相关产品推荐更多 >
万千商家帮你免费找货
0 人在求购买到急需产品
- 详细信息
- 文献和实验
- 技术资料
- 免疫原:
recombinant protein
- 形态:
liquid
- 保存条件:
Store at -20˚C
- 克隆性:
Monoclonal antibody
- 适应物种:
Human;Mouse;Rat
- 保质期:
12 months
- 抗原来源:
Recombinant Rabbit
- 供应商:
南京赛戈巍生物科技有限公司
- 宿主:
Recombinant Rabbit
- 应用范围:
WB, ICC/IF, IHC, IP
- 靶点:
Uniprot:P00533
- 抗体英文名:
EGFR Rabbit mAb
- 规格:
50ul/100ul
Cell growth inhibiting protein 40 antibody
Cell proliferation inducing protein 61 antibody
EGF R antibody
EGFR antibody
EGFR_HUMAN antibody
Epidermal growth factor receptor (avian erythroblastic leukemia viral (v erb b) oncogene homolog) antibody
Epidermal growth factor receptor (erythroblastic leukemia viral (v erb b) oncogene homolog avian) antibody
Epidermal growth factor receptor antibody
erb-b2 receptor tyrosine kinase 1 antibody
ERBB antibody
ERBB1 antibody
Errp antibody
HER1 antibody
mENA antibody
NISBD2 antibody
Oncogen ERBB antibody
PIG61 antibody
Proto-oncogene c-ErbB-1 antibody
Receptor tyrosine protein kinase ErbB 1 antibody
Receptor tyrosine-protein kinase ErbB-1 antibody
SA7 antibody
Species antigen 7 antibody
Urogastrone antibody
v-erb-b Avian erythroblastic leukemia viral oncogen homolog antibody
wa2 antibody
Wa5 antibody
计算分子量:Predicted 134 kDa, observed 150 kDa.
配方:1*TBS (pH7.4), 1%BSA, 40%Glycerol. Preservative: 0.05% Sodium Azide.
应用详情:WB: 1:1,000-1:2,000
IHC: 1:50-1:200
ICC: 1:50-1:200
IP: 1:10-1:50
图片:

Western blot analysis of EGFR on different cell lysates using anti-EGFR at 1/500 dilution. Positive control??
Line 1: Hela
Line 2: A431
Line 3: HUVEC
,

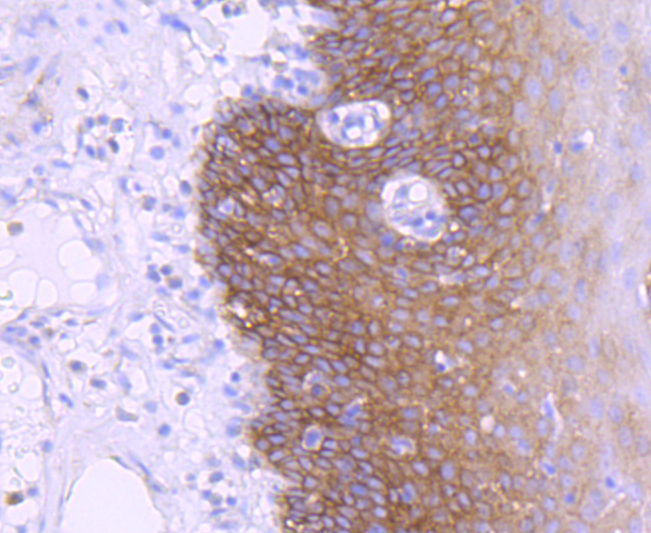
Immunohistochemical analysis of paraffin-embedded human tonsil tissue using anti-EGFR antibody. Counter stained with hematoxylin.
,

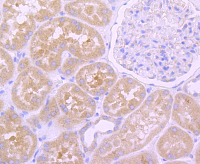
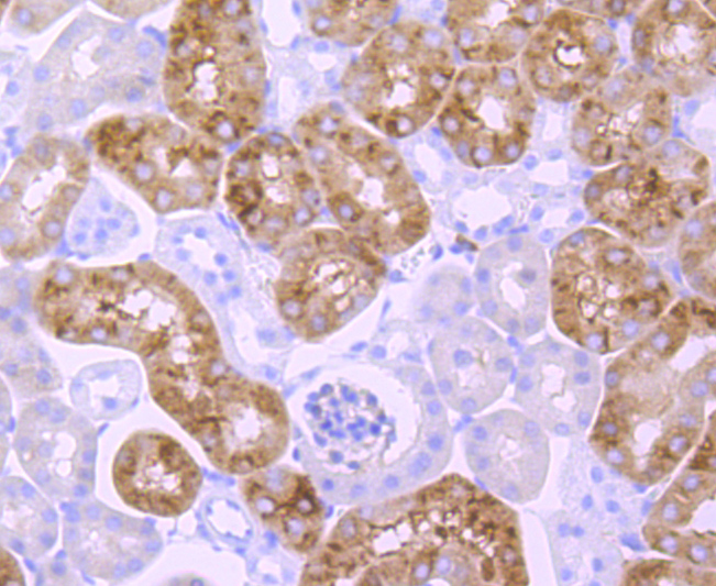
Immunohistochemical analysis of paraffin-embedded human kidney tissue using anti-EGFR antibody. Counter stained with hematoxylin.
,

