相关产品推荐更多 >
万千商家帮你免费找货
0 人在求购买到急需产品
- 详细信息
- 文献和实验
- 技术资料
- 免疫原:
recombinant protein
- 形态:
liquid
- 保存条件:
Store at -20˚C
- 克隆性:
Monoclonal
- 适应物种:
Human;Mouse;Rat
- 保质期:
12 months
- 抗原来源:
Recombinant Rabbit
- 供应商:
南京赛戈巍生物科技有限公司
- 宿主:
Recombinant Rabbit
- 应用范围:
WB, ICC/IF, IHC
- 靶点:
Uniprot:P04908
- 抗体英文名:
Histone H2A(acetyl K9) Rabbit mAb
- 规格:
50ul/100ul
H2A1B_HUMAN antibody
H2AFM antibody
HIST1H2A antibody
HIST1H2AE antibody
Histone H2A type 1-B/E antibody
Histone H2A.2 antibody
Histone H2A/a antibody
Histone H2A/m antibody
计算分子量:14 kDa
配方:1*TBS (pH7.4), 1%BSA, 40%Glycerol. Preservative: 0.05% Sodium Azide.
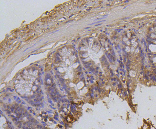
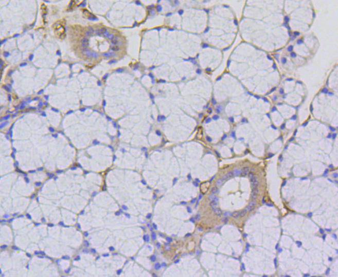
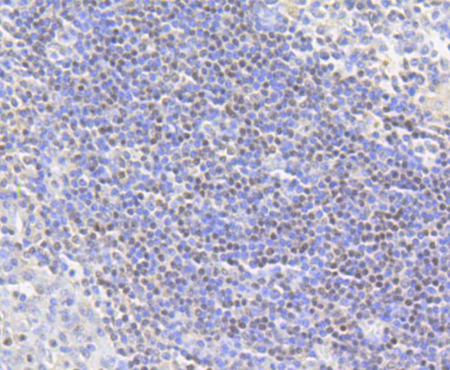
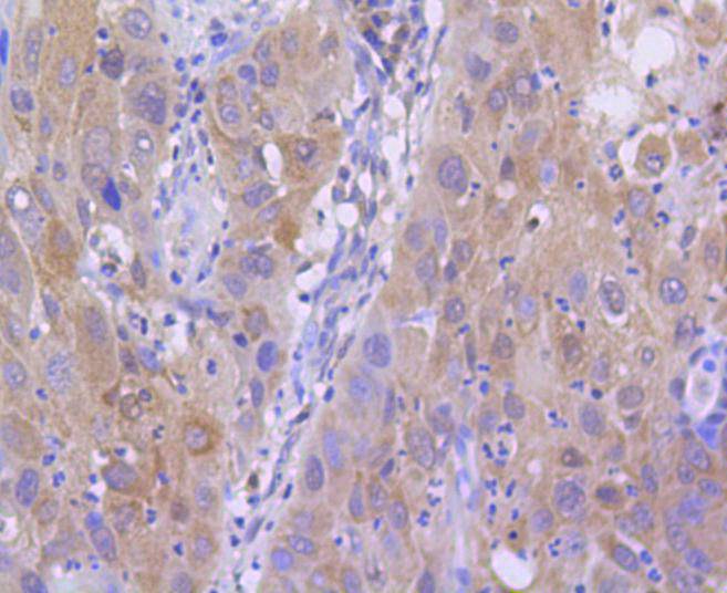
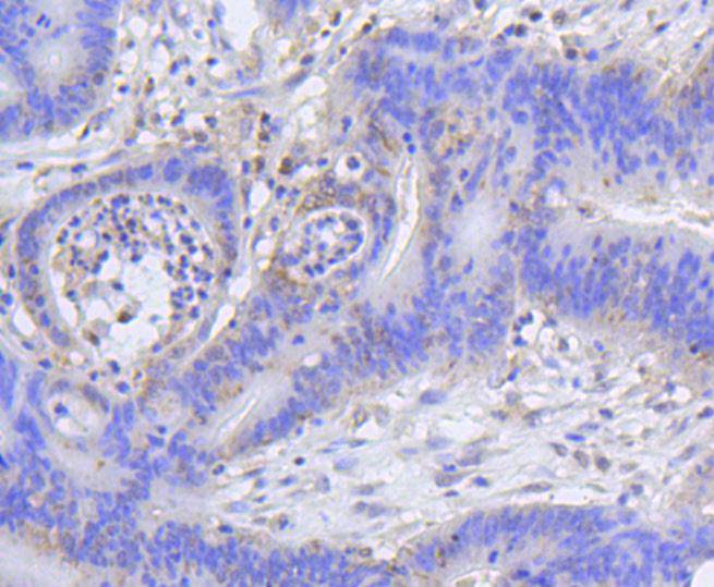
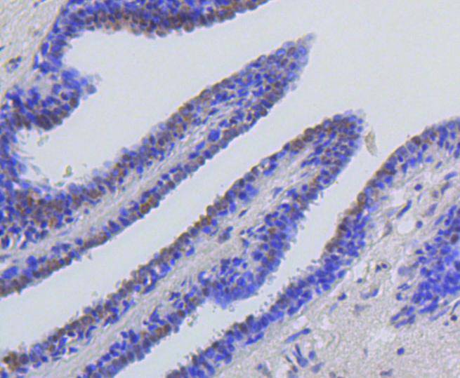
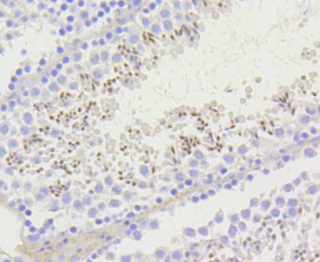
应用详情:
WB: 1:500-1:1,000
IHC: 1:50-1:200
ICC: 1:50-1:200
图片:

