相关产品推荐更多 >
万千商家帮你免费找货
0 人在求购买到急需产品
- 详细信息
- 文献和实验
- 技术资料
- 免疫原:
Synthetic Peptide of Acetyl P53(K382)
- 形态:
liquid
- 保存条件:
Store at -20˚C
- 克隆性:
Monoclonal
- 适应物种:
Human;Mouse;Rat
- 保质期:
12 months
- 抗原来源:
Mouse
- 供应商:
南京赛戈巍生物科技有限公司
- 宿主:
Mouse
- 应用范围:
IHC
- 抗体英文名:
Acetyl P53(K382) Mouse Monoclonal Antibody(5H10)
- 规格:
50ul/100ul
计算分子量:53kd
配方:Liquid in PBS containing 50% glycerol, 0.5% BSA and 0.02% sodium azide.
应用详情:
Immunohistochemistry: 1:50-1:200
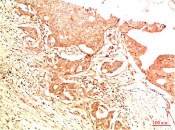
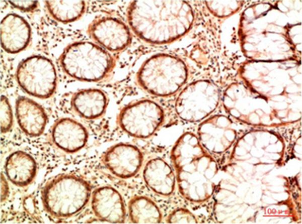
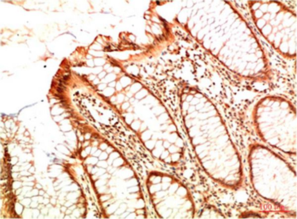
图片:

Immunohistochemical analysis of paraffin-embedded Human Breast Carcinoma Tissue using Acetyl P53(K382) Mouse mAb diluted at 1:200.
,

Immunohistochemical analysis of paraffin-embedded Human Colon Carcinoma Tissue using Acetyl P53(K382) Mouse mAb diluted at 1:200.
,

Immunohistochemical analysis of paraffin-embedded Human Colon Carcinoma Tissue using Acetyl P53(K382) Mouse mAb diluted at 1:200.
风险提示:丁香通仅作为第三方平台,为商家信息发布提供平台空间。用户咨询产品时请注意保护个人信息及财产安全,合理判断,谨慎选购商品,商家和用户对交易行为负责。对于医疗器械类产品,请先查证核实企业经营资质和医疗器械产品注册证情况。
文献和实验【资源】全面归类网址:毕赤酵母表达各种来源蛋白(细菌,真菌,植物,人类等)
-glycoproteinI, 700ug/100mg memb. protein, active376Mouse Mdr3 P-glycoproteinI (membrane-bound), 6 mg/mg[166,167,168, 383]Mouse monoclonal single-chain Fv antibody fragmentS, α-MF, 45 mg/L, active498, 509Murine macrophage inflammatory protein-2 (MIP-2)S, 40 mg/L
/58799168/206_Peptide_Research.pdf http://rapidshare.com/files/58799709/207_Recombinant_Antibodies_for_Cancer_Therapy.pdf http://rapidshare.com/files/58800101/208_Peptide_Nucleic_Acids.pdf http://rapidshare.com/files/58800297/209_Transgenic_Mouse_Methods
【分享】100本最新分子生物学书籍Methods in Molecular Biology Volume 201-300
_Peptide_Research.pdf http://rapidshare.com/files/58799709/207_Recombinant_Antibodies_for_Cancer_Therapy.pdf http://rapidshare.com/files/58800101/208_Peptide_Nucleic_Acids.pdf http://rapidshare.com/files/58800297/209_Transgenic_Mouse_Methods
技术资料暂无技术资料 索取技术资料





![SEMA3C Rabbit Polyclonal Antibody[54029]](https://img1.dxycdn.com/p/s14/2025/0922/498/0460884283108299691.jpg!wh200)
![TAF15 Conjugated Antibody[C57011]](https://img1.dxycdn.com/p/s14/2025/0922/632/2321321568067599691.jpg!wh200)

![TMPRSS3 Antibody[43162]](https://img1.dxycdn.com/p/s14/2025/0922/568/0046652811090600791.jpg!wh200)

