相关产品推荐更多 >
万千商家帮你免费找货
0 人在求购买到急需产品
- 详细信息
- 技术资料
- 免疫原:
recombinant protein
- 形态:
liquid
- 保存条件:
Store at -20˚C
- 克隆性:
Monoclonal antibody
- 适应物种:
Human;Mouse;Rat
- 保质期:
12 months
- 抗原来源:
Recombinant Rabbit
- 供应商:
南京赛戈巍生物科技有限公司
- 宿主:
Recombinant Rabbit
- 应用范围:
WB, ICC/IF, IHC, FC
- 靶点:
Uniprot:P21453
- 抗体英文名:
EDG1 Rabbit mAb
- 规格:
50ul/100ul
CHEDG 1 antibody
CHEDG1 antibody
D1S3362 antibody
ECGF 1 antibody
ECGF1 antibody
EDG 1 antibody
EDG1 antibody
endothelial differentiation G protein coupled receptor 1 antibody
Endothelial differentiation G-protein coupled receptor 1 antibody
Endothelial differentiation sphingolipid G protein coupled receptor 1 antibody
FLJ58121 antibody
G protein coupled sphingolipid receptor antibody
g protein-coupled receptor edg-1 antibody
S1P receptor 1 antibody
S1P receptor Edg 1 antibody
S1P receptor Edg-1 antibody
S1P receptor Edg1 antibody
S1P(1) receptor antibody
S1P1 antibody
s1pr1 antibody
S1PR1_HUMAN antibody
sphingolipid g-protein-coupled receptor 1 antibody
Sphingosine 1 phosphate receptor Edg 1 antibody
Sphingosine 1 phosphate receptor EDG1 antibody
sphingosine 1- phosphate receptor 1 antibody
Sphingosine 1-phosphate receptor 1 antibody
Sphingosine 1-phosphate receptor Edg-1 antibody
Sphingosine 1phosphate receptor type 1 S1P1 antibody
计算分子量:43 kDa
配方:1*TBS (pH7.4), 1%BSA, 40%Glycerol. Preservative: 0.05% Sodium Azide.
应用详情:WB: 1:1,000-5,000
IHC: 1:50-1:200
ICC: 1:100-1:500
FC: 1:50-1:100
图片:
![EDG1 Rabbit mAb[49440]](https://img1.dxycdn.com/p/s14/2025/0923/120/8271465442668140791.jpg)
Western blot analysis of EDG1 on SH-SY5Y cells lysates using anti-EDG1 antibody at 1/1,000 dilution.
,
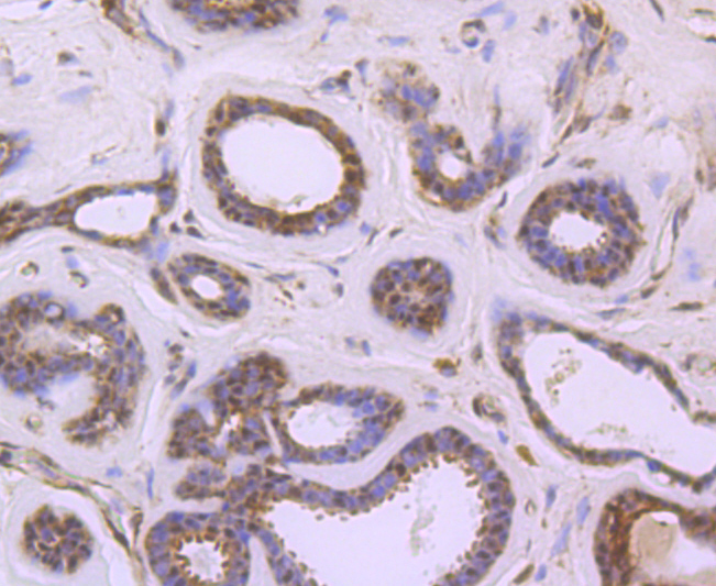
![EDG1 Rabbit mAb[49440]](https://img1.dxycdn.com/p/s14/2025/0923/101/2597119477668140791.jpg)
Immunohistochemical analysis of paraffin-embedded human breast carcinoma tissue using anti-EDG1 antibody. Counter stained with hematoxylin.
,
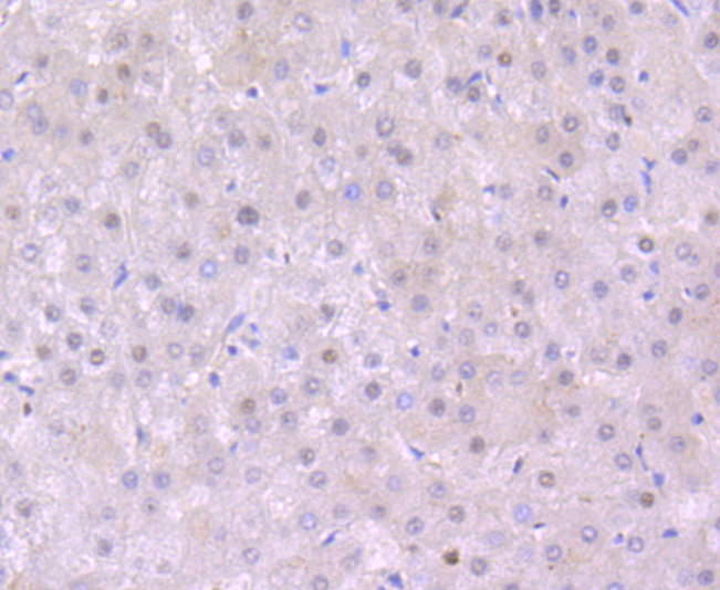
![EDG1 Rabbit mAb[49440]](https://img1.dxycdn.com/p/s14/2025/0923/770/8885449659668140791.jpg)
Immunohistochemical analysis of paraffin-embedded human liver tissue using anti-EDG1 antibody. Counter stained with hematoxylin.
,
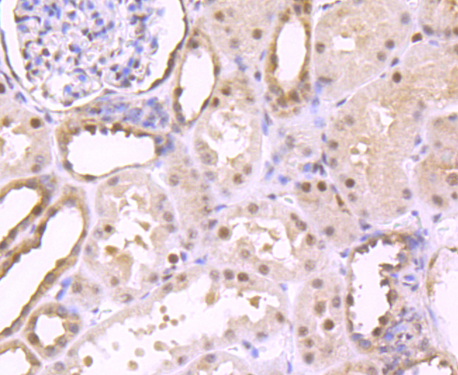
![EDG1 Rabbit mAb[49440]](https://img1.dxycdn.com/p/s14/2025/0923/166/8233422898668140791.jpg)
Immunohistochemical analysis of paraffin-embedded human kidney tissue using anti-EDG1 antibody. Counter stained with hematoxylin.
,
![EDG1 Rabbit mAb[49440]](https://img1.dxycdn.com/p/s14/2025/0923/910/8402021546668140791.jpg)
