相关产品推荐更多 >
万千商家帮你免费找货
0 人在求购买到急需产品
- 详细信息
- 文献和实验
- 技术资料
- 免疫原:
Synthetic peptide corresponding to a region derived from internal residues of human Cystic fibrosis transmembrane conductance regulator
- 形态:
liquid
- 保存条件:
Store at -20˚C
- 克隆性:
Polyclonal
- 适应物种:
Human
- 保质期:
12 months
- 抗原来源:
Rabbit
- 供应商:
南京赛戈巍生物科技有限公司
- 宿主:
Rabbit
- 应用范围:
IHC
- 靶点:
Uniprot:P13569
- 抗体英文名:
CFTR Antibody
- 规格:
50ul/100ul
配方:Rabbit IgG in pH7.3 PBS, 0.05% NaN3, 50% Glycerol.
应用详情:Immunohistochemistry: 1:10-1:50
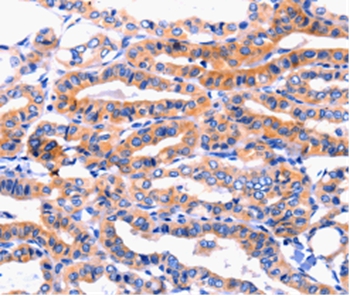
图片:

Immunohistochemical analysis of paraffin-embedded Human thyroid cancer tissue using #36791 at dilution 1/8.
风险提示:丁香通仅作为第三方平台,为商家信息发布提供平台空间。用户咨询产品时请注意保护个人信息及财产安全,合理判断,谨慎选购商品,商家和用户对交易行为负责。对于医疗器械类产品,请先查证核实企业经营资质和医疗器械产品注册证情况。
文献和实验CFTR Folding Consortium: Methods Available for Studies of CFTR Folding and Correction
of expressed HA-tagged CFTR by ELISA and (b) the generation and use of an antibody to CFTR’s first extracellular loop for the detection of endogenous CFTR. Finally, we highlight a systematic collection of assays, the CFC Roadmap, which is being used to assess
CFTR Three-Dimensional Structure
CFTR is a member of the ATP-binding cassette family of membrane proteins. This is one of the best characterised membrane protein families in terms of structure and function. CFTR operates as an ion channel, unlike nearly all other family
Quantification of CFTR Transcripts
Quantification and analysis of CFTR transcripts is of crucial importance not only for cystic fibrosis (CF) diagnosis and prognosis, but also in evaluating the efficiency of various therapeutic approaches to CF, including gene therapy. Reverse
技术资料暂无技术资料 索取技术资料





![STK39 Antibody[35079]](https://img1.dxycdn.com/p/s14/2025/0922/359/6146153295428599691.jpg!wh200)
![GKAP Antibody[48463]](https://img1.dxycdn.com/p/s14/2025/0923/496/0462304380155040791.jpg!wh200)
![LARS Polyclonal Antibody[28744]](https://img1.dxycdn.com/p/s14/2025/0923/305/2150219664296040791.jpg!wh200)
![ROM-K (phospho-Ser44) Polyclonal Antibody[13554]](https://img1.dxycdn.com/p/s14/2025/0922/498/0460884283108299691.jpg!wh200)
![MAP1LC3B Conjugated Antibody[C46604]](https://img1.dxycdn.com/p/s14/2025/0923/278/4431488150116040791.jpg!wh200)
