相关产品推荐更多 >
万千商家帮你免费找货
0 人在求购买到急需产品
- 详细信息
- 文献和实验
- 技术资料
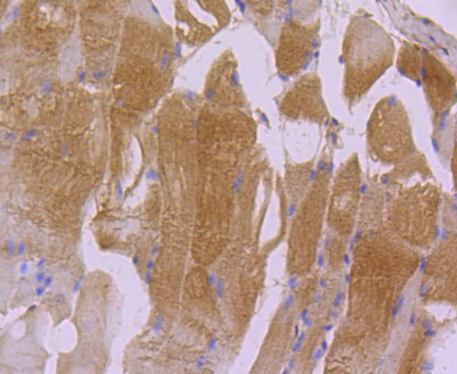
- 抗体名:
Actin Rabbit mAb
- 抗体英文名:
Actin Rabbit mAb
- 应用范围:
WB, ICC/IF, IHC, IP
- 宿主:
Recombinant Rabbit
- 适应物种:
Human;Mouse;Rat;Zebrafish
- 抗原来源:
Recombinant Rabbit
- 供应商:
南京赛戈巍生物科技有限公司
- 保存条件:
Store at -20°C
- 免疫原:
recombinant protein
purification
ProA affinity purified
applications
WB, ICC/IF, IHC, IP
appl_detail
WB: 1:1,000-1:2,000
IHC: 1:50-1:200
ICC: 1:100-1:500
other_names
a actin antibody
ACTA antibody
ACTA1 antibody
Actin alpha skeletal muscle antibody
Actin antibody
actin, alpha 1, skeletal muscle 1 antibody
actin, alpha 1, skeletal muscle antibody
Actin, alpha skeletal muscle antibody
actina antibody
actine antibody
ACTS_HUMAN antibody
Alpha Actin 1 antibody
Alpha skeletal muscle Actin antibody
alpha skeletal muscle antibody
alpha-actin antibody
Alpha-actin-1 antibody
ASMA antibody
CFTD antibody
CFTD1 antibody
CFTDM antibody
MPFD antibody
NEM1 antibody
NEM2 antibody
NEM3 antibody
nemaline myopathy type 3 antibody
calculated_mw
42 kDa
formulation
1*TBS (pH7.4), 1%BSA, 40%Glycerol. Preservative: 0.05% Sodium Azide.
uniprot
P68133
风险提示:丁香通仅作为第三方平台,为商家信息发布提供平台空间。用户咨询产品时请注意保护个人信息及财产安全,合理判断,谨慎选购商品,商家和用户对交易行为负责。对于医疗器械类产品,请先查证核实企业经营资质和医疗器械产品注册证情况。
文献和实验David Amberg Dialyze purified GST fusion proteins and actin into PBS + 1mM MgCl2 . Mix 5ug actin into 50ul total volume binding buffer. Mix 5ug GST-fusion protein into total volume 50ul binding buffer.
the column with 3 l of Buffer D using a fast flow rate. 2. Elute the column with a 4 l gradient from 100 mM KCl to 500 mM KCl in Buffer D. Collect 25 ml fractions (400 drops/fraction). Actin-containing fractions are identified by dot blot using mAb C4
Protein purification; actin Overview ACTIN The most abundant muscle and non-muscle cytoskeletal protein. MW 42 kDa, 374/375 amino acids; various isoforms; structure resolved at 2.8 Angstrom. [see also protocol ID 207,208,209]
技术资料暂无技术资料 索取技术资料









