相关产品推荐更多 >
万千商家帮你免费找货
0 人在求购买到急需产品
- 详细信息
- 文献和实验
- 技术资料
- 免疫原:
Amino acids 206-330 mapping near the C-terminus of YAP of human origin.
- 形态:
liquid
- 保存条件:
Store at -20˚C
- 克隆性:
Polyclonal
- 适应物种:
Human;Mouse;Rat
- 保质期:
12 months
- 抗原来源:
Rabbit
- 供应商:
南京赛戈巍生物科技有限公司
- 宿主:
Rabbit
- 应用范围:
WB, IP, IF, IHC(P)
- 靶点:
Uniprot:P46937
- 抗体英文名:
YAP65 Antibody
- 规格:
50ul/100ul
65 kDa Yes-associated protein antibody
COB1 antibody
YAp 1 antibody
YAP 65 antibody
YAP antibody
YAP1 antibody
YAP1_HUMAN antibody
YAP2 antibody
YAP65 antibody
yes -associated protein delta antibody
Yes associated protein 1 65kDa antibody
Yes associated protein 1 antibody
Yes associated protein 2 antibody
yes associated protein beta antibody
YKI antibody
Yorkie homolog antibody
计算分子量:65kDa
配方:1*TBS (pH7.4), 1%BSA, 40%Glycerol. Preservative: 0.05% Sodium Azide.
应用详情:WB: 1:100-1:1,000
IHC: 1:50-1:500
IP: 1-2 μg per 100-500 μg of total protein (1 ml of cell lysate)
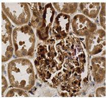
图片:

Western blot analysis of YAP expression in non-transfected (A) and mouse YAP transfected (B) 293T whole cell lysates.
,

Immunoperoxidase staining of formalin fixed, paraffin-embedded human kidney tissue showing cytoplasmic and nuclear staining of cells in glomeruli and tubules.
风险提示:丁香通仅作为第三方平台,为商家信息发布提供平台空间。用户咨询产品时请注意保护个人信息及财产安全,合理判断,谨慎选购商品,商家和用户对交易行为负责。对于医疗器械类产品,请先查证核实企业经营资质和医疗器械产品注册证情况。
文献和实验foreye 我想免疫组化法检测NFkBp65,请问santa cruz的这类抗体好用么?sc109和sc372分别识别的是NFkb p65的N末端和C末端,这两个有区别么?是否都是激活后暴露出来的?(记得C端是结合DNA的位置)请战友前辈指教!谢谢谢谢! lishufang821 我最近也在做免疫组化法检测NFkBp65,买的中山的,现在正在摸浓度,赫赫 多交流阿。QQ:493093683
CD65/CD65s 分子 CD65 常用单克隆抗体或代号: VIM2,HE10,CF4 主要表达细胞: PMN [M] 分子质量(kDa)和结构: 岩藻糖基神经节苷脂 功 能: 中性粒细胞活化 CD65s 常用单克隆抗体或代号: 88H7 主要表达细胞: PMN,M [M] 分子质量(kDa)和结构: Siapoly- sialyl- n
实验65 蛙类一侧迷路破坏的效应 【目的要求】 1.学习毁蛙类动物迷路的方法。 2.观察迷路与姿势的关系。 【基本原理】 动物的内耳迷路是姿势反射的感受器之一,当其一侧迷路被破坏后可见肌紧张及姿势异常,从而了解迷路在维持姿势平衡和正常运动中的作用。 【动物与器材】 蟾蜍或蛙、常用手术器械、纱布、棉球。 【方法与步骤
技术资料暂无技术资料 索取技术资料







![SUSD3 Conjugated Antibody[C31890]](https://img1.dxycdn.com/p/s14/2025/0923/305/2150219664296040791.jpg!wh200)
![Integrin α3 Polyclonal Antibody[41067]](https://img1.dxycdn.com/p/s14/2025/0922/568/0046652811090600791.jpg!wh200)

