相关产品推荐更多 >
万千商家帮你免费找货
0 人在求购买到急需产品
- 详细信息
- 文献和实验
- 技术资料
- 免疫原:
Synthesized peptide derived from human LMOD2
- 形态:
liquid
- 保存条件:
Store at -20˚C
- 克隆性:
Polyclonal
- 适应物种:
Human;Mouse;Rat
- 保质期:
12 months
- 抗原来源:
Rabbit
- 供应商:
南京赛戈巍生物科技有限公司
- 宿主:
Rabbit
- 应用范围:
WB,IHC,ELISA
- 靶点:
Uniprot:Q6P5Q4
- 抗体英文名:
LMOD2 rabbit pAb
- 规格:
50ul/100ul
配方:Liquid in PBS containing 50% glycerol, 0.5% BSA and 0.02% sodium azide.
应用详情:
WB 1:500-2000;
IHC 1:50-300;
ELISA 2000-20000
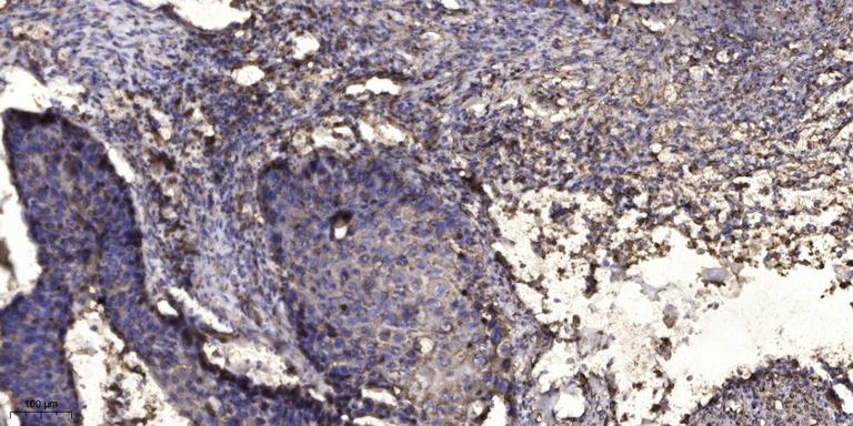
图片:

Western blot analysis of lysates from DU145 cells, primary antibody was diluted at 1:1000, 4°over night
,

Immunohistochemical analysis of paraffin-embedded human Squamous cell carcinoma of lung.
风险提示:丁香通仅作为第三方平台,为商家信息发布提供平台空间。用户咨询产品时请注意保护个人信息及财产安全,合理判断,谨慎选购商品,商家和用户对交易行为负责。对于医疗器械类产品,请先查证核实企业经营资质和医疗器械产品注册证情况。
文献和实验= NAL), appears to form upon oxidative cyclization of the nonfluorescent 2:1 lysine-HNE Michael adduct-Schiff base cross-link (Scheme 1). Polyclonal antibody (PAb) to the NAL-HNE fluorophore was raised in rabbit and found to be highly specific
GE Healthcare Benzamidine Sepharose™ 6B is p-aminobenzamidine covalently attached to Sepharose 6B by the epoxy coupling method. p-Aminobenzamidine (PAB), is a synthetic inhibitor of trypsin-like serine protease. Trypsin and trypsin
法所替代。利用微球菌核酸酶的切割特性(在染色质核小体之间的 DNA 更容易被切开),可以快速温和地将染色质 DNA 切断,且最大限度地保持了细胞原有染色质结构以及目的蛋白与 DNA 的结合状态,使 ChIP 的准确性和结果可信度大大提高。CST 推出的 SimpleChIP® 酶解法试剂盒,含有标准 ChIP 流程所需的整套试剂、ChIP 级蛋白质 G 微珠、阳性对照抗体(Histone H3(D2B12) XP® Rabbit mAb (ChIP Formulated) #4620)、阴性对照抗体、DNA
技术资料暂无技术资料 索取技术资料






![GRAMD2A Conjugated Antibody[C31964]](https://img1.dxycdn.com/p/s14/2025/0923/305/2150219664296040791.jpg!wh200)
![PROCR Polyclonal Conjugated Antibody[C41693]](https://img1.dxycdn.com/p/s14/2025/0923/278/4431488150116040791.jpg!wh200)
![ZNF286A Antibody[39676]](https://img1.dxycdn.com/p/s14/2025/0922/359/6146153295428599691.jpg!wh200)
![ACSS2 Antibody[43064]](https://img1.dxycdn.com/p/s14/2025/0922/568/0046652811090600791.jpg!wh200)
