相关产品推荐更多 >
万千商家帮你免费找货
0 人在求购买到急需产品
- 详细信息
- 文献和实验
- 技术资料
- 免疫原:
Recombinant protein
- 形态:
liquid
- 保存条件:
Store at -20˚C
- 克隆性:
Monoclonal
- 适应物种:
Human;Mouse;Rat
- 保质期:
12 months
- 抗原来源:
Recombinant Rabbit
- 供应商:
南京赛戈巍生物科技有限公司
- 宿主:
Recombinant Rabbit
- 应用范围:
WB,ICC,IF,IHC,FC
- 靶点:
Uniprot:P62805
- 抗体英文名:
Histone H4 (acetyl K16) Rabbit mAb
- 规格:
50ul/100ul
Histone gene cluster 2, H4 antibody
dJ160A22.1 antibody
dJ160A22.2 antibody
dJ221C16.1 antibody
dJ221C16.9 antibody
FO108 antibody
H4 antibody
H4 histone family, member A antibody
H4 histone family, member B antibody
H4 histone family, member C antibody
H4 histone family, member D antibody
H4 histone family, member E antibody
H4 histone family, member G antibody
H4 histone family, member H antibody
H4 histone family, member I antibody
H4 histone family, member J antibody
H4 histone family, member K antibody
H4 histone family, member M antibody
H4 histone family, member N antibody
H4 histone, family 2 antibody
H4/A antibody
H4/B antibody
H4/C antibody
H4/D antibody
H4/E antibody
H4/G antibody
H4/H antibody
H4/I antibody
H4/J antibody
H4/K antibody
H4/M antibody
H4/N antibody
H4/O antibody
H4/p antibody
H4_HUMAN antibody
H4F2 antibody
H4F2iii antibody
H4F2iv antibody
H4FA antibody
H4FB antibody
H4FC antibody
H4FD antibody
H4FE antibody
H4FG antibody
H4FH antibody
H4FI antibody
H4FJ antibody
H4FK antibody
HIST1 cluster, H4A antibody
HIST1 cluster, H4B antibody HIST1 cluster, H4D antibody HIST2H4 antibody Hist4 cluster, H4 antibody Hist4h4 antibody histone 1, H4a antibody histone 1, H4c antibody histone 1, H4d antibody histone 1, H4f antibody histone 1, H4h antibody histone 1, H4i antibody histone 1, H4j antibody histone 1, H4k antibody histone 1, H4l antibody histone 2, H4a antibody histone 2, H4b antibody Histone 4 family, member M antibody histone 4, H4 antibody histone cluster 1, H4 antibody histone cluster 1, H4a antibody histone cluster 1, H4b antibody histone cluster 1, H4c antibody histone cluster 1, H4d antibody histone cluster 1, H4e antibody histone cluster 1, H4f antibody histone cluster 1, H4h antibody histone cluster 1, H4i antibody histone cluster 1, H4j antibody histone cluster 1, H4k antibody histone cluster 1, H4l antibody histone cluster 2, H4a antibody histone cluster 2, H4b antibody histone cluster 4, H4 antibody Histone family, member A antibody Histone family, member B antibody Histone family, member D antibody Histone family, member H antibody Histone family, member I antibody Histone family, member L antibody Histone gene cluster 1, H4 antibody Histone gene cluster 1, H4D antibody Histone gene cluster 1, H4E antibody Histone gene cluster 1, H4K antibody Histone gene cluster 4, H4 antibody Histone gene cluster 4, H4 histone antibody Histone H4 antibody histone IV, family 2 antibody
计算分子量:11 kDa
配方:1*TBS (pH7.4), 1%BSA, 40%Glycerol. Preservative: 0.05% Sodium Azide.
应用详情:
WB: 1:500-1:1,000
IHC: 1:50-1:200
ICC: 1:50-1:200
FC: 1:50-1:100
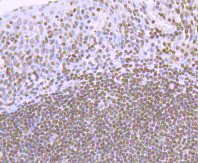
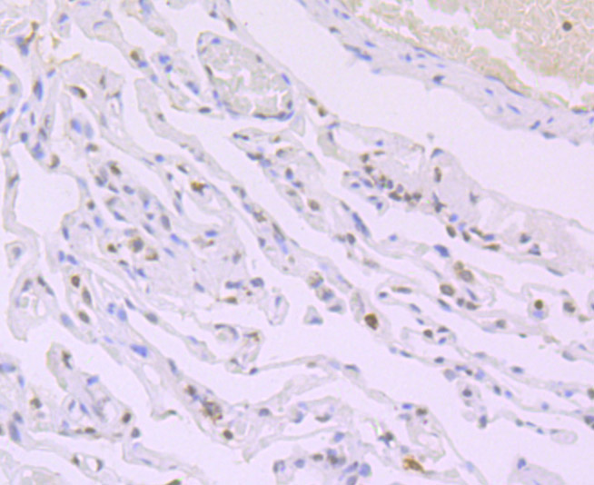
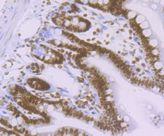
图片:

HW234
,

HW234
,

HW234
,

HW234
,

HW234
,

HW234
,

HW234
,

Western blot analysis of Histone H4 (acetyl K16) on SiHa cell using anti-Histone H4 (acetyl K16) antibody at 1/500 dilution.
风险提示:丁香通仅作为第三方平台,为商家信息发布提供平台空间。用户咨询产品时请注意保护个人信息及财产安全,合理判断,谨慎选购商品,商家和用户对交易行为负责。对于医疗器械类产品,请先查证核实企业经营资质和医疗器械产品注册证情况。
文献和实验Histone Acetylation/Deacetylation As a Regulator of Cell Cycle Gene Expression
-diphosphate (ADP)-ribosylation, methylation, ubiquitination, and acetylation (1 ,2 ). Histone acetylation involves the transfer of an acetyl group from acetyl-coenzyme A (CoA) to the ε-amino group of lysine side chains within the substrate by histone acetyl
INTRODUCTION In cells and tissues, the histone proteins that constitute the nucleosomes can present multiple post-translational modifications, such as lysine acetylation, lysine and arginine methylation, serine phosphorylation
hyperphosphorylated H1 (pH1) from cells arrested in M phase by treatment with Colcemid (demecolcine; 0.06 µg/ml). The un‐ (Ac 0) and monoacetylated (Ac 1) isoforms of histone H4 are indicated. View Image
技术资料暂无技术资料 索取技术资料





![DKC1 Rabbit mAb[52254]](https://img1.dxycdn.com/p/s14/2025/0922/498/0460884283108299691.jpg!wh200)
![RGNEF Antibody[62106]](https://img1.dxycdn.com/p/s14/2025/0922/632/2321321568067599691.jpg!wh200)
![ERCC5 antibody[38266]](https://img1.dxycdn.com/p/s14/2025/0922/359/6146153295428599691.jpg!wh200)
![POLR2A (Phospho-Ser1616) Antibody[12664]](https://img1.dxycdn.com/p/s14/2025/0922/568/0046652811090600791.jpg!wh200)
