相关产品推荐更多 >
万千商家帮你免费找货
0 人在求购买到急需产品
- 详细信息
- 技术资料
- 免疫原:
Purified recombinant fragment of LAMB1 (aa31-270) expressed in E. Coli. <br>
- 形态:
liquid
- 保存条件:
Store at -20˚C
- 克隆性:
Monoclonal
- 适应物种:
Human
- 保质期:
12 months
- 抗原来源:
Mouse
- 供应商:
南京赛戈巍生物科技有限公司
- 宿主:
Mouse
- 应用范围:
IHC
- 靶点:
Uniprot:P07942
- 抗体英文名:
LAMB1 Mouse mAb
- 规格:
50ul/100ul
别名:CLM; MGC142015
配方:Purified antibody in PBS with 0.05% sodium azide.
应用详情:IHC:1/200 - 1/1000
ELISA:1/10000
图片:
配方:Purified antibody in PBS with 0.05% sodium azide.
应用详情:IHC:1/200 - 1/1000
ELISA:1/10000
图片:
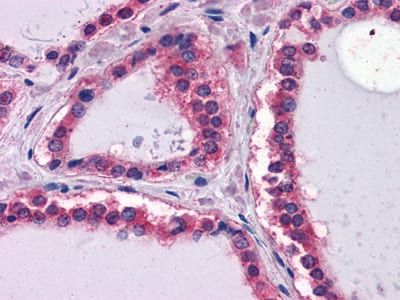
![LAMB1 Mouse mAb[63857]](https://img1.dxycdn.com/p/s14/2025/0922/012/0409996236895699691.jpg)
Immunohistochemical analysis of paraffin-embedded human Thyroid tissues using LAMB1 mouse mAb
风险提示:丁香通仅作为第三方平台,为商家信息发布提供平台空间。用户咨询产品时请注意保护个人信息及财产安全,合理判断,谨慎选购商品,商家和用户对交易行为负责。对于医疗器械类产品,请先查证核实企业经营资质和医疗器械产品注册证情况。
技术资料暂无技术资料 索取技术资料
LAMB1 Mouse mAb[63857]
询价


![LAMB1 Mouse mAb[63857]](https://img1.dxycdn.com/p/s14/2025/0922/632/2321321568067599691.jpg)


![ND5 Polyclonal Antibody[41204]](https://img1.dxycdn.com/p/s14/2025/0922/568/0046652811090600791.jpg!wh200)
![BCL6B Antibody[46341]](https://img1.dxycdn.com/p/s14/2025/0923/496/0462304380155040791.jpg!wh200)
![Twist Rabbit Polyclonal Antibody[54749]](https://img1.dxycdn.com/p/s14/2025/0922/498/0460884283108299691.jpg!wh200)
