相关产品推荐更多 >
万千商家帮你免费找货
0 人在求购买到急需产品
- 详细信息
- 文献和实验
- 技术资料
- 免疫原:
Synthetic phospho-peptide corresponding to residues surrounding Ser129 of human alpha Synuclein.
- 形态:
liquid
- 保存条件:
Store at -20˚C
- 克隆性:
Monoclonal
- 适应物种:
Human;Mouse;Rat
- 保质期:
12 months
- 抗原来源:
Recombinant Rabbit
- 供应商:
南京赛戈巍生物科技有限公司
- 宿主:
Recombinant Rabbit
- 应用范围:
WB;ICC/IF;IHC
- 靶点:
Uniprot:P37840
- 抗体英文名:
alpha Synuclein (Phospho-Ser129) Rabbit mAb
- 规格:
50ul/100ul
Alpha-synuclein antibody
Alpha-synuclein, isoform NACP140 antibody
alphaSYN antibody
MGC105443 antibody
MGC110988 antibody
MGC127560 antibody
MGC64356 antibody
NACP antibody
Non A beta component of AD amyloid antibody
Non A4 component of amyloid antibody
Non A4 component of amyloid precursor antibody
Non-A beta component of AD amyloid antibody
Non-A-beta component of alzheimers disease amyloid , precursor of antibody
Non-A4 component of amyloid precursor antibody
Non-A4 component of amyloid, precursor of antibody
OTTHUMP00000218549 antibody
OTTHUMP00000218551 antibody
OTTHUMP00000218552 antibody
OTTHUMP00000218553 antibody
OTTHUMP00000218554 antibody
PARK 1 antibody
PARK 4 antibody
PARK1 antibody
PARK4 antibody
Parkinson disease (autosomal dominant, Lewy body) 4 antibody
Parkinson disease familial 1 antibody
SNCA antibody
Snca synuclein, alpha (non A4 component of amyloid precursor) antibody
SYN antibody
Synuclein alpha antibody
Synuclein alpha 140 antibody
Synuclein, alpha (non A4 component of amyloid precursor) antibody
SYUA_HUMAN antibody
计算分子量:14 kDa
配方:1*TBS (pH7.4), 1%BSA, 40%Glycerol. Preservative: 0.05% Sodium Azide.
应用详情:WB: 1:500-1:2000
ICC/IF: 1:50-1:200
IHC: 1:50-1:200
图片:

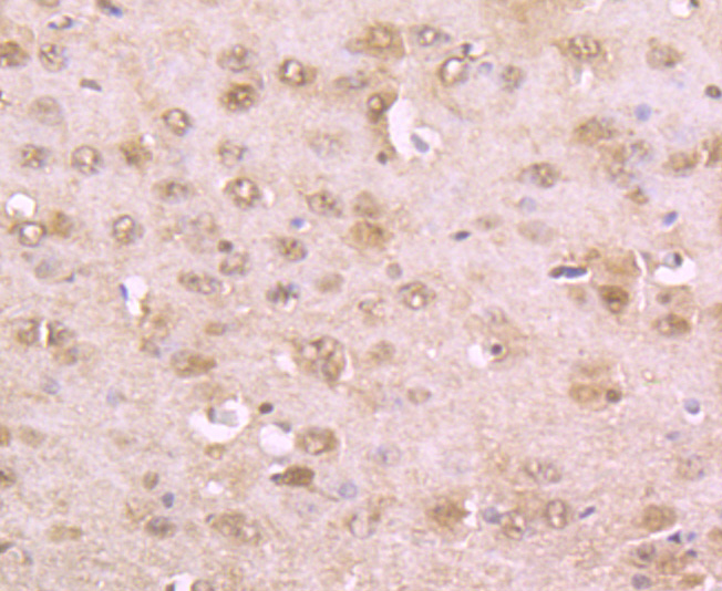
Immunohistochemical analysis of paraffin-embedded rat brain tissue using anti-Phospho-alpha Synuclein (S129) antibody. Counter stained with hematoxylin.
,

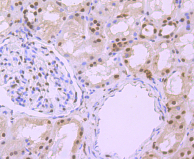
Immunohistochemical analysis of paraffin-embedded human kidney tissue using anti-Phospho-alpha Synuclein (S129) antibody. Counter stained with hematoxylin.
,

Immunohistochemical analysis of paraffin-embedded mouse brain tissue using anti-Phospho-alpha Synuclein (S129) antibody. Counter stained with hematoxylin.
,

ICC staining Phospho-alpha Synuclein (S129) in Hela cells (green). The nuclear counter stain is DAPI (blue). Cells were fixed in paraformaldehyde, permeabilised with 0.25% Triton X100/PBS.
,

ICC staining Phospho-alpha Synuclein (S129) in HUVEC cells (green). The nuclear counter stain is DAPI (blue). Cells were fixed in paraformaldehyde, permeabilised with 0.25% Triton X100/PBS.
,

ICC staining Phospho-alpha Synuclein (S129) in SH-SY-5Y cells (green). The nuclear counter stain is DAPI (blue). Cells were fixed in paraformaldehyde, permeabilised with 0.25% Triton X100/PBS.
风险提示:丁香通仅作为第三方平台,为商家信息发布提供平台空间。用户咨询产品时请注意保护个人信息及财产安全,合理判断,谨慎选购商品,商家和用户对交易行为负责。对于医疗器械类产品,请先查证核实企业经营资质和医疗器械产品注册证情况。
文献和实验:使用 Anti-phospho-Akt (Ser473) Rabbit mAb 对石蜡包埋的人乳腺癌组织进行免疫组织化学分析。(图 A)使用免疫组化试剂盒M&R HRP/DAB Detection IHC Kit,抗体 1:100 稀释;(图 B) 采用普通免疫组化试剂盒,抗体 1:25 稀释。 图 6 免疫组化实验检测 Erk1/2 表达 注:使用 Anti-Erk1/2 Mouse mAb与p44/42 MAPK (Erk1/2)Rabbit mAb 对正常小鼠心脏组织进行免疫
for Generating and Using Alpha-Synuclein Pre-Formed Fibrils to Model Parkinson's Disease in Rodents. J Parkinsons Dis. 2018;8(2):303-322. [2].Simola, N. et al. The 6-Hydroxydopamine Model of Parkinson's Disease. Neurotoxicity Research, 2007, VOL. 11(3,4). pp. 151
。所以,我们建议使用微波炉或高压锅加热煮沸以达到最佳抗原修复效果。抗体:Phospho–Stat3 (Tyr705)(D3A7) XP. Rabbit mAb #9145样本:石蜡包埋人类肺部肿瘤样本煮沸设备:浴锅 (左),微波炉 (中),高压锅 (右)免疫染色—封闭在 IHC–P 中,我们建议在室温下在含有 Tween20 的 TBST 缓冲液和 5% 正常山羊血清 (NGS) 中封闭样品,时长 1 小时,以防止非特异性背景染色。在进行 IHC–F 时,在含有 0.3% Triton. X–100 的 1X
技术资料暂无技术资料 索取技术资料





![GNG2 Antibody[36510]](https://img1.dxycdn.com/p/s14/2025/0922/359/6146153295428599691.jpg!wh200)
![CAS Polyclonal Antibody[40671]](https://img1.dxycdn.com/p/s14/2025/0922/568/0046652811090600791.jpg!wh200)

![Bp50 Conjugated Antibody[C33507]](https://img1.dxycdn.com/p/s14/2025/0923/278/4431488150116040791.jpg!wh200)

