相关产品推荐更多 >
万千商家帮你免费找货
0 人在求购买到急需产品
- 详细信息
- 技术资料
- 免疫原:
Purified recombinant fragment of human RHOA (AA: 1-190) expressed in E. Coli.
- 形态:
liquid
- 保存条件:
Store at -20˚C
- 克隆性:
Monoclonal
- 适应物种:
Human
- 保质期:
12 months
- 抗原来源:
Mouse
- 供应商:
南京赛戈巍生物科技有限公司
- 宿主:
Mouse
- 应用范围:
WB;IHC;IF;FC
- 靶点:
Uniprot:P61586
- 抗体英文名:
RHOA Mouse mAb
- 规格:
50ul/100ul
计算分子量:22kDa
配方:Purified antibody in PBS with 0.05% sodium azide
应用详情:WB:1/500 - 1/2000
IHC:1/200 - 1/1000
ICC:1/200 - 1/1000
FC:1/200 - 1/400
ELISA:1/10000
图片:
![RHOA Mouse mAb[64181]](https://img1.dxycdn.com/p/s14/2025/0922/926/6908899449847699691.jpg)
Black line: Control Antigen (100 ng);Purple line: Antigen (10ng); Blue line: Antigen (50 ng); Red line:Antigen (100 ng)
,
![RHOA Mouse mAb[64181]](https://img1.dxycdn.com/p/s14/2025/0922/525/0468638210847699691.jpg)
Western blot analysis using RHOA mouse mAb against Jurlat (1), MCF-7 (2),A431 (3), and Hela (4) cell lysate.
,
![RHOA Mouse mAb[64181]](https://img1.dxycdn.com/p/s14/2025/0922/088/0800196536847699691.jpg)
Immunofluorescence analysis of Hela cells using RHOA mouse mAb (green). Blue: DRAQ5 fluorescent DNA dye. Red: Actin filaments have been labeled with Alexa Fluor- 555 phalloidin. Secondary antibody from Fisher (Cat#: 35503)
,
![RHOA Mouse mAb[64181]](https://img1.dxycdn.com/p/s14/2025/0922/289/2910402180847699691.jpg)
Flow cytometric analysis of Hela cells using RHOA mouse mAb (green) and negative control (red).
,
![RHOA Mouse mAb[64181]](https://img1.dxycdn.com/p/s14/2025/0922/022/7125227584847699691.jpg)
Flow cytometric analysis of HepG2 cells using RHOA mouse mAb (green) and negative control (red).
,
![RHOA Mouse mAb[64181]](https://img1.dxycdn.com/p/s14/2025/0922/453/2152570356847699691.jpg)
Flow cytometric analysis of Jurkat cells using RHOA mouse mAb (green) and negative control (red).
,
![RHOA Mouse mAb[64181]](https://img1.dxycdn.com/p/s14/2025/0922/563/8805894859747699691.jpg)
Flow cytometric analysis of K562 cells using RHOA mouse mAb (green) and negative control (red).
,
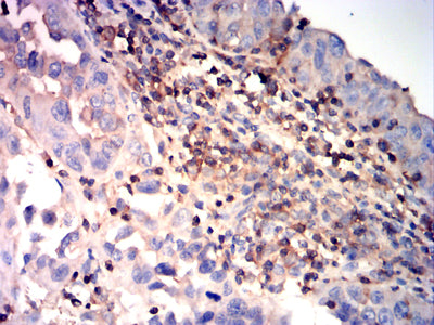
![RHOA Mouse mAb[64181]](https://img1.dxycdn.com/p/s14/2025/0922/245/6904869365847699691.jpg)
Immunohistochemical analysis of paraffin-embedded human gastric cancer tissues using RHOA mouse mAb with DAB staining.
,
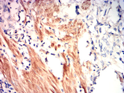
![RHOA Mouse mAb[64181]](https://img1.dxycdn.com/p/s14/2025/0922/625/0065818810947699691.jpg)
Immunohistochemical analysis of paraffin-embedded human endometrial carcinoma tissues using RHOA mouse mAb with DAB staining.
风险提示:丁香通仅作为第三方平台,为商家信息发布提供平台空间。用户咨询产品时请注意保护个人信息及财产安全,合理判断,谨慎选购商品,商家和用户对交易行为负责。对于医疗器械类产品,请先查证核实企业经营资质和医疗器械产品注册证情况。
技术资料暂无技术资料 索取技术资料


![RHOA Mouse mAb[64181]](https://img1.dxycdn.com/p/s14/2025/0922/632/2321321568067599691.jpg)


![Met Polyclonal Antibody[41140]](https://img1.dxycdn.com/p/s14/2025/0922/568/0046652811090600791.jpg!wh200)
![MMP20 Antibody[37734]](https://img1.dxycdn.com/p/s14/2025/0922/359/6146153295428599691.jpg!wh200)
![Dlx5 Conjugated Antibody[C56491]](https://img1.dxycdn.com/p/s14/2025/0922/632/2321321568067599691.jpg!wh200)
![SNX1 Conjugated Antibody[C49965]](https://img1.dxycdn.com/p/s14/2025/0923/305/2150219664296040791.jpg!wh200)
