相关产品推荐更多 >
万千商家帮你免费找货
0 人在求购买到急需产品
- 详细信息
- 文献和实验
- 技术资料
- 免疫原:
recombinant protein
- 形态:
liquid
- 保存条件:
Store at -20˚C
- 克隆性:
Monoclonal
- 适应物种:
Human;Mouse;Rat
- 保质期:
12 months
- 抗原来源:
Recombinant Rabbit
- 供应商:
南京赛戈巍生物科技有限公司
- 宿主:
Recombinant Rabbit
- 应用范围:
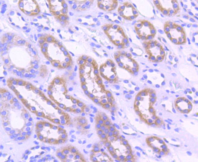
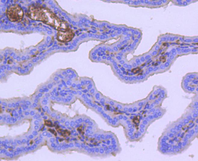
WB, IHC
- 靶点:
Uniprot:Q13085
- 抗体英文名:
Acetyl CoA Carboxylase 1(ACC1) Rabbit mAb
- 规格:
50ul/100ul
ACACA antibody
ACACA_HUMAN antibody
ACACB antibody
ACC alpha antibody
ACC antibody
ACC beta antibody
ACC-alpha antibody
ACC1 antibody
ACC2 antibody
ACCA antibody
ACCB antibody
Acetyl CoA carboxylase 1 antibody
Acetyl CoA carboxylase 2 antibody
Acetyl CoA carboxylase alpha antibody
Acetyl CoA carboxylase beta antibody
Acetyl Coenzyme A carboxylase alpha antibody
Acetyl Coenzyme A carboxylase beta antibody
Biotin carboxylase antibody
COA1 antibody
COA2 antibody
HACC275 antibody
OTTHUMP00000164069 antibody
OTTHUMP00000164070 antibody
OTTHUMP00000164076 antibody
OTTHUMP00000240532 antibody
计算分子量:265 kDa
配方:1*TBS (pH7.4), 1%BSA, 40%Glycerol. Preservative: 0.05% Sodium Azide.
应用详情:
WB: 1:1,000
IHC: 1:50-1:200
图片:

HW227
,

HW227
风险提示:丁香通仅作为第三方平台,为商家信息发布提供平台空间。用户咨询产品时请注意保护个人信息及财产安全,合理判断,谨慎选购商品,商家和用户对交易行为负责。对于医疗器械类产品,请先查证核实企业经营资质和医疗器械产品注册证情况。
文献和实验The study of cellular function of a particular gene can be advanced by either specifically eliminating or blocking the function of its gene product. Although antisense RNA has frequently been used for this purpose, the hammerhead ribozyme
Preparation of Isolated Periportal or Perivenous Hepatocytes from Rat Liver
(6 ), whereas enzymes such as glucokinase (7 ), P-450-dependent hydroxyl-ation reactions (8 ), and glutamine synthetase (9 ) show the opposite zona-tion. Recent studies on lipogenic enzymes (acetyl-CoA carboxylase, citrate lyase, and fatty acid synthase
Bioluminescent Assay of the Guanylates
(2 ) and acetyl-CoA carboxylase (3 ). They regulate IMP dehydrogenase gene expression (4 ). The guanine nucleotldes are incorporated into DNA and RNA (5 ), are substrates in the Krebs tricarboxylic acid cycle (6 ), and function in microtubule assembly
技术资料暂无技术资料 索取技术资料





![THADA Antibody[47255]](https://img1.dxycdn.com/p/s14/2025/0923/496/0462304380155040791.jpg!wh200)
![Pumilio 2 Conjugated Antibody[C56688]](https://img1.dxycdn.com/p/s14/2025/0922/632/2321321568067599691.jpg!wh200)
![ADCY4 Antibody[34160]](https://img1.dxycdn.com/p/s14/2025/0922/359/6146153295428599691.jpg!wh200)
