相关产品推荐更多 >
万千商家帮你免费找货
0 人在求购买到急需产品
- 详细信息
- 文献和实验
- 技术资料
- 免疫原:
A synthesized peptide derived from human CD63
- 形态:
liquid
- 保存条件:
Store at -20˚C
- 克隆性:
Monoclonal
- 适应物种:
Human
- 保质期:
12 months
- 抗原来源:
Recombinant Rabbit
- 供应商:
南京赛戈巍生物科技有限公司
- 宿主:
Recombinant Rabbit
- 应用范围:
WB, IHC
- 靶点:
Uniprot:P08962
- 抗体英文名:
CD63 Rabbit mAb
- 规格:
50ul/100ul
CD 63 antibody
CD63 antibody
CD63 antigen (melanoma 1 antigen) antibody
CD63 antigen antibody
CD63 antigen melanoma 1 antigen antibody
CD63 molecule antibody
CD63_HUMAN antibody
gp55 antibody
Granulophysin antibody
LAMP 3 antibody
LAMP-3 antibody
LAMP3 antibody
LIMP antibody
Lysosomal-associated membrane protein 3 antibody
Lysosome associated membrane glycoprotein 3 antibody
Mast cell antigen AD1 antibody
ME491 antibody
Melanoma 1 antigen antibody
Melanoma associated antigen ME491 antibody
Melanoma associated antigen MLA1 antibody
Melanoma-associated antigen ME491 antibody
MGC72893 antibody
MLA 1 antibody
MLA1 antibody
NGA antibody
Ocular melanoma associated antigen antibody
Ocular melanoma-associated antigen antibody
OMA81H antibody
PTLGP40 antibody
Tetraspanin 30 antibody
Tetraspanin-30 antibody
Tspan 30 antibody
Tspan-30 antibody
TSPAN30 antibody
计算分子量:26kDa
配方:Rabbit IgG in phosphate buffered saline , pH 7.4, 150mM NaCl, 0.02% sodium azide and 50% glycerol
应用详情:
WB 1:1000~1:2000
IHC 1:500~1:1000
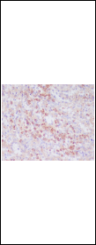
图片:

All lanes use the Antibody at 1:1K dilution for 1 hour at room temperature.
,

Western blot analysis of CD63 expression in A375 cell lysate.
,

Immunohistochemical analysis of paraffin-embedded human spleen, using CD63 Antibody .
,

Immunofluorescent analysis using the Antibody at 1:50 dilution.
风险提示:丁香通仅作为第三方平台,为商家信息发布提供平台空间。用户咨询产品时请注意保护个人信息及财产安全,合理判断,谨慎选购商品,商家和用户对交易行为负责。对于医疗器械类产品,请先查证核实企业经营资质和医疗器械产品注册证情况。
文献和实验:使用 Anti-phospho-Akt (Ser473) Rabbit mAb 对石蜡包埋的人乳腺癌组织进行免疫组织化学分析。(图 A)使用免疫组化试剂盒M&R HRP/DAB Detection IHC Kit,抗体 1:100 稀释;(图 B) 采用普通免疫组化试剂盒,抗体 1:25 稀释。 图 6 免疫组化实验检测 Erk1/2 表达 注:使用 Anti-Erk1/2 Mouse mAb与p44/42 MAPK (Erk1/2)Rabbit mAb 对正常小鼠心脏组织进行免疫
h)即可。2. 修复大法——不仅仅是「煮一煮」微波炉修复:简单易行效果好,CST 推荐使用微波炉完成修复。合适的修复液:根据抗体说明书使用合适的修复液。用柠檬酸修复后,切片需浸泡在修复液中,自然冷却;而用 EDTA 修复后,切片可直接从修复缸中取出,直接进行下一步。注:使用不同的修复方式和不同生产商的抗体检测人肺癌组织中 EGFR 的表达。第一排为 CST 的 EGF Receptor (D38B1) XP® Rabbit mAb(#4267),EDTA 的修复方式明显优于柠檬酸盐及胃蛋白
到 PVDF 膜上,同时减少蛋白不必要降解,这对于最终获得清晰、可信结果也是需要考虑因素。抗体信息:1.ACC1, Recombinant Rabbit monoclonal IgG. HuaAn. HuaAn biotechnology , inc.2.ATGL, Mouse mAb IgG1, Cat#:RT1058. HuaAn biotechnology , inc.3.p-PERK(Thr981), Rabbit Polyclonal IgG primary antibodies, Cat
技术资料暂无技术资料 索取技术资料





![DBN1 Conjugated Antibody[C38851]](https://img1.dxycdn.com/p/s14/2025/0923/278/4431488150116040791.jpg!wh200)
![HNRNPAB Antibody[47634]](https://img1.dxycdn.com/p/s14/2025/0923/496/0462304380155040791.jpg!wh200)
![Cytochrome P450 3A4 Antibody[34243]](https://img1.dxycdn.com/p/s14/2025/0922/359/6146153295428599691.jpg!wh200)
