相关产品推荐更多 >
万千商家帮你免费找货
0 人在求购买到急需产品
- 详细信息
- 文献和实验
- 技术资料
- 免疫原:
Recombinant protein of human Hsp90 beta
- 形态:
liquid
- 保存条件:
Store at -20˚C
- 克隆性:
Monoclonal antibody
- 适应物种:
Human;Mouse;Rat
- 保质期:
12 months
- 抗原来源:
Recombinant Rabbit
- 供应商:
南京赛戈巍生物科技有限公司
- 宿主:
Recombinant Rabbit
- 应用范围:
WB IHC IF
- 靶点:
Uniprot:P07900 P08238
- 抗体英文名:
Hsp90 alpha/beta Rabbit mAb
- 规格:
50ul/100ul
计算分子量:Calculated MW: 85,83 kDa; Observed MW: 90 kDa
配方:50nM Tris-Glycine(pH 7.4), 0.15M NaCl, 40% Glycerol, 0.01% Sodium azide and 0.05% BSA
应用详情:WB: 1/2000-1/10000; IHC: 1/200; ICC/IF: 1/50;
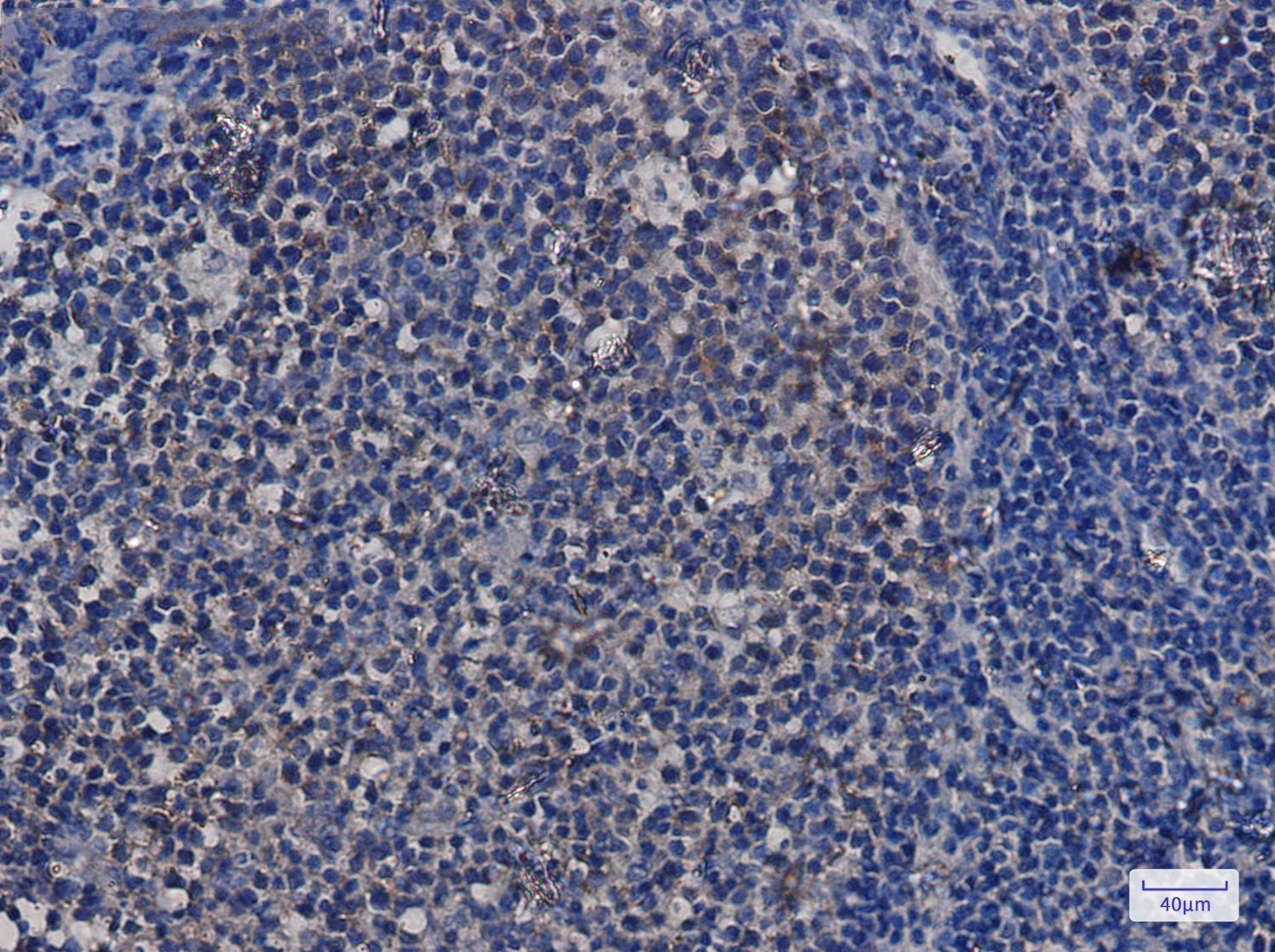
图片:

