相关产品推荐更多 >
万千商家帮你免费找货
0 人在求购买到急需产品
- 详细信息
- 文献和实验
- 技术资料
- 免疫原:
Recombinant protein
- 形态:
liquid
- 保存条件:
Store at -20˚C
- 克隆性:
Monoclonal antibody
- 适应物种:
Human;Mouse;Rat
- 保质期:
12 months
- 抗原来源:
Recombinant Rabbit
- 供应商:
南京赛戈巍生物科技有限公司
- 宿主:
Recombinant Rabbit
- 应用范围:
WB,ICC,IF,IHC,FC
- 靶点:
Uniprot:O15294
- 抗体英文名:
OGT Rabbit mAb
- 规格:
50ul/100ul
GlcNAc transferase antibody
HRNT1 antibody
MGC22921 antibody
O GlcNAc antibody
O GlcNAc transferase p110 subunit antibody
O GlcNAc transferase subunit p110 antibody
O linked N acetylglucosamine (GlcNAc) transferase (UDP N acetylglucosamine:polypeptide N acetylglucosaminyl transferase) antibody
O linked N acetylglucosamine (GlcNAc) transferase antibody
O linked N acetylglucosamine transferase 110 kDa subunit antibody
O-GlcNAc transferase subunit p110 antibody
O-linked N-acetylglucosamine transferase 110 kDa subunit antibody
ogt antibody
OGT1_HUMAN antibody
UDP N acetylglucosamine peptide N acetylglucosaminyltransferase 110 kDa subunit antibody
UDP N acetylglucosamine peptide N acetylglucosaminyltransferase GlcNAc transferase antibody
UDP-N-acetylglucosamine--peptide N-acetylglucosaminyltransferase 110 kDa subunit antibody
UDP-N-acetylglucosamine:polypeptide-N-acetylglucosaminyl transferase antibody
Uridinediphospho N acetylglucosamine:polypeptide beta N acetylglucosaminyl transferase antibody
计算分子量:117 kDa
配方:1*TBS (pH7.4), 1%BSA, 40%Glycerol. Preservative: 0.05% Sodium Azide.
应用详情:WB: 1:500
IHC: 1:50-1:200
ICC: 1:500-1:1,000
FC: 1:50-1:100
图片:

Western blot analysis of OGT on Hela (1) and SiHa (2) cell lysate using anti-OGT antibody at 1/500 dilution.
,

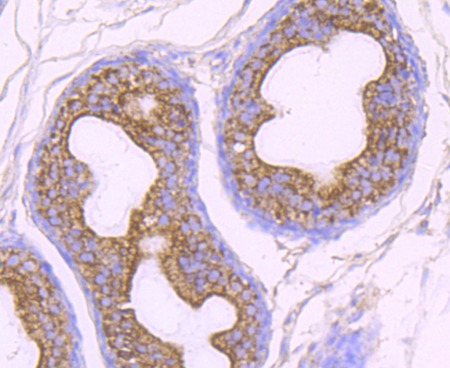
Immunohistochemical analysis of paraffin-embedded rat epididymis tissue using anti-OGT antibody. Counter stained with hematoxylin.
,

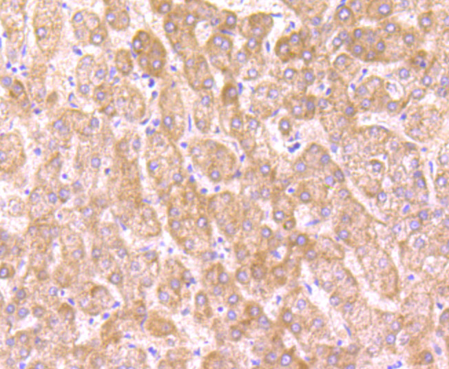
Immunohistochemical analysis of paraffin-embedded human liver tissue using anti-OGT antibody. Counter stained with hematoxylin.
,

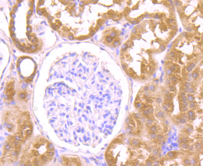
Immunohistochemical analysis of paraffin-embedded human kidney tissue using anti-OGT antibody. Counter stained with hematoxylin.
,

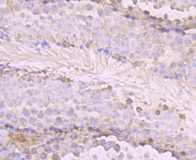
Immunohistochemical analysis of paraffin-embedded mouse testis tissue using anti-OGT antibody. Counter stained with hematoxylin.
,

ICC staining OGT in A431 cells (green). The nuclear counter stain is DAPI (blue). Cells were fixed in paraformaldehyde, permeabilised with 0.25% Triton X100/PBS.
,

ICC staining OGT in Hela cells (green). The nuclear counter stain is DAPI (blue). Cells were fixed in paraformaldehyde, permeabilised with 0.25% Triton X100/PBS.
,

ICC staining OGT in PC-3M cells (green). The nuclear counter stain is DAPI (blue). Cells were fixed in paraformaldehyde, permeabilised with 0.25% Triton X100/PBS.
,

Flow cytometric analysis of Hela cells with OGT antibody at 1/100 dilution (red) compared with an unlabelled control (cells without incubation with primary antibody; black). Alexa Fluor 488-conjugated goat anti rabbit IgG was used as the secondary antibody
风险提示:丁香通仅作为第三方平台,为商家信息发布提供平台空间。用户咨询产品时请注意保护个人信息及财产安全,合理判断,谨慎选购商品,商家和用户对交易行为负责。对于医疗器械类产品,请先查证核实企业经营资质和医疗器械产品注册证情况。
文献和实验:使用 Anti-phospho-Akt (Ser473) Rabbit mAb 对石蜡包埋的人乳腺癌组织进行免疫组织化学分析。(图 A)使用免疫组化试剂盒M&R HRP/DAB Detection IHC Kit,抗体 1:100 稀释;(图 B) 采用普通免疫组化试剂盒,抗体 1:25 稀释。 图 6 免疫组化实验检测 Erk1/2 表达 注:使用 Anti-Erk1/2 Mouse mAb与p44/42 MAPK (Erk1/2)Rabbit mAb 对正常小鼠心脏组织进行免疫
focuses on protocols that are routinely used to analyze OGT expression and activity. First are detailed techniques using rabbit polyclonal anti-OGT antibodies, namely, Western blot, (co-)immunoprecipitation, and immunofluorescence
h)即可。2. 修复大法——不仅仅是「煮一煮」微波炉修复:简单易行效果好,CST 推荐使用微波炉完成修复。合适的修复液:根据抗体说明书使用合适的修复液。用柠檬酸修复后,切片需浸泡在修复液中,自然冷却;而用 EDTA 修复后,切片可直接从修复缸中取出,直接进行下一步。注:使用不同的修复方式和不同生产商的抗体检测人肺癌组织中 EGFR 的表达。第一排为 CST 的 EGF Receptor (D38B1) XP® Rabbit mAb(#4267),EDTA 的修复方式明显优于柠檬酸盐及胃蛋白
技术资料暂无技术资料 索取技术资料






![IL5RA Polyclonal Antibody Biotin Conjugated[C91774Bio]](https://img1.dxycdn.com/p/s14/2025/0922/498/0460884283108299691.jpg!wh200)
![TDP1 Polyclonal Antibody[30617]](https://img1.dxycdn.com/p/s14/2025/0923/305/2150219664296040791.jpg!wh200)

