相关产品推荐更多 >
万千商家帮你免费找货
0 人在求购买到急需产品
- 详细信息
- 技术资料
- 免疫原:
Synthetic protein corresponding to residues near the C terminal of human C12orf40
- 形态:
liquid
- 保存条件:
Store at -20˚C
- 克隆性:
Polyclonal
- 适应物种:
Human
- 保质期:
12 months
- 抗原来源:
Rabbit
- 供应商:
南京赛戈巍生物科技有限公司
- 宿主:
Rabbit
- 应用范围:
IHC
- 靶点:
Uniprot:Q86WS4
- 抗体英文名:
C12orf40 Antibody
- 规格:
50ul/100ul
配方:Rabbit IgG in pH7.4 PBS, 0.05% NaN3, 40% Glycerol.
应用详情:
Immunohistochemistry: 1: 40-200
图片:
![C12orf40 Antibody[46361]](https://img1.dxycdn.com/p/s14/2025/0923/832/8060858691685040791.jpg)
The image on the left is immunohistochemistry of paraffin-embedded Human liver cancer tissue using 46361(C12orf40 Antibody) at dilution 1/50, on the right is treated with fusion protein. (Original magnification: x200)
,
![C12orf40 Antibody[46361]](https://img1.dxycdn.com/p/s14/2025/0923/251/2154437391685040791.jpg)
The image on the left is immunohistochemistry of paraffin-embedded Human esophagus cancer tissue using 46361(C12orf40 Antibody) at dilution 1/50, on the right is treated with fusion protein. (Original magnification: x200)
风险提示:丁香通仅作为第三方平台,为商家信息发布提供平台空间。用户咨询产品时请注意保护个人信息及财产安全,合理判断,谨慎选购商品,商家和用户对交易行为负责。对于医疗器械类产品,请先查证核实企业经营资质和医疗器械产品注册证情况。
技术资料暂无技术资料 索取技术资料


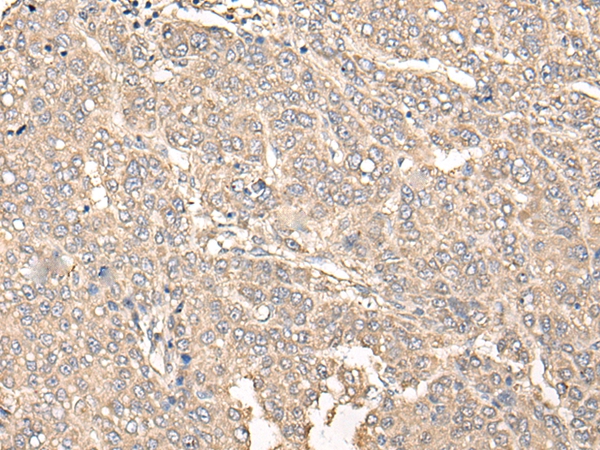
![C12orf40 Antibody[46361]](https://img1.dxycdn.com/p/s14/2025/0923/496/0462304380155040791.jpg)


![GPR19 Mouse mAb[63685]](https://img1.dxycdn.com/p/s14/2025/0922/632/2321321568067599691.jpg!wh200)
![CFTR Antibody[36791]](https://img1.dxycdn.com/p/s14/2025/0922/359/6146153295428599691.jpg!wh200)
![Cyclin-dependent kinase 4 Polyclonal Antibody[42545]](https://img1.dxycdn.com/p/s14/2025/0922/568/0046652811090600791.jpg!wh200)
![NUDCD3 Conjugated Antibody[C42980]](https://img1.dxycdn.com/p/s14/2025/0923/278/4431488150116040791.jpg!wh200)
