相关产品推荐更多 >
万千商家帮你免费找货
0 人在求购买到急需产品
- 详细信息
- 文献和实验
- 技术资料
- 免疫原:
Synthetic phospho-peptide corresponding to residues surrounding Thr183 + Thr183 + Thr221 of human JNK1/2/3
- 形态:
liquid
- 保存条件:
Store at -20˚C
- 克隆性:
Monoclonal
- 适应物种:
Human;Mouse;Rat
- 保质期:
12 months
- 抗原来源:
Recombinant Rabbit
- 供应商:
南京赛戈巍生物科技有限公司
- 宿主:
Recombinant Rabbit
- 应用范围:
WB;ICC/IF;IHC
- 靶点:
Uniprot:P45983
- 抗体英文名:
JNK1/2/3(Phospho-T183/T183/T221) Rabbit mAb
- 规格:
50ul/100ul
c Jun N terminal kinase 1 antibody
c Jun N terminal kinase 2 antibody
c Jun N terminal kinase 3 antibody
c-Jun N-terminal kinase 1 antibody
JNK 46 antibody
JNK 55 antibody
JNK antibody
JNK-46 antibody
JNK1 antibody
JNK1A2 antibody
JNK2 antibody
JNK21B1/2 antibody
JNK2A antibody
JNK2ALPHA antibody
JNK2B antibody
JNK2BETA antibody
JNK3 alpha protein kinase antibody
JNK3 antibody
JNK3A antibody
Jun kinase antibody
JUN N terminal kinase antibody
MAP kinase 10 antibody
MAP kinase 8 antibody
MAP kinase 9 antibody
MAP kinase p49 3F12 antibody
MAPK 10 antibody
MAPK 8 antibody
MAPK 9 antibody
MAPK10 antibody
mapk8 antibody
MAPK9 antibody
Mitogen activated protein kinase 10 antibody
Mitogen activated protein kinase 8 antibody
Mitogen activated protein kinase 8 isoform JNK1 alpha1 antibody
Mitogen activated protein kinase 8 isoform JNK1 beta2 antibody
Mitogen activated protein kinase 9 antibody
Mitogen-activated protein kinase 8 antibody
MK08_HUMAN antibody
p493F12 antibody
p54a antibody
p54aSAPK antibody
p54bSAPK antibody
PRKM10 antibody
PRKM8 antibody
PRKM9 antibody
SAPK antibody
SAPK(beta) antibody
SAPK1 antibody
SAPK1a antibody
SAPK1b antibody
SAPK1c antibody
Stress activated protein kinase 1 antibody
Stress activated protein kinase 1a antibody
Stress activated protein kinase 1b antibody
Stress activated protein kinase 1c antibody
Stress activated protein kinase beta antibody
Stress activated protein kinase JNK1 antibody
Stress activated protein kinase JNK2 antibody
Stress activated protein kinase JNK3 antibody
Stress-activated protein kinase 1c antibody
Stress-activated protein kinase JNK1 antibody
计算分子量:48/53 kDa
配方:1*TBS (pH7.4), 1%BSA, 40%Glycerol. Preservative: 0.05% Sodium Azide.
应用详情:WB: 1:500-1:2000
ICC/IF: 1:50-1:200
IHC: 1:50-1:200
图片:

Western blot analysis of Phospho-JNK1/2/3(T183+T183+T221) on different lysates using anti-Phospho-JNK1/2/3(T183+T183+T221) antibody at 1/1,000 dilution. Positive control:
Lane 1: NIH/3T3 cell lysate, treated with Anisomycin
Lane 2: NIH/3T3 cell lysate, untreated
,

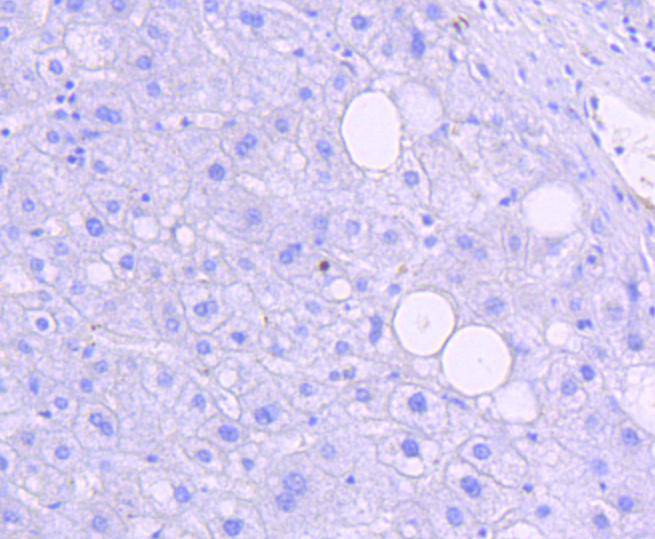
Immunohistochemical analysis of paraffin-embedded human liver tissue using anti-Phospho-JNK1/2/3(T183+T183+T221) antibody. Counter stained with hematoxylin.
,