HW219
,

HW219
,

HW219
,

HW219
,

HW219
,

HW219
,

HW219
,

HW219
,

HW219
,

HW219
风险提示:丁香通仅作为第三方平台,为商家信息发布提供平台空间。用户咨询产品时请注意保护个人信息及财产安全,合理判断,谨慎选购商品,商家和用户对交易行为负责。对于医疗器械类产品,请先查证核实企业经营资质和医疗器械产品注册证情况。
文献和实验Competing Chromosomal Proteins from Drosophila Polytene Chromosomes Using Modified Histone Peptides
to chromatin, by its histone tail interaction or by other interactions, then you would not expect to see loss of binding upon peptide competition. A good positive control for the assay is to use H3K9 dimethylated peptide to compete HP1 from the pericentric
that was an interspecific hybrid (H) between Mus musculus domesticus (D, paternal genome) and Mus spretus (S, maternal genome). The native chromatin was then immunoprecipitated with rabbit polyclonal antisera to acetylation at lysine 9 of H3 (H3K9Ac) and to dimethylation
结果分析的重要步骤和Trouble shooting的依据,因为非特异性的免疫沉淀难以避免。 一般的设置方法 1 未经免疫 沉淀的超声处理后样本( INPUT)。 2 加特异抗体来源动物的正常血清或无关抗体(MOCK)。 3 阳性对照引物的应用。 4 选择不与目的蛋白质结合的基因组 区域作对照。 如 阳性对照抗体 (Anti-acetyl-Histone H3) * 阴性对照抗体 (Normal Rabbit
技术资料暂无技术资料 索取技术资料





![MYL7 Polyclonal Antibody[30621]](https://img1.dxycdn.com/p/s14/2025/0923/305/2150219664296040791.jpg!wh200)
![TNFRSF10A Rabbit Polyclonal Antibody[53379]](https://img1.dxycdn.com/p/s14/2025/0922/498/0460884283108299691.jpg!wh200)

![SLC23A2 antibody[39145]](https://img1.dxycdn.com/p/s14/2025/0922/359/6146153295428599691.jpg!wh200)
