相关产品推荐更多 >
万千商家帮你免费找货
0 人在求购买到急需产品
- 详细信息
- 技术资料
- 免疫原:
Fusion protein of human ECD
- 形态:
liquid
- 保存条件:
Store at -20˚C
- 克隆性:
Polyclonal
- 适应物种:
Human
- 保质期:
12 months
- 抗原来源:
Rabbit
- 供应商:
南京赛戈巍生物科技有限公司
- 宿主:
Rabbit
- 应用范围:
WB, IHC
- 靶点:
Uniprot:O95905
- 抗体英文名:
ECD Antibody
- 规格:
50ul/100ul
计算分子量:73 kDa
配方:Rabbit IgG in pH7.4 PBS, 0.05% NaN3, 40% Glycerol.
应用详情:
WB dilution:1:200-1000
IHC dilution:1: 25-100
图片:
![ECD Antibody[47313]](https://img1.dxycdn.com/p/s14/2025/0923/050/0255953034200140791.png)
Gel: 8%SDS-PAGE, Lysate: 40 μg, Lane 1-2: Jurkat and PC3 cell lysates, Primary antibody:47313(ECD Antibody) at dilution 1/250, Secondary antibody: Goat anti rabbit IgG at 1/8000 dilution, Exposure time: 20 seconds
,
![ECD Antibody[47313]](https://img1.dxycdn.com/p/s14/2025/0923/061/0443108978200140791.png)
The image is immunohistochemistry of paraffin-embedded Human cervical cancer tissue using 47313(ECD Antibody) at dilution 1/35.(Original magnification: 200)
,
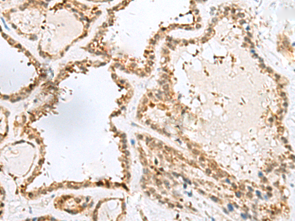
![ECD Antibody[47313]](https://img1.dxycdn.com/p/s14/2025/0923/305/8041065728200140791.png)
The image is immunohistochemistry of paraffin-embedded Human thyroid cancer tissue using 47313(ECD Antibody) at dilution 1/35.(Original magnification: 200)
风险提示:丁香通仅作为第三方平台,为商家信息发布提供平台空间。用户咨询产品时请注意保护个人信息及财产安全,合理判断,谨慎选购商品,商家和用户对交易行为负责。对于医疗器械类产品,请先查证核实企业经营资质和医疗器械产品注册证情况。
技术资料暂无技术资料 索取技术资料


![ECD Antibody[47313]](https://img1.dxycdn.com/p/s14/2025/0923/496/0462304380155040791.jpg)


![HLA class II histocompatibility antigen, DP beta 1 chain Polyclonal Antibody[42587]](https://img1.dxycdn.com/p/s14/2025/0922/568/0046652811090600791.jpg!wh200)
![MMP11 Rabbit mAb[49045]](https://img1.dxycdn.com/p/s14/2025/0923/496/0462304380155040791.jpg!wh200)
![RHOA Mouse mAb[64181]](https://img1.dxycdn.com/p/s14/2025/0922/632/2321321568067599691.jpg!wh200)
![ASPA Rabbit Polyclonal Antibody[55157]](https://img1.dxycdn.com/p/s14/2025/0922/498/0460884283108299691.jpg!wh200)
