相关产品推荐更多 >
万千商家帮你免费找货
0 人在求购买到急需产品
- 详细信息
- 文献和实验
- 技术资料
- 免疫原:
recombinant protein
- 形态:
liquid
- 保存条件:
Store at -20˚C
- 克隆性:
Monoclonal antibody
- 适应物种:
Hu, Ms, Rt, Cow
- 保质期:
12 months
- 抗原来源:
Recombinant Rabbit
- 供应商:
南京赛戈巍生物科技有限公司
- 宿主:
Recombinant Rabbit
- 应用范围:
WB, IHC
- 靶点:
Uniprot:P02768
- 抗体英文名:
Albumin Rabbit mAb
- 规格:
50ul/100ul
ALBU_HUMAN antibody
Albumin (32 AA) antibody
Albumin (AA 34) antibody
cell growth inhibiting protein 42 antibody
DKFZp779N1935 antibody
GIG20 antibody
GIG42 antibody
growth-inhibiting protein 20 antibody
OTTHUMP00000220436 antibody
OTTHUMP00000220438 antibody
OTTHUMP00000220439 antibody
PRO0883 antibody
PRO0903 antibody
PRO1341 antibody
PRO1708 antibody
PRO2044 antibody
PRO2619 antibody
PRO2675 antibody
Serum albumin antibody
UNQ696/PRO1341 antibody
计算分子量:69 kDa
配方:1*TBS (pH7.4), 1%BSA, 40%Glycerol. Preservative: 0.05% Sodium Azide.
应用详情:WB: 1:1,000-5,000
IHC: 1:50-1:200
图片:

Western blot analysis of Albumin on Hela cells lysates using anti-Albumin antibody at 1/1,000 dilution.
,

Immunohistochemical analysis of paraffin-embedded human lung tissue using anti-Albumin antibody. Counter stained with hematoxylin.
,

Immunohistochemical analysis of paraffin-embedded human liver tissue using anti-Albumin antibody. Counter stained with hematoxylin.
,

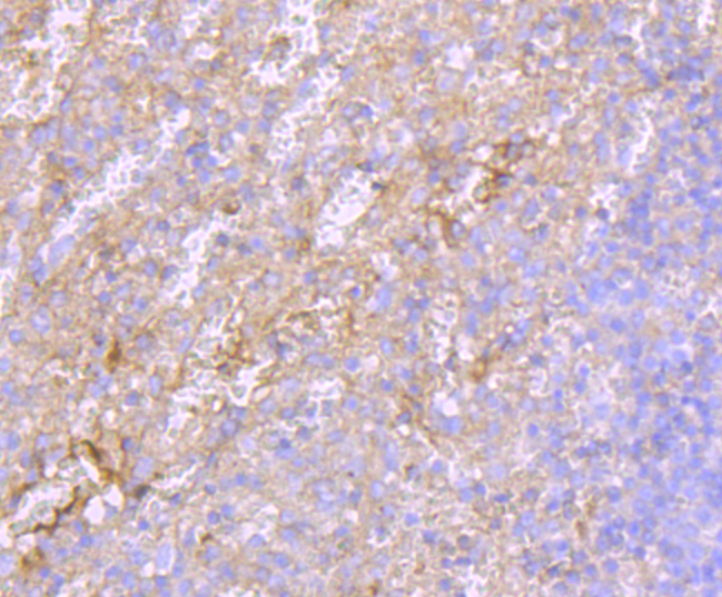
Immunohistochemical analysis of paraffin-embedded human spleen tissue using anti-Albumin antibody. Counter stained with hematoxylin.
,

Immunohistochemical analysis of paraffin-embedded mouse lung tissue using anti-Albumin antibody. Counter stained with hematoxylin.
,

Immunohistochemical analysis of paraffin-embedded human kidney tissue using anti-Albumin antibody. Counter stained with hematoxylin.
,

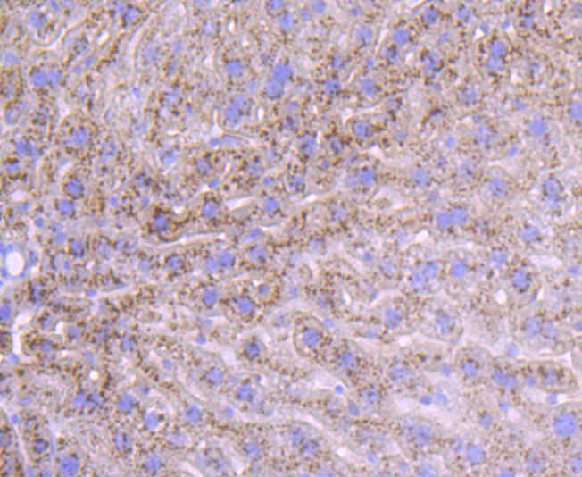
Immunohistochemical analysis of paraffin-embedded mouse liver tissue using anti-Albumin antibody. Counter stained with hematoxylin.
风险提示:丁香通仅作为第三方平台,为商家信息发布提供平台空间。用户咨询产品时请注意保护个人信息及财产安全,合理判断,谨慎选购商品,商家和用户对交易行为负责。对于医疗器械类产品,请先查证核实企业经营资质和医疗器械产品注册证情况。
文献和实验:使用 Anti-phospho-Akt (Ser473) Rabbit mAb 对石蜡包埋的人乳腺癌组织进行免疫组织化学分析。(图 A)使用免疫组化试剂盒M&R HRP/DAB Detection IHC Kit,抗体 1:100 稀释;(图 B) 采用普通免疫组化试剂盒,抗体 1:25 稀释。 图 6 免疫组化实验检测 Erk1/2 表达 注:使用 Anti-Erk1/2 Mouse mAb与p44/42 MAPK (Erk1/2)Rabbit mAb 对正常小鼠心脏组织进行免疫
david9931 请问各位大侠,有没有订做过磷酸化的丝氨酸或磷酸化的苏氨酸抗体,哪家公司做的比较好,小弟想订做目的蛋白特异位点的丝氨酸、苏氨酸的磷酸化的抗体,帮忙给指点下,多谢啦 euthor_hsu 这种抗体定做很难。毕竟要的是抗一个特异的氨基酸的磷酸化位点。 就我所知cisbio有anti-phosphothronine 和anti-phosphotyrosine的抗体,PAb和MAb都有,但是没有anti
h)即可。2. 修复大法——不仅仅是「煮一煮」微波炉修复:简单易行效果好,CST 推荐使用微波炉完成修复。合适的修复液:根据抗体说明书使用合适的修复液。用柠檬酸修复后,切片需浸泡在修复液中,自然冷却;而用 EDTA 修复后,切片可直接从修复缸中取出,直接进行下一步。注:使用不同的修复方式和不同生产商的抗体检测人肺癌组织中 EGFR 的表达。第一排为 CST 的 EGF Receptor (D38B1) XP® Rabbit mAb(#4267),EDTA 的修复方式明显优于柠檬酸盐及胃蛋白
技术资料暂无技术资料 索取技术资料





![QTRT1 Antibody[47182]](https://img1.dxycdn.com/p/s14/2025/0923/496/0462304380155040791.jpg!wh200)
![IL17A Receptor Conjugated Antibody[C56715]](https://img1.dxycdn.com/p/s14/2025/0922/632/2321321568067599691.jpg!wh200)
![CADM2 Antibody[34182]](https://img1.dxycdn.com/p/s14/2025/0922/359/6146153295428599691.jpg!wh200)
