相关产品推荐更多 >
万千商家帮你免费找货
0 人在求购买到急需产品
- 详细信息
- 文献和实验
- 技术资料
- 免疫原:
Recombinant protein corresponding to C-terminal human Lysyl tRNA synthetase.
- 形态:
liquid
- 保存条件:
Store at -20˚C
- 克隆性:
Monoclonal antibody
- 适应物种:
Human;Mouse;Rat
- 保质期:
12 months
- 抗原来源:
Recombinant Rabbit
- 供应商:
南京赛戈巍生物科技有限公司
- 宿主:
Recombinant Rabbit
- 应用范围:
WB,IHC,IP,ICC
- 靶点:
Uniprot:Q15046
- 抗体英文名:
Lysyl tRNA synthetase Rabbit mAb
- 规格:
50ul/100ul
DFNB89 antibody
EC 6.1.1.6 antibody
KARS 1 antibody
KARS 2 antibody
KARS antibody
KARS1 antibody
KARS2 antibody
KIAA0070 antibody
KRS antibody
Lysine tRNA ligase antibody
Lysine--tRNA ligase antibody
LysRS antibody
Lysyl-tRNA synthetase antibody
SYK_HUMAN antibody
计算分子量:68 kDa
配方:1*TBS (pH7.4), 1%BSA, 40%Glycerol. Preservative: 0.05% Sodium Azide.
应用详情:WB: 1:500-1:2,000
IHC: 1:50-1:200
ICC: 1:50-1:100
IP: 1:10-1:50
图片:

Western blot analysis of Lysyl tRNA synthetase on SiHa (1) and MCF-7 (2) cell lysate using anti-Lysyl tRNA synthetase antibody at 1/2,000 dilution.
,

Immunohistochemical analysis of paraffin-embedded rat testis tissue using anti-Lysyl tRNA synthetase antibody. Counter stained with hematoxylin.
,

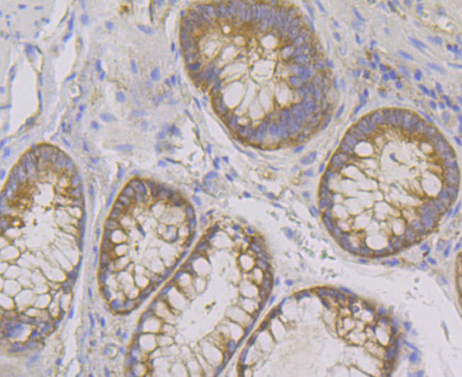
Immunohistochemical analysis of paraffin-embedded human colon tissue using anti-Lysyl tRNA synthetase antibody. Counter stained with hematoxylin.
,

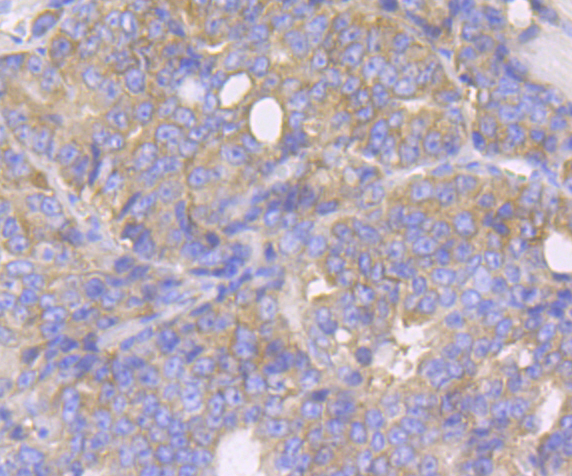
Immunohistochemical analysis of paraffin-embedded human prostate cancer tissue using anti-Lysyl tRNA synthetase antibody. Counter stained with hematoxylin.
,

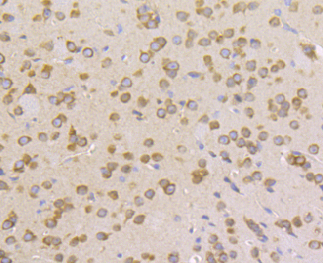
Immunohistochemical analysis of paraffin-embedded mouse brain tissue using anti-Lysyl tRNA synthetase antibody. Counter stained with hematoxylin.
风险提示:丁香通仅作为第三方平台,为商家信息发布提供平台空间。用户咨询产品时请注意保护个人信息及财产安全,合理判断,谨慎选购商品,商家和用户对交易行为负责。对于医疗器械类产品,请先查证核实企业经营资质和医疗器械产品注册证情况。
文献和实验[资源] 所有的看家基因(housekeeping genes)列表+引物设计服务
8 (SLC6A8), mRNA 628 NM_005548 Homo sapiens lysyl-tRNA synthetase (KARS), mRNA 1193 NM_005545 Homo sapiens immunoglobulin superfamily containing leucine-rich repeat (ISLR), mRNA 796 NM_005507 Homo sapiens cofilin 1 (non-muscle) (CFL1), mRNA 5155
所有的看家基因(housekeeping genes)的列表+引物设计服务
505 NM_005629 Homo sapiens solute carrier family 6 (neurotransmitter transporter, creatine), member 8 (SLC6A8), mRNA 628 NM_005548 Homo sapiens lysyl-tRNA synthetase (KARS), mRNA
Analysis of Oxidative Modification of Proteins
Primary antibody: mouse anti‐nitrotyrosine antibodies (Upstate Biotechnology) Secondary antibody: rabbit anti‐mouse IgG conjugated with alkaline phosphatase
技术资料暂无技术资料 索取技术资料





![ABHD9 Antibody[34373]](https://img1.dxycdn.com/p/s14/2025/0922/359/6146153295428599691.jpg!wh200)
![RNASET2 Conjugated Antibody[C42738]](https://img1.dxycdn.com/p/s14/2025/0923/278/4431488150116040791.jpg!wh200)
![GPHB5 Rabbit pAb[48970]](https://img1.dxycdn.com/p/s14/2025/0922/632/2321321568067599691.jpg!wh200)
![C12orf40 Conjugated Antibody[C46361]](https://img1.dxycdn.com/p/s14/2025/0923/305/2150219664296040791.jpg!wh200)