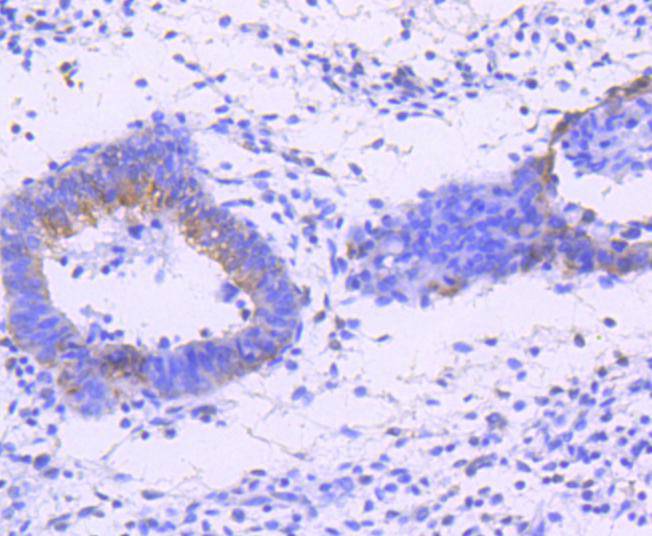
Immunohistochemical analysis of paraffin-embedded human uterus tissue using anti-Phospho-JNK1/2/3(T183+T183+T221) antibody. Counter stained with hematoxylin.
,

Immunohistochemical analysis of paraffin-embedded mouse heart tissue using anti-Phospho-JNK1/2/3(T183+T183+T221) antibody. Counter stained with hematoxylin.
,

ICC staining Phospho-JNK1/2/3(T183+T183+T221) in Hela cells (green). The nuclear counter stain is DAPI (blue). Cells were fixed in paraformaldehyde, permeabilised with 0.25% Triton X100/PBS.
,

ICC staining Phospho-JNK1/2/3(T183+T183+T221) in NIH/3T3 cells (green). The nuclear counter stain is DAPI (blue). Cells were fixed in paraformaldehyde, permeabilised with 0.25% Triton X100/PBS.
,

ICC staining Phospho-JNK1/2/3(T183+T183+T221) in HUVEC cells (green). The nuclear counter stain is DAPI (blue). Cells were fixed in paraformaldehyde, permeabilised with 0.25% Triton X100/PBS.
,

Flow cytometric analysis of Hela cells with Phospho-JNK1/2/3(T183+T183+T221) antibody at 1/50 dilution (blue) compared with an unlabelled control (cells without incubation with primary antibody; red). Alexa Fluor 488-conjugated goat anti rabbit IgG was used as the secondary antibody.
风险提示:丁香通仅作为第三方平台,为商家信息发布提供平台空间。用户咨询产品时请注意保护个人信息及财产安全,合理判断,谨慎选购商品,商家和用户对交易行为负责。对于医疗器械类产品,请先查证核实企业经营资质和医疗器械产品注册证情况。
文献和实验:使用 Anti-phospho-Akt (Ser473) Rabbit mAb 对石蜡包埋的人乳腺癌组织进行免疫组织化学分析。(图 A)使用免疫组化试剂盒M&R HRP/DAB Detection IHC Kit,抗体 1:100 稀释;(图 B) 采用普通免疫组化试剂盒,抗体 1:25 稀释。 图 6 免疫组化实验检测 Erk1/2 表达 注:使用 Anti-Erk1/2 Mouse mAb与p44/42 MAPK (Erk1/2)Rabbit mAb 对正常小鼠心脏组织进行免疫
|998894|gb|S78179.1|S78179 Oryctolagus cuniculus type XII... 32 0.037 gi|31072033|gb|AC122153.4| Oryctolagus cuniculus clone LB1-... 28 0.58 gi|1496|emb|X52496.1|OCCAATP Rabbit mRNA for calcium ATPase 28 0.58 gi|1468|emb|X02814.1|OCATPDR Rabbit mRNA
h)即可。2. 修复大法——不仅仅是「煮一煮」微波炉修复:简单易行效果好,CST 推荐使用微波炉完成修复。合适的修复液:根据抗体说明书使用合适的修复液。用柠檬酸修复后,切片需浸泡在修复液中,自然冷却;而用 EDTA 修复后,切片可直接从修复缸中取出,直接进行下一步。注:使用不同的修复方式和不同生产商的抗体检测人肺癌组织中 EGFR 的表达。第一排为 CST 的 EGF Receptor (D38B1) XP® Rabbit mAb(#4267),EDTA 的修复方式明显优于柠檬酸盐及胃蛋白
技术资料暂无技术资料 索取技术资料






![TPX2 Conjugated Antibody[C40347]](https://img1.dxycdn.com/p/s14/2025/0923/278/4431488150116040791.jpg!wh200)
![FBXO42 Antibody[39863]](https://img1.dxycdn.com/p/s14/2025/0922/568/0046652811090600791.jpg!wh200)
![NG2 Polyclonal Antibody FITC Conjugated[C91683FITC]](https://img1.dxycdn.com/p/s14/2025/0922/498/0460884283108299691.jpg!wh200)

