相关产品推荐更多 >
万千商家帮你免费找货
0 人在求购买到急需产品
- 详细信息
- 技术资料
- 免疫原:
Recombinant fusion protein of human ATP2A2 / SERCA2 (NP_733765.1).
- 形态:
liquid
- 保存条件:
Store at -20˚C
- 克隆性:
Polyclonal
- 适应物种:
Mouse;Rat
- 保质期:
12 months
- 抗原来源:
Rabbit
- 供应商:
南京赛戈巍生物科技有限公司
- 宿主:
Rabbit
- 应用范围:
WB,IHC
- 靶点:
Uniprot:P16615
- 抗体英文名:
ATP2A2 / SERCA2 Polyclonal Antibody
- 规格:
50ul/100ul
别名:ATP2A2; ATP2B; DAR; DD; SERCA2; sarcoplasmic/endoplasmic reticulum calcium ATPase 2
计算分子量:127kDa
配方:Avoid freeze / thaw cycles.|Buffer: PBS with 50% glycerol, pH7.5.
应用详情:WB 1:500 - 1:2000
IHC 1:50 - 1:100
图片:
计算分子量:127kDa
配方:Avoid freeze / thaw cycles.|Buffer: PBS with 50% glycerol, pH7.5.
应用详情:WB 1:500 - 1:2000
IHC 1:50 - 1:100
图片:

Western blot analysis of extracts of various cell lines, using ATP2A2 / SERCA2 antibody.
,

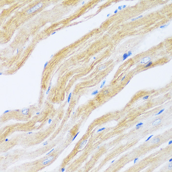
Immunohistochemistry of paraffin-embedded rat heart using ATP2A2 / SERCA2 antibody.
,

Immunohistochemistry of paraffin-embedded mouse lung using ATP2A2 / SERCA2 antibody.
,

Immunohistochemistry of paraffin-embedded mouse heart using ATP2A2 / SERCA2 antibody.
风险提示:丁香通仅作为第三方平台,为商家信息发布提供平台空间。用户咨询产品时请注意保护个人信息及财产安全,合理判断,谨慎选购商品,商家和用户对交易行为负责。对于医疗器械类产品,请先查证核实企业经营资质和医疗器械产品注册证情况。
技术资料暂无技术资料 索取技术资料
ATP2A2 / SERCA2 Polyclonal Antibody[27225]
询价


![ATP2A2 / SERCA2 Polyclonal Antibody[27225]](https://img1.dxycdn.com/p/s14/2025/0923/305/2150219664296040791.jpg)


![ZFYVE1 Rabbit Polyclonal Antibody[55246]](https://img1.dxycdn.com/p/s14/2025/0922/498/0460884283108299691.jpg!wh200)
![RPS27A antibody[38336]](https://img1.dxycdn.com/p/s14/2025/0922/359/6146153295428599691.jpg!wh200)
![BHLHA15 Antibody[43992]](https://img1.dxycdn.com/p/s14/2025/0922/568/0046652811090600791.jpg!wh200)
![NF-kB p65 Polyclonal Antibody[27518]](https://img1.dxycdn.com/p/s14/2025/0923/278/4431488150116040791.jpg!wh200)