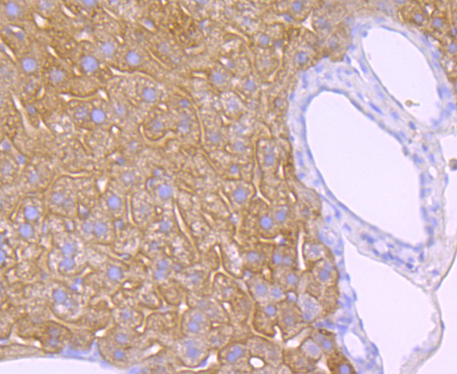
Immunohistochemical analysis of paraffin-embedded mouse liver tissue using anti-EGFR antibody. Counter stained with hematoxylin.
,

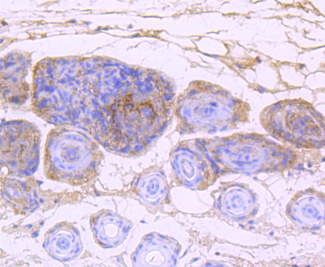
Immunohistochemical analysis of paraffin-embedded mouse skin tissue using anti-EGFR antibody. Counter stained with hematoxylin.
,

Immunohistochemical analysis of paraffin-embedded mouse kidney tissue using anti-EGFR antibody. Counter stained with hematoxylin.
,

ICC staining EGFR in Hela cells (red). The nuclear counter stain is DAPI (blue). Cells were fixed in paraformaldehyde, permeabilised with 0.25% Triton X100/PBS.
,

ICC staining EGFR in A431 cells (red). The nuclear counter stain is DAPI (blue). Cells were fixed in paraformaldehyde, permeabilised with 0.25% Triton X100/PBS.
,

ICC staining EGFR in HepG2 cells (red). The nuclear counter stain is DAPI (blue). Cells were fixed in paraformaldehyde, permeabilised with 0.25% Triton X100/PBS.
风险提示:丁香通仅作为第三方平台,为商家信息发布提供平台空间。用户咨询产品时请注意保护个人信息及财产安全,合理判断,谨慎选购商品,商家和用户对交易行为负责。对于医疗器械类产品,请先查证核实企业经营资质和医疗器械产品注册证情况。
文献和实验研究中[8]。(3)MAB528与MAB225MAB528、MAB225是针对EGFR胞外区的鼠源性抗体[9]。它们与EGF、TGFα和EGFR有相似的亲和力,竞争性与EGFR配体结合区结合,减低酪氨酸激酶的活化。能明显抑制培养细胞及裸鼠肿瘤移植物的增殖。(4)其它EMD55900[10]、 ICR62[11]是鼠源性单克隆抗体。在头颈部上皮性肿瘤体外试验显示了抗增生活性。CIBCNSH3[11]也是针对过表达EGFR肿瘤的单克隆抗体。体外实验CIBCNSH3与过表达EGFR细胞共育,发现98%细胞
:使用 Anti-phospho-Akt (Ser473) Rabbit mAb 对石蜡包埋的人乳腺癌组织进行免疫组织化学分析。(图 A)使用免疫组化试剂盒M&R HRP/DAB Detection IHC Kit,抗体 1:100 稀释;(图 B) 采用普通免疫组化试剂盒,抗体 1:25 稀释。 图 6 免疫组化实验检测 Erk1/2 表达 注:使用 Anti-Erk1/2 Mouse mAb与p44/42 MAPK (Erk1/2)Rabbit mAb 对正常小鼠心脏组织进行免疫
h)即可。2. 修复大法——不仅仅是「煮一煮」微波炉修复:简单易行效果好,CST 推荐使用微波炉完成修复。合适的修复液:根据抗体说明书使用合适的修复液。用柠檬酸修复后,切片需浸泡在修复液中,自然冷却;而用 EDTA 修复后,切片可直接从修复缸中取出,直接进行下一步。注:使用不同的修复方式和不同生产商的抗体检测人肺癌组织中 EGFR 的表达。第一排为 CST 的 EGF Receptor (D38B1) XP® Rabbit mAb(#4267),EDTA 的修复方式明显优于柠檬酸盐及胃蛋白
技术资料暂无技术资料 索取技术资料





![L1ORF1p Antibody[48213]](https://img1.dxycdn.com/p/s14/2025/0923/496/0462304380155040791.jpg!wh200)
![RGAP1 Conjugated Antibody[C56837]](https://img1.dxycdn.com/p/s14/2025/0922/632/2321321568067599691.jpg!wh200)
![RPS4Y1 Antibody[34340]](https://img1.dxycdn.com/p/s14/2025/0922/359/6146153295428599691.jpg!wh200)
![Erbin (Phospho-Tyr1104) Polyclonal Antibody[12194]](https://img1.dxycdn.com/p/s14/2025/0922/568/0046652811090600791.jpg!wh200)
