相关产品推荐更多 >
万千商家帮你免费找货
0 人在求购买到急需产品
- 详细信息
- 技术资料
- 免疫原:
recombinant protein
- 形态:
liquid
- 保存条件:
Store at -20˚C
- 克隆性:
Monoclonal antibody
- 适应物种:
Human;Mouse;Rat
- 保质期:
12 months
- 抗原来源:
Recombinant Rabbit
- 供应商:
南京赛戈巍生物科技有限公司
- 宿主:
Recombinant Rabbit
- 应用范围:
WB, ICC/IF, IHC, IP
- 靶点:
Uniprot:P55212
- 抗体英文名:
Caspase-6 Rabbit mAb
- 规格:
50ul/100ul
Apoptotic protease MCH2 antibody
CASP-6 antibody
CASP6 antibody
CASP6_HUMAN antibody
Caspase 6 antibody
Caspase 6 apoptosis related cysteine protease antibody
Caspase 6, apoptosis related cysteine peptidase antibody
Caspase-6 subunit p11 antibody
Mch2 antibody
OTTHUMP00000162742 antibody
OTTHUMP00000162743 antibody
计算分子量:11/33 kDa
配方:1*TBS (pH7.4), 1%BSA, 40%Glycerol. Preservative: 0.05% Sodium Azide.
应用详情:WB: 1:1,000-1:2,000
IHC: 1:50-1:200
ICC: 1:50-1:200
图片:
![Caspase-6 Rabbit mAb[48936]](https://img1.dxycdn.com/p/s14/2025/0923/198/6353597933206140791.jpg)
Western blot analysis of Caspase-6 on different lysates using anti-Caspase-6 antibody at 1/1,000 dilution. Positive control:
Lane 1: Mouse colon
Lane 2: MCF-7
,
![Caspase-6 Rabbit mAb[48936]](https://img1.dxycdn.com/p/s14/2025/0923/446/6771169463206140791.jpg)
Immunohistochemical analysis of paraffin-embedded human breast carcinoma tissue using anti-Caspase-6 antibody. Counter stained with hematoxylin.
,
![Caspase-6 Rabbit mAb[48936]](https://img1.dxycdn.com/p/s14/2025/0923/010/4878171064206140791.jpg)
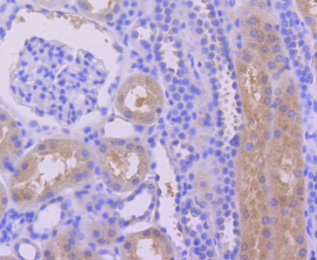
Immunohistochemical analysis of paraffin-embedded human kidney tissue using anti-Caspase-6 antibody. Counter stained with hematoxylin.
,
![Caspase-6 Rabbit mAb[48936]](https://img1.dxycdn.com/p/s14/2025/0923/732/0021128284206140791.jpg)
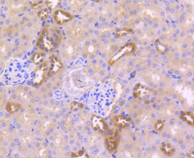
Immunohistochemical analysis of paraffin-embedded mouse kidney tissue using anti-Caspase-6 antibody. Counter stained with hematoxylin.
,
![Caspase-6 Rabbit mAb[48936]](https://img1.dxycdn.com/p/s14/2025/0923/134/4412436043206140791.jpg)
ICC staining Caspase-6 in SW480 cells (green). The nuclear counter stain is DAPI (blue). Cells were fixed in paraformaldehyde, permeabilised with 0.25% Triton X100/PBS.
风险提示:丁香通仅作为第三方平台,为商家信息发布提供平台空间。用户咨询产品时请注意保护个人信息及财产安全,合理判断,谨慎选购商品,商家和用户对交易行为负责。对于医疗器械类产品,请先查证核实企业经营资质和医疗器械产品注册证情况。
技术资料暂无技术资料 索取技术资料


![Caspase-6 Rabbit mAb[48936]](https://img1.dxycdn.com/p/s14/2025/0923/496/0462304380155040791.jpg)


![O-phosphoseryl-tRNA(Sec) selenium transferase Polyclonal Antibody[42582]](https://img1.dxycdn.com/p/s14/2025/0922/568/0046652811090600791.jpg!wh200)
![F3 antibody[38235]](https://img1.dxycdn.com/p/s14/2025/0922/359/6146153295428599691.jpg!wh200)
![DCTN3 Conjugated Antibody[C56772]](https://img1.dxycdn.com/p/s14/2025/0922/632/2321321568067599691.jpg!wh200)
![AQP1 Conjugated Antibody[C49447]](https://img1.dxycdn.com/p/s14/2025/0923/305/2150219664296040791.jpg!wh200)
