相关产品推荐更多 >
万千商家帮你免费找货
0 人在求购买到急需产品
- 详细信息
- 文献和实验
- 技术资料
- 免疫原:
recombinant protein
- 形态:
liquid
- 保存条件:
Store at -20˚C
- 克隆性:
Monoclonal antibody
- 适应物种:
Human;Mouse;Rat
- 保质期:
12 months
- 抗原来源:
Recombinant Rabbit
- 供应商:
南京赛戈巍生物科技有限公司
- 宿主:
Recombinant Rabbit
- 应用范围:
WB, IP, IHC, FC
- 靶点:
Uniprot:P17181
- 抗体英文名:
IFNAR1 Rabbit mAb
- 规格:
50ul/100ul
AVP antibody
Beta type antiviral protein antibody
CRF2-1 antibody
Cytokine receptor class-II member 1 antibody
Cytokine receptor family 2 member 1 antibody
IFN alpha REC antibody
IFN alpha receptor antibody
IFN alpha/beta Receptor alpha antibody
IFN beta receptor antibody
IFN-alpha/beta receptor 1 antibody
IFN-R-1 antibody
IFNAR antibody
Ifnar1 antibody
IFNBR antibody
IFRC antibody
INAR1_HUMAN antibody
Interferon (alpha beta and omega) receptor 1 antibody
Interferon alpha/beta receptor 1 antibody
Interferon alpha/beta receptor alpha chain antibody
Interferon beta receptor 1 antibody
Type I interferon receptor 1 antibody
计算分子量:90/130 kDa
配方:1*TBS (pH7.4), 1%BSA, 40%Glycerol. Preservative: 0.05% Sodium Azide.
应用详情:WB: 1:1,000-1:2,000
IHC:1:50-1:200
FC: 1:50-1:100
图片:

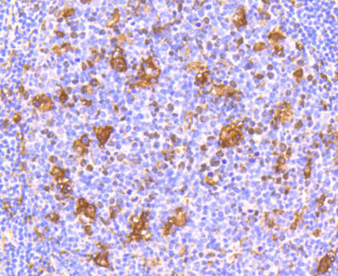
Immunohistochemical analysis of paraffin-embedded human tonsil tissue using anti-IFNAR1 antibody. Counter stained with hematoxylin.
,

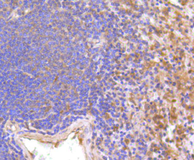
Immunohistochemical analysis of paraffin-embedded human spleen tissue using anti-IFNAR1 antibody. Counter stained with hematoxylin.
,

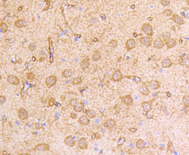
Immunohistochemical analysis of paraffin-embedded rat brain tissue using anti-IFNAR1 antibody. Counter stained with hematoxylin.
,

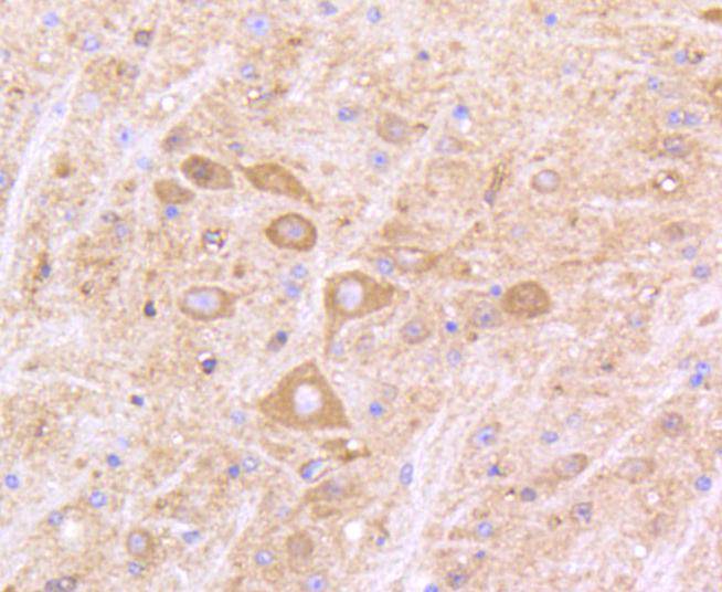
Immunohistochemical analysis of paraffin-embedded mouse brain tissue using anti-IFNAR1 antibody. Counter stained with hematoxylin.
,

Flow cytometric analysis of Jurkat cells with IFNAR1 antibody at 1/50 dilution (blue) compared with an unlabelled control (cells without incubation with primary antibody; red). Alexa Fluor 488-conjugated goat anti rabbit IgG was used as the secondary antibody.
风险提示:丁香通仅作为第三方平台,为商家信息发布提供平台空间。用户咨询产品时请注意保护个人信息及财产安全,合理判断,谨慎选购商品,商家和用户对交易行为负责。对于医疗器械类产品,请先查证核实企业经营资质和医疗器械产品注册证情况。
文献和实验:使用 Anti-phospho-Akt (Ser473) Rabbit mAb 对石蜡包埋的人乳腺癌组织进行免疫组织化学分析。(图 A)使用免疫组化试剂盒M&R HRP/DAB Detection IHC Kit,抗体 1:100 稀释;(图 B) 采用普通免疫组化试剂盒,抗体 1:25 稀释。 图 6 免疫组化实验检测 Erk1/2 表达 注:使用 Anti-Erk1/2 Mouse mAb与p44/42 MAPK (Erk1/2)Rabbit mAb 对正常小鼠心脏组织进行免疫
Cell Metab:肥胖的元凶或许是免疫稳态的紊乱?来自哈佛的科学家给出了最新的解释
-g 则没有这种效应。图片来源:Cell Metabolism最后,为了确定在长时间高脂饲料喂养下,额外增加的 IFN 是否是 VAT-Tregs 减少的真正原因,他们在小鼠喂食 HFD 的情况下,每周注射 2 次抗 IFNAR1 单克隆抗体(mAb)或 IgG 同型对照抗体(mAb)。8 周后,检测结果表明阻断 IFNAR1 可以恢复 VAT 中克隆型 Tregs 的比例和数量,但对脾中的没有影响。最后,他们还进一步证实了树突状细胞是 IFN-a 的来源细胞。图片来源:Cell
h)即可。2. 修复大法——不仅仅是「煮一煮」微波炉修复:简单易行效果好,CST 推荐使用微波炉完成修复。合适的修复液:根据抗体说明书使用合适的修复液。用柠檬酸修复后,切片需浸泡在修复液中,自然冷却;而用 EDTA 修复后,切片可直接从修复缸中取出,直接进行下一步。注:使用不同的修复方式和不同生产商的抗体检测人肺癌组织中 EGFR 的表达。第一排为 CST 的 EGF Receptor (D38B1) XP® Rabbit mAb(#4267),EDTA 的修复方式明显优于柠檬酸盐及胃蛋白
技术资料暂无技术资料 索取技术资料






![FGF1 antibody[38145]](https://img1.dxycdn.com/p/s14/2025/0922/359/6146153295428599691.jpg!wh200)
![HSV1 gD antibody HRP Conjugated[C92924H]](https://img1.dxycdn.com/p/s14/2025/0922/632/2321321568067599691.jpg!wh200)
![ANLN Conjugated Antibody[C36104]](https://img1.dxycdn.com/p/s14/2025/0923/278/4431488150116040791.jpg!wh200)
![CLK2 Antibody[43405]](https://img1.dxycdn.com/p/s14/2025/0922/568/0046652811090600791.jpg!wh200)
