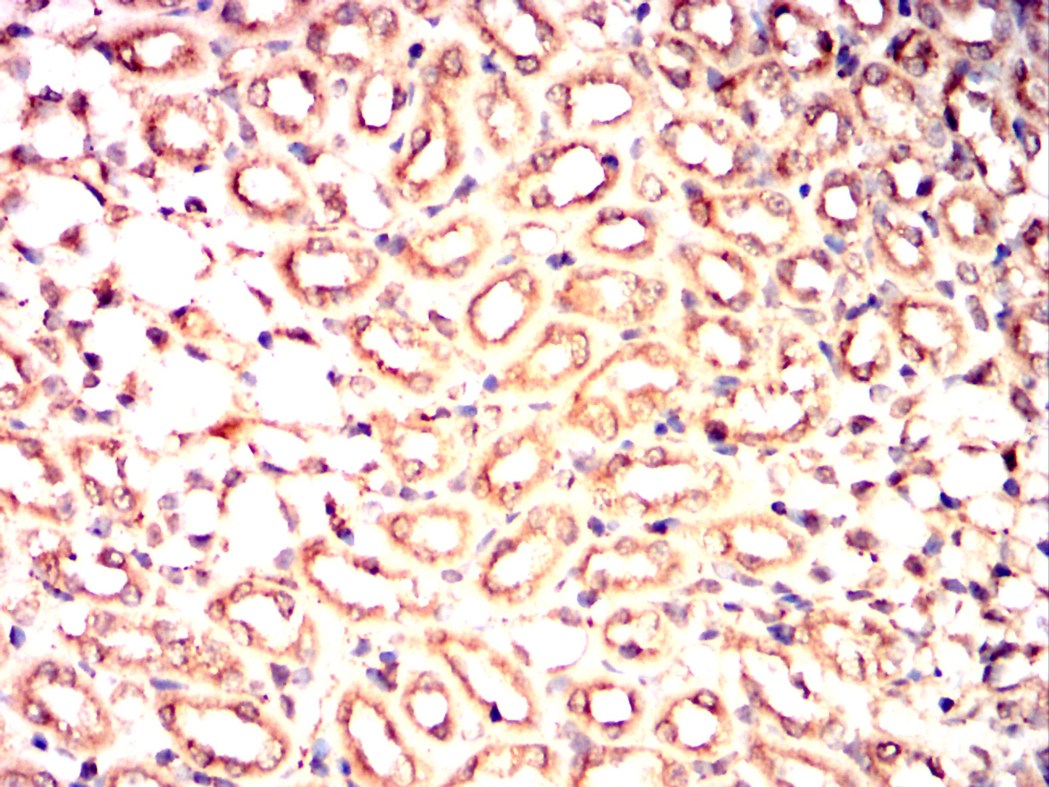
![DCX Mouse mAb[63535]](https://img1.dxycdn.com/p/s14/2025/0922/755/6503988303744699691.jpg)
Immunohistochemical analysis of paraffin-embedded Mouse kidney using DCX mouse mAb with DAB staining.
,
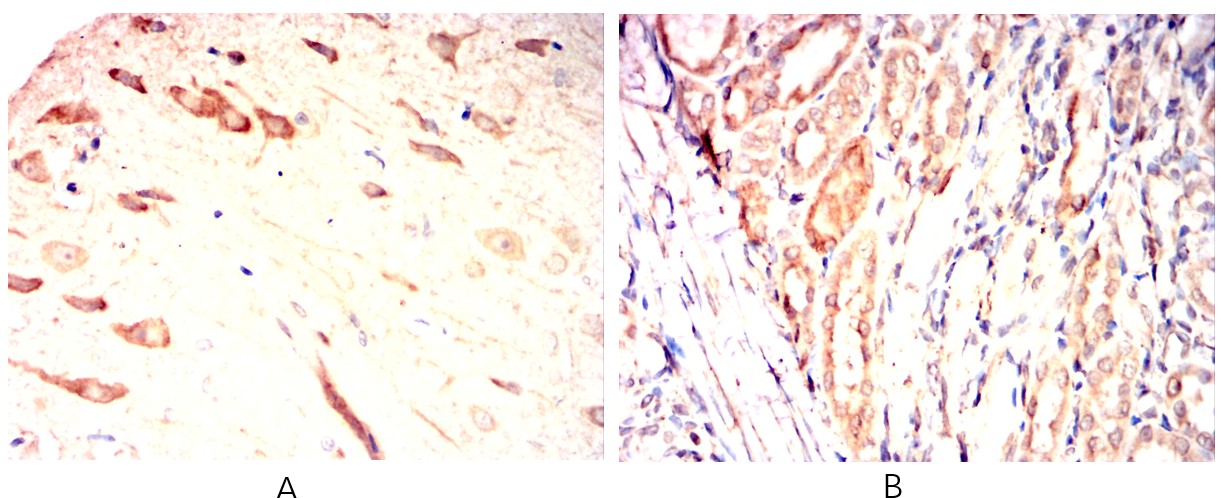
![DCX Mouse mAb[63535]](https://img1.dxycdn.com/p/s14/2025/0922/501/6100151999644699691.jpg)
Immunohistochemical analysis of paraffin-embedded Rat brain(A)Rat kidney(B) using DCX mouse mAb with DAB staining.
,
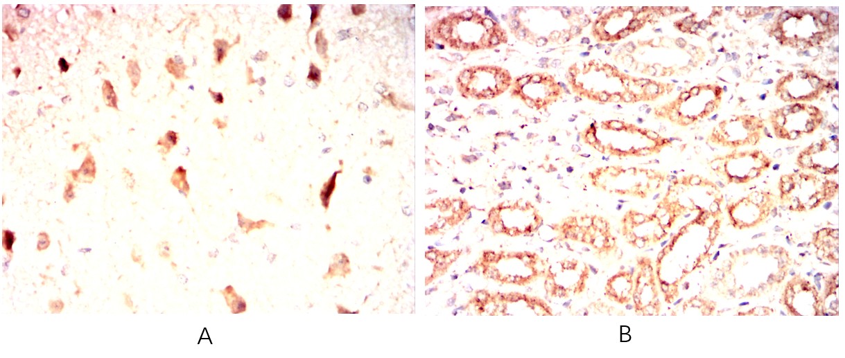
![DCX Mouse mAb[63535]](https://img1.dxycdn.com/p/s14/2025/0922/998/6798387817644699691.jpg)
Immunohistochemical analysis of paraffin-embedded Rabbit brain(A)Rabbit kidney(B) using DCX mouse mAb with DAB staining.
风险提示:丁香通仅作为第三方平台,为商家信息发布提供平台空间。用户咨询产品时请注意保护个人信息及财产安全,合理判断,谨慎选购商品,商家和用户对交易行为负责。对于医疗器械类产品,请先查证核实企业经营资质和医疗器械产品注册证情况。
技术资料暂无技术资料 索取技术资料


![DCX Mouse mAb[63535]](https://img1.dxycdn.com/p/s14/2025/0922/632/2321321568067599691.jpg)


![VDAC1 Polyclonal Antibody[41776]](https://img1.dxycdn.com/p/s14/2025/0922/568/0046652811090600791.jpg!wh200)
![CLINT1 Antibody[46514]](https://img1.dxycdn.com/p/s14/2025/0923/496/0462304380155040791.jpg!wh200)
![TXN Rabbit Polyclonal Antibody[55269]](https://img1.dxycdn.com/p/s14/2025/0922/498/0460884283108299691.jpg!wh200)
