相关产品推荐更多 >
万千商家帮你免费找货
0 人在求购买到急需产品
- 详细信息
- 技术资料
- 免疫原:
Recombinant Human Osteopontin
- 形态:
liquid
- 保存条件:
Store at -20˚C
- 克隆性:
Monoclonal
- 适应物种:
Human
- 保质期:
12 months
- 抗原来源:
Mouse
- 供应商:
南京赛戈巍生物科技有限公司
- 宿主:
Mouse
- 应用范围:
WB IHC
- 靶点:
Uniprot:P10451
- 抗体英文名:
Osteopontin Monoclonal Antibody
- 规格:
50ul/100ul
计算分子量:34.5kd
配方:Preservative: 0.03% Proclin 300 Constituents: 50% Glycerol, 0.01M PBS, PH 7.4
应用详情:Western blotting: 1:500 - 1:1000
Immunohistochemistry: 1:20 - 1:200
图片:

All Lanes Mouse anti human OPN monoclonal antibody at at 2 ug/ml Lane 1 mouse kidney tissue lysate Secondary Goat polyclonal to Mouse IgG at 1/5000 dilution Predicted band size : 34.5 kDa Observed band size: 35kDa Additional bands at : 50 kDa. We are unsure as to the identity of this extra band.
,

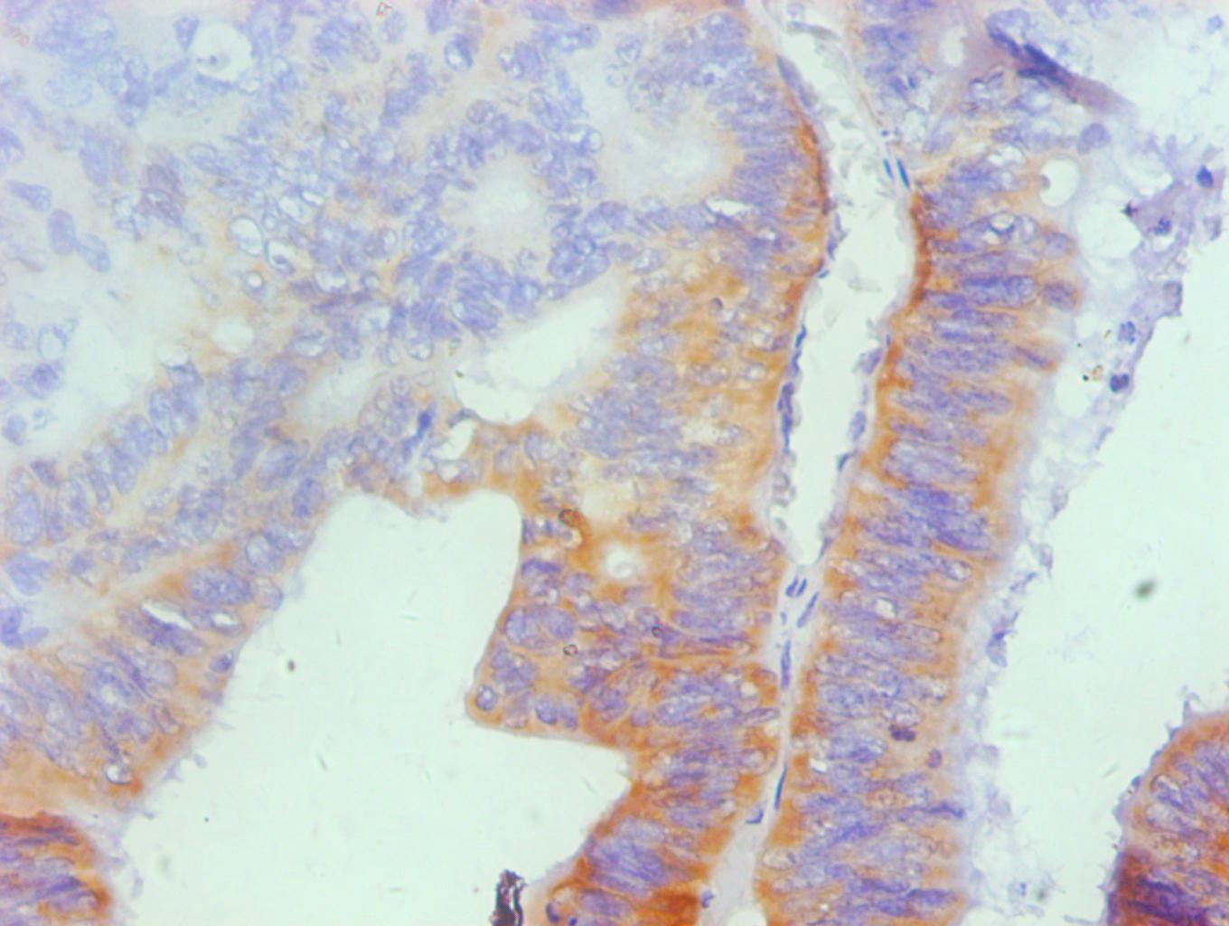
Immunohistochemical analysis of paraffin-embedded human colon cancer using #42036 at dilution of 1:200.