Western blot detection of Hsp90 alpha/beta in Rat Brain,C6,3T3,Hela cell lysates using Hsp90 alpha/beta Rabbit mAb(1:1000 diluted).Predicted band size:85,83kDa.Observed band size:90kDa.
,

Immunofluorescence of Hsp90 alpha/beta(green) in Hela cells using Hsp90 alpha/beta Rabbit mAb at dilution 1/200, and DAPI(blue)
,

Immunohistochemistry of Hsp9 alpha/beta in paraffin-embedded Human tonsil using Hsp9 alpha/beta Rabbit mAb at dilution 1/5
风险提示:丁香通仅作为第三方平台,为商家信息发布提供平台空间。用户咨询产品时请注意保护个人信息及财产安全,合理判断,谨慎选购商品,商家和用户对交易行为负责。对于医疗器械类产品,请先查证核实企业经营资质和医疗器械产品注册证情况。
文献和实验Immunofluorescence: Rabbit Anti-Murine RELMα
for 25 minutes. 3. Incubate the tissue section with blocking buffer for 20 minutes. 4. Incubate the tissue section overnight at 4?C with Rabbit Anti-Murine RELMα at 4.0 ng/mL in 1X PBS with 0.01% Triton-X and 0.5% BSA. Wash the slide
:使用 Anti-phospho-Akt (Ser473) Rabbit mAb 对石蜡包埋的人乳腺癌组织进行免疫组织化学分析。(图 A)使用免疫组化试剂盒M&R HRP/DAB Detection IHC Kit,抗体 1:100 稀释;(图 B) 采用普通免疫组化试剂盒,抗体 1:25 稀释。 图 6 免疫组化实验检测 Erk1/2 表达 注:使用 Anti-Erk1/2 Mouse mAb与p44/42 MAPK (Erk1/2)Rabbit mAb 对正常小鼠心脏组织进行免疫
|998894|gb|S78179.1|S78179 Oryctolagus cuniculus type XII... 32 0.037 gi|31072033|gb|AC122153.4| Oryctolagus cuniculus clone LB1-... 28 0.58 gi|1496|emb|X52496.1|OCCAATP Rabbit mRNA for calcium ATPase 28 0.58 gi|1468|emb|X02814.1|OCATPDR Rabbit mRNA
技术资料暂无技术资料 索取技术资料





![FANCM Antibody[45977]](https://img1.dxycdn.com/p/s14/2025/0922/568/0046652811090600791.jpg!wh200)
![KLK2 Rabbit mAb[56754]](https://img1.dxycdn.com/p/s14/2025/0922/632/2321321568067599691.jpg!wh200)
![Cullin 2 Conjugated Antibody[C49917]](https://img1.dxycdn.com/p/s14/2025/0923/305/2150219664296040791.jpg!wh200)

