相关产品推荐更多 >
万千商家帮你免费找货
0 人在求购买到急需产品
- 详细信息
- 技术资料
- 免疫原:
recombinant protein
- 形态:
liquid
- 保存条件:
Store at -20˚C
- 克隆性:
Monoclonal antibody
- 适应物种:
Human;Mouse;Rat
- 保质期:
12 months
- 抗原来源:
Recombinant Rabbit
- 供应商:
南京赛戈巍生物科技有限公司
- 宿主:
Recombinant Rabbit
- 应用范围:
WB, ICC/IF, IHC, IP
- 靶点:
Uniprot:O15379
- 抗体英文名:
HDAC3 Rabbit mAb
- 规格:
50ul/100ul
HDAC 3 antibody
HDAC3 antibody
HDAC3_HUMAN antibody
Histone deacetylase 3 antibody
RPD3 2 antibody
RPD3 antibody
RPD3-2 antibody
SMAP45 antibody
计算分子量:49 kDa
配方:1*TBS (pH7.4), 1%BSA, 40%Glycerol. Preservative: 0.05% Sodium Azide.
应用详情:WB: 1:1,000-5,000
IHC: 1:50-1:200
ICC: 1:50
图片:
![HDAC3 Rabbit mAb[48964]](https://img1.dxycdn.com/p/s14/2025/0923/812/2990248516906140791.jpg)
Western blot analysis of HDAC3 on NIH/3T3 cell lysates using anti-HDAC3 antibody at 1/1,000 dilution.
,
![HDAC3 Rabbit mAb[48964]](https://img1.dxycdn.com/p/s14/2025/0923/929/4036410546906140791.jpg)
Immunohistochemical analysis of paraffin-embedded human tonsil tissue using anti-HDAC3 antibody. Counter stained with hematoxylin.
,
![HDAC3 Rabbit mAb[48964]](https://img1.dxycdn.com/p/s14/2025/0923/336/8446586246906140791.jpg)
Immunohistochemical analysis of paraffin-embedded human breast carcinoma tissue using anti-HDAC3 antibody. Counter stained with hematoxylin.
,
![HDAC3 Rabbit mAb[48964]](https://img1.dxycdn.com/p/s14/2025/0923/162/4874719246906140791.jpg)
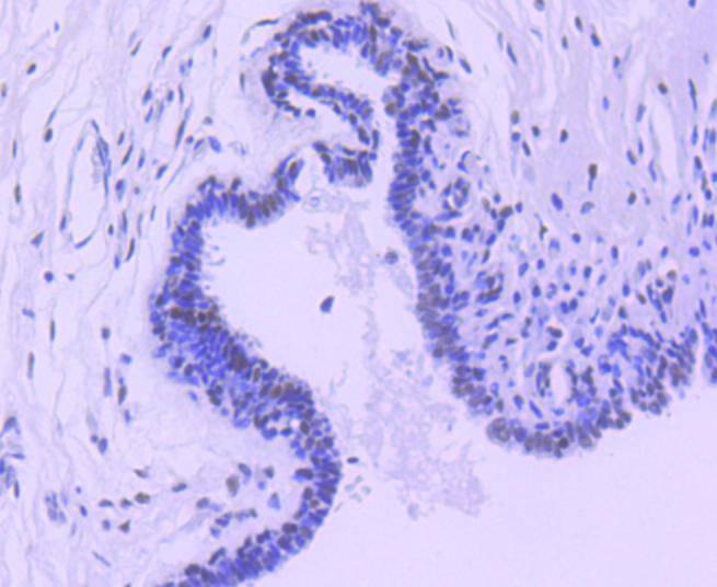
Immunohistochemical analysis of paraffin-embedded mouse skin tissue using anti-HDAC3 antibody. Counter stained with hematoxylin.
,
![HDAC3 Rabbit mAb[48964]](https://img1.dxycdn.com/p/s14/2025/0923/909/6549900916906140791.jpg)
ICC staining HDAC3 in Hela cells (green). The nuclear counter stain is DAPI (blue). Cells were fixed in paraformaldehyde, permeabilised with 0.25% Triton X100/PBS.
,
![HDAC3 Rabbit mAb[48964]](https://img1.dxycdn.com/p/s14/2025/0923/867/6186853816906140791.jpg)
ICC staining HDAC3 in NIH/3T3 cells (green). The nuclear counter stain is DAPI (blue). Cells were fixed in paraformaldehyde, permeabilised with 0.25% Triton X100/PBS.
风险提示:丁香通仅作为第三方平台,为商家信息发布提供平台空间。用户咨询产品时请注意保护个人信息及财产安全,合理判断,谨慎选购商品,商家和用户对交易行为负责。对于医疗器械类产品,请先查证核实企业经营资质和医疗器械产品注册证情况。
技术资料暂无技术资料 索取技术资料


![HDAC3 Rabbit mAb[48964]](https://img1.dxycdn.com/p/s14/2025/0923/496/0462304380155040791.jpg)


![LAMB1 Mouse mAb[63857]](https://img1.dxycdn.com/p/s14/2025/0922/632/2321321568067599691.jpg!wh200)
![GULP1 Antibody[46570]](https://img1.dxycdn.com/p/s14/2025/0923/496/0462304380155040791.jpg!wh200)
![CHRNA1 Polyclonal Antibody FITC Conjugated[C90436FITC]](https://img1.dxycdn.com/p/s14/2025/0922/498/0460884283108299691.jpg!wh200)
![HSP90β Polyclonal Antibody[41041]](https://img1.dxycdn.com/p/s14/2025/0922/568/0046652811090600791.jpg!wh200)
