相关产品推荐更多 >
万千商家帮你免费找货
0 人在求购买到急需产品
- 详细信息
- 文献和实验
- 技术资料
- 免疫原:
A synthetic peptide of human PPP1CB
- 形态:
liquid
- 保存条件:
Store at -20˚C
- 克隆性:
Monoclonal antibody
- 适应物种:
Human;Mouse;Rat
- 保质期:
12 months
- 抗原来源:
Recombinant Rabbit
- 供应商:
南京赛戈巍生物科技有限公司
- 宿主:
Recombinant Rabbit
- 应用范围:
WB IHC IF
- 靶点:
Uniprot:P62140
- 抗体英文名:
PP1C beta Rabbit mAb
- 规格:
50ul/100ul
计算分子量:Calculated MW: 37 kDa; Observed MW: 37 kDa
配方:50nM Tris-Glycine(pH 7.4), 0.15M NaCl, 40% Glycerol, 0.01% Sodium azide and 0.05% BSA
应用详情:WB: 1/2000-1/10000; IHC: 1/50; ICC/IF: 1/20;
图片:

Western blot detection of PPP1CB in K562,Rat Brain,C6,3T3,Hela cell lysates using PPP1CB Rabbit mAb(1:1000 diluted).Predicted band size:37kDa.Observed band size:37kDa.
,

Immunocytochemistry of PPP1CB(green) in Hela cells using PPP1CB Rabbit mAb at dilution 1/50, and DAPI(blue)
,