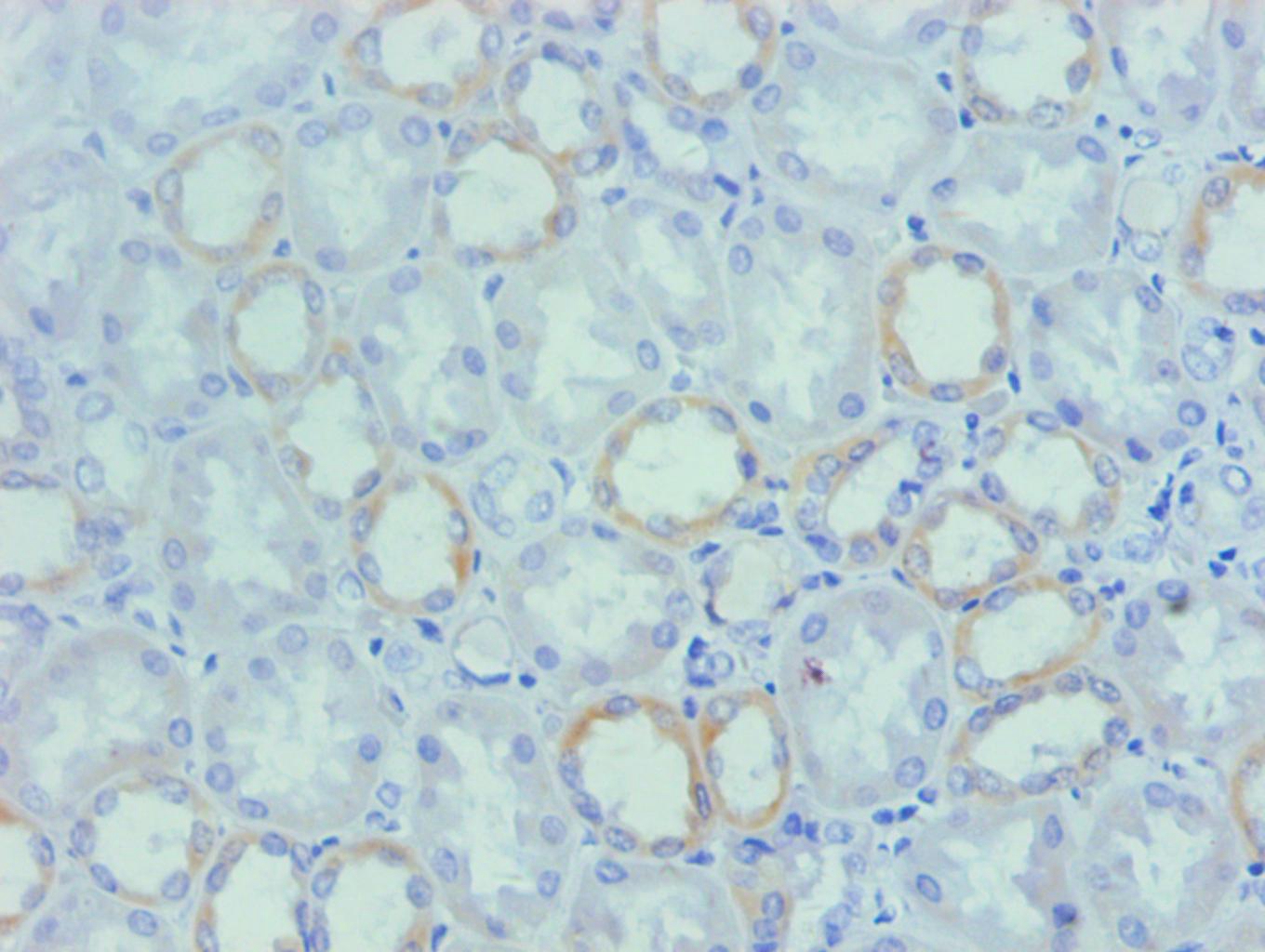
,

Immunohistochemical analysis of paraffin-embedded human Kidney tissue using #42036 at dilution of 1:200.
风险提示:丁香通仅作为第三方平台,为商家信息发布提供平台空间。用户咨询产品时请注意保护个人信息及财产安全,合理判断,谨慎选购商品,商家和用户对交易行为负责。对于医疗器械类产品,请先查证核实企业经营资质和医疗器械产品注册证情况。
技术资料暂无技术资料 索取技术资料


![Osteopontin Monoclonal Antibody[42036]](https://img1.dxycdn.com/p/s14/2025/0922/568/0046652811090600791.jpg)


![p23 (Phospho-Ser113) Polyclonal Antibody[12306]](https://img1.dxycdn.com/p/s14/2025/0922/568/0046652811090600791.jpg!wh200)
![CHD2 antibody[38715]](https://img1.dxycdn.com/p/s14/2025/0922/359/6146153295428599691.jpg!wh200)

![NF-kB p65 Rabbit Polyclonal Antibody[53227]](https://img1.dxycdn.com/p/s14/2025/0922/498/0460884283108299691.jpg!wh200)
![VAV2 Conjugated Antibody[C48996]](https://img1.dxycdn.com/p/s14/2025/0923/305/2150219664296040791.jpg!wh200)