Immunohistochemical analysis of paraffin-embedded mouse brain tissue using anti-EDG1 antibody. Counter stained with hematoxylin.
,
![EDG1 Rabbit mAb[49440]](https://img1.dxycdn.com/p/s14/2025/0923/813/4207336889668140791.jpg)
Immunohistochemical analysis of paraffin-embedded mouse herat tissue using anti-EDG1 antibody. Counter stained with hematoxylin.
,
![EDG1 Rabbit mAb[49440]](https://img1.dxycdn.com/p/s14/2025/0923/550/2118928913668140791.jpg)
ICC staining EDG1 in HepG2 cells (red). The nuclear counter stain is DAPI (blue). Cells were fixed in paraformaldehyde, permeabilised with 0.25% Triton X100/PBS.
,
![EDG1 Rabbit mAb[49440]](https://img1.dxycdn.com/p/s14/2025/0923/278/6792893134668140791.jpg)
ICC staining EDG1 in HUVEC cells (red). The nuclear counter stain is DAPI (blue). Cells were fixed in paraformaldehyde, permeabilised with 0.25% Triton X100/PBS.
,
![EDG1 Rabbit mAb[49440]](https://img1.dxycdn.com/p/s14/2025/0923/633/6100324398668140791.jpg)
ICC staining EDG1 in SH-SY5Y cells (red). The nuclear counter stain is DAPI (blue). Cells were fixed in paraformaldehyde, permeabilised with 0.25% Triton X100/PBS.
,
![EDG1 Rabbit mAb[49440]](https://img1.dxycdn.com/p/s14/2025/0923/079/2914816663668140791.jpg)
Flow cytometric analysis of Jurkat cells with EDG1 antibody at 1/50 dilution (red) compared with an unlabelled control (cells without incubation with primary antibody; black). Alexa Fluor 488-conjugated goat anti rabbit IgG was used as the secondary antibody.
,
![EDG1 Rabbit mAb[49440]](https://img1.dxycdn.com/p/s14/2025/0923/869/0023004904668140791.jpg)
All lanes : EDG1 Rabbit mAb at 1/1000 dilution
Lane 1 :HUVEC whole cell lysates
Lane 2 :JK whole cell lysates
Lane 3 :HT29 whole cell lysates
Lane 4 :Rat brain lysates
Lysates at 20 μg per lane.
Secondary
All lanes : Goat Anti-Rabbit IgG H&L (HRP) at 1/10000 dilution
Predicted band size: 43 kDa
Observed band size: 43-50 kDa
Exposure time: 5 seconds
风险提示:丁香通仅作为第三方平台,为商家信息发布提供平台空间。用户咨询产品时请注意保护个人信息及财产安全,合理判断,谨慎选购商品,商家和用户对交易行为负责。对于医疗器械类产品,请先查证核实企业经营资质和医疗器械产品注册证情况。
技术资料暂无技术资料 索取技术资料


![EDG1 Rabbit mAb[49440]](https://img1.dxycdn.com/p/s14/2025/0923/496/0462304380155040791.jpg)


![Osteopontin Monoclonal Antibody[42036]](https://img1.dxycdn.com/p/s14/2025/0922/568/0046652811090600791.jpg!wh200)
![ANGPTL6 Antibody[39318]](https://img1.dxycdn.com/p/s14/2025/0922/359/6146153295428599691.jpg!wh200)

![p57 Kip2 Conjugated Antibody[C56039]](https://img1.dxycdn.com/p/s14/2025/0922/632/2321321568067599691.jpg!wh200)
![PANX1 Rabbit Polyclonal Antibody[53664]](https://img1.dxycdn.com/p/s14/2025/0922/498/0460884283108299691.jpg!wh200)