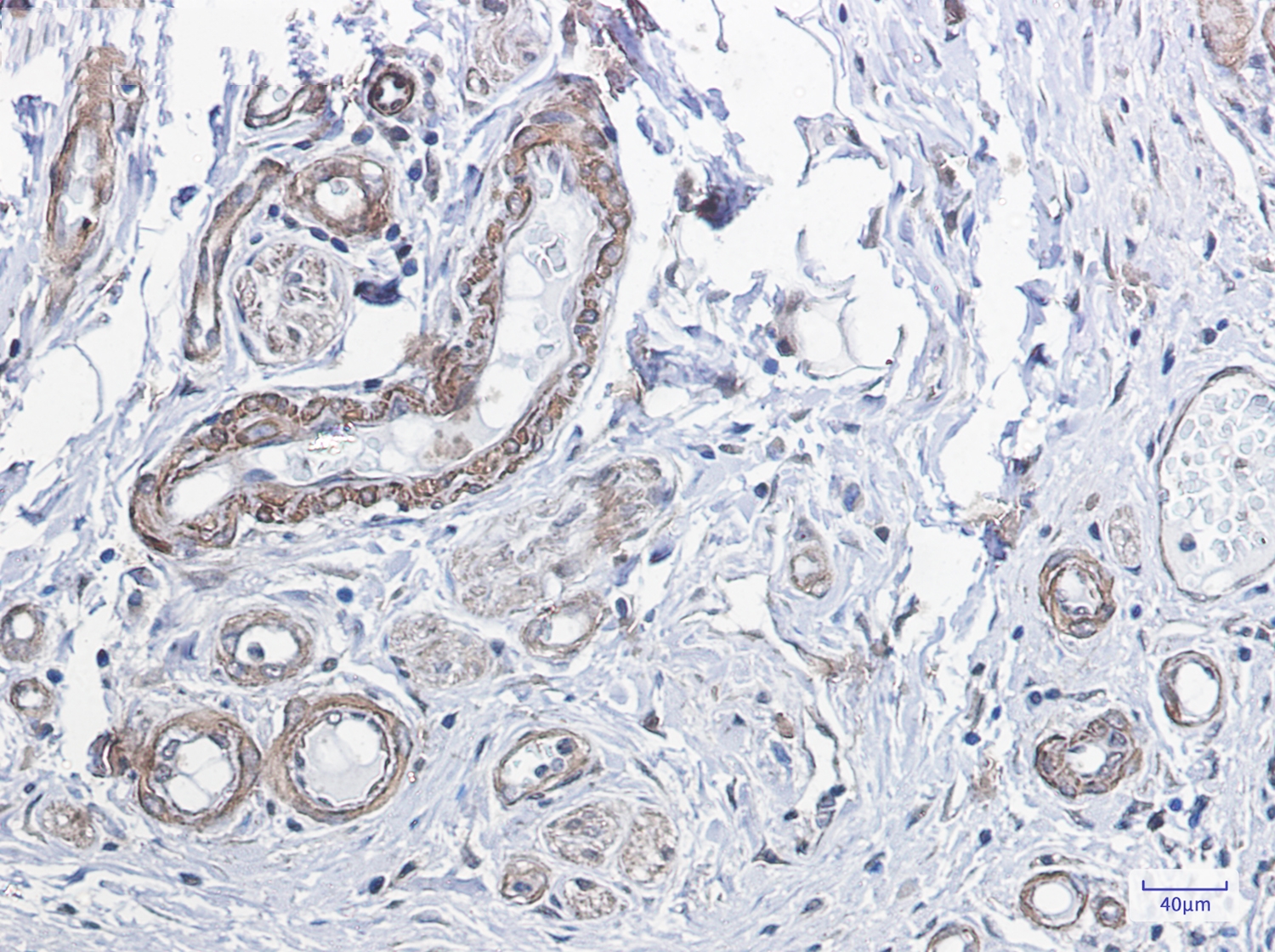
Immunohistochemistry of PPP1CB in paraffin-embedded Human colon cancer tissue using PPP1CB Rabbit mAb at dilution 1/1
风险提示:丁香通仅作为第三方平台,为商家信息发布提供平台空间。用户咨询产品时请注意保护个人信息及财产安全,合理判断,谨慎选购商品,商家和用户对交易行为负责。对于医疗器械类产品,请先查证核实企业经营资质和医疗器械产品注册证情况。
文献和实验【求助】rabbit beta-globin intron这个内含子有什么作用啊?
maiqitu 在构建载体的时候要往里面加rabbit beta-globin intron,请问是为什么呢?谢了啊 zhujoker 那你到底是构建什么载体啊?还需要往里面加rabbit beta-globin intron,我也觉得奇怪。但是有一个东西是可能的,那就是你构建的是miRNA表达质粒,因为miRNA位于大多数基因间,也就是位于内含子得地方?不知道是不是你所想要的,呵呵! hcai55
:使用 Anti-phospho-Akt (Ser473) Rabbit mAb 对石蜡包埋的人乳腺癌组织进行免疫组织化学分析。(图 A)使用免疫组化试剂盒M&R HRP/DAB Detection IHC Kit,抗体 1:100 稀释;(图 B) 采用普通免疫组化试剂盒,抗体 1:25 稀释。 图 6 免疫组化实验检测 Erk1/2 表达 注:使用 Anti-Erk1/2 Mouse mAb与p44/42 MAPK (Erk1/2)Rabbit mAb 对正常小鼠心脏组织进行免疫
h)即可。2. 修复大法——不仅仅是「煮一煮」微波炉修复:简单易行效果好,CST 推荐使用微波炉完成修复。合适的修复液:根据抗体说明书使用合适的修复液。用柠檬酸修复后,切片需浸泡在修复液中,自然冷却;而用 EDTA 修复后,切片可直接从修复缸中取出,直接进行下一步。注:使用不同的修复方式和不同生产商的抗体检测人肺癌组织中 EGFR 的表达。第一排为 CST 的 EGF Receptor (D38B1) XP® Rabbit mAb(#4267),EDTA 的修复方式明显优于柠檬酸盐及胃蛋白
技术资料暂无技术资料 索取技术资料





![PI3 Kinase P85α Monoclonal Antibody(3B7)[44085]](https://img1.dxycdn.com/p/s14/2025/0922/568/0046652811090600791.jpg!wh200)
![Histone H3 (acetyl K27) Polyclonal Antibody FITC Conjugated[C92597FITC]](https://img1.dxycdn.com/p/s14/2025/0922/498/0460884283108299691.jpg!wh200)
![CEBPZ Conjugated Antibody[C46463]](https://img1.dxycdn.com/p/s14/2025/0923/278/4431488150116040791.jpg!wh200)
![CNOT6 Conjugated Antibody[C46962]](https://img1.dxycdn.com/p/s14/2025/0923/305/2150219664296040791.jpg!wh200)
