相关产品推荐更多 >
万千商家帮你免费找货
0 人在求购买到急需产品
- 详细信息
- 文献和实验
- 技术资料
- 免疫原:
recombinant protein
- 形态:
liquid
- 保存条件:
Store at -20˚C
- 克隆性:
Monoclonal antibody
- 适应物种:
Human
- 保质期:
12 months
- 抗原来源:
Recombinant Rabbit
- 供应商:
南京赛戈巍生物科技有限公司
- 宿主:
Recombinant Rabbit
- 应用范围:
WB, IHC, IP, FC
- 靶点:
Uniprot:P07766
- 抗体英文名:
CD3 epsilon Rabbit mAb
- 规格:
50ul/100ul
CD3e antibody
CD3e antigen epsilon polypeptide (TiT3 complex) antibody
CD3E antigen epsilon polypeptide antibody
CD3E antigen, epsilon subunit antibody
CD3e molecule epsilon antibody
CD3e molecule, epsilon (CD3 TCR complex) antibody
CD3e molecule, epsilon (CD3-TCR complex) antibody
CD3E_HUMAN antibody
IMD18 antibody
T cell antigen receptor complex epsilon subunit of T3 antibody
T cell surface antigen T3/Leu 4 epsilon chain antibody
T cell surface glycoprotein CD3 epsilon chain antibody
T-cell surface antigen T3/Leu-4 epsilon chain antibody
T-cell surface glycoprotein CD3 epsilon chain antibody
T3E antibody
TCRE antibody
计算分子量:23 kDa
配方:1*TBS (pH7.4), 1%BSA, 40%Glycerol. Preservative: 0.05% Sodium Azide.
应用详情:WB: 1:1,000-1:2,000
IHC:1:50-1:200
FC: 1:50-1:100
图片:

Western blot analysis of CD3 epsilon on different lysates using anti-CD3 epsilon antibody at 1/1,000 dilution. Positive control:
Lane 1: Jurkat
Lane 2: Human thymus
,

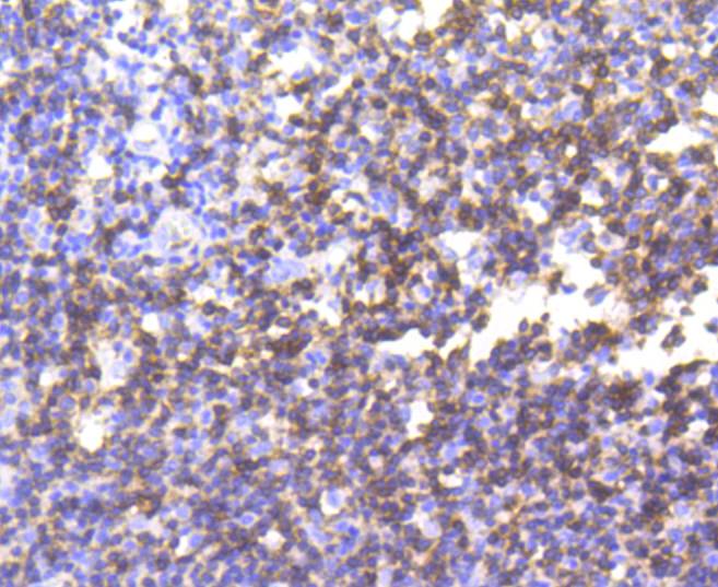
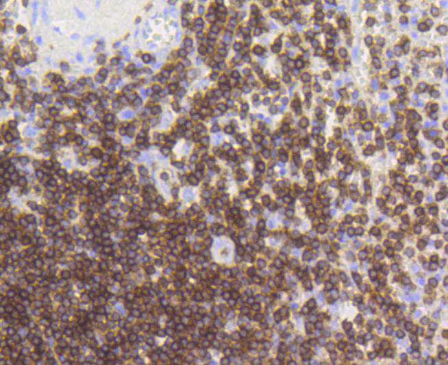
Immunohistochemical analysis of paraffin-embedded human tonsil tissue using anti-CD3 epsilon antibody. Counter stained with hematoxylin.
,

Immunohistochemical analysis of paraffin-embedded human spleen tissue using anti-CD3 epsilon antibody. Counter stained with hematoxylin.
,

Flow cytometric analysis of Jurkat cells with CD3 epsilon antibody at 1/50 dilution (blue) compared with an unlabelled control (cells without incubation with primary antibody; red). Alexa Fluor 488-conjugated goat anti rabbit IgG was used as the secondary antibody
风险提示:丁香通仅作为第三方平台,为商家信息发布提供平台空间。用户咨询产品时请注意保护个人信息及财产安全,合理判断,谨慎选购商品,商家和用户对交易行为负责。对于医疗器械类产品,请先查证核实企业经营资质和医疗器械产品注册证情况。
文献和实验T-Cell Activation Using mAb to CD3
splenic T-cells and human peripheral T cells stimulated via CD3. Critical parameters include cell density, antibody titer and activation kinetics. Materials 1X sterile PBS Anti-mouse CD3e, Clone 145-2C11 (Functional Grade, Cat. No. 16
cell receptors, most B cell lymphomas Micro images: CD3 epsilon-testicular NK/T cell lymphoma (figure 3D) Micro images (AJSP subscribers): achalasia, post-transplant lymphoproliferative disease in liver References: AJSP 2001;25:1413
:使用 Anti-phospho-Akt (Ser473) Rabbit mAb 对石蜡包埋的人乳腺癌组织进行免疫组织化学分析。(图 A)使用免疫组化试剂盒M&R HRP/DAB Detection IHC Kit,抗体 1:100 稀释;(图 B) 采用普通免疫组化试剂盒,抗体 1:25 稀释。 图 6 免疫组化实验检测 Erk1/2 表达 注:使用 Anti-Erk1/2 Mouse mAb与p44/42 MAPK (Erk1/2)Rabbit mAb 对正常小鼠心脏组织进行免疫
技术资料暂无技术资料 索取技术资料





![MAPKAPK2 Antibody[37715]](https://img1.dxycdn.com/p/s14/2025/0922/359/6146153295428599691.jpg!wh200)

![SCN1A Conjugated Antibody[C43409]](https://img1.dxycdn.com/p/s14/2025/0923/278/4431488150116040791.jpg!wh200)
![SLC14A2 Polyclonal Antibody[27947]](https://img1.dxycdn.com/p/s14/2025/0923/305/2150219664296040791.jpg!wh200)
