相关产品推荐更多 >
万千商家帮你免费找货
0 人在求购买到急需产品
- 详细信息
- 文献和实验
- 技术资料
- 免疫原:
Recombinant protein of human ID2.
- 形态:
liquid
- 保存条件:
Store at -20˚C
- 克隆性:
Polyclonal
- 适应物种:
Human;Mouse;Rat
- 保质期:
12 months
- 抗原来源:
Rabbit
- 供应商:
南京赛戈巍生物科技有限公司
- 宿主:
Rabbit
- 应用范围:
WB,IHC
- 靶点:
Uniprot:Q02363
- 抗体英文名:
ID2 antibody
- 规格:
50ul/100ul
配方:Supplied at 1.0mg/mL in phosphate buffered saline (without Mg2+ and Ca2+), pH 7.4, 150mM NaCl, 0.02% sodium azide and 50% glycerol.
应用详情:WB 1:500 - 1:2000
IHC 1:50 - 1:200
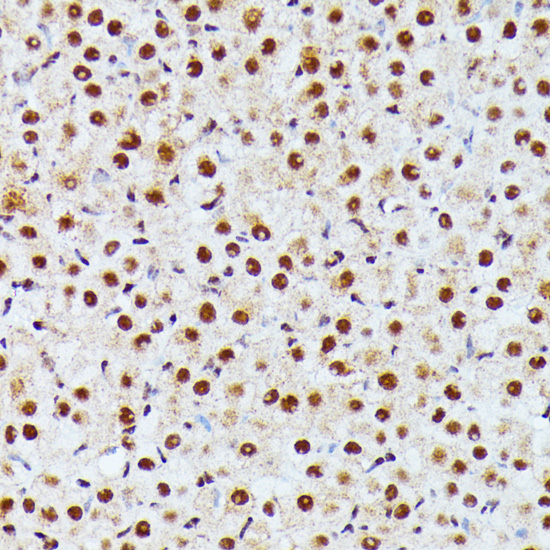
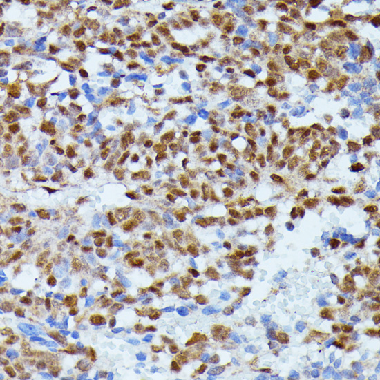
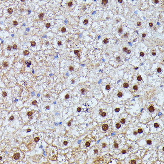
图片:

Immunohistochemistry of paraffin-embedded rat ovary using ID2 antibody at dilution of 1:100 (40x lens).
,

Immunohistochemistry of paraffin-embedded human oophoroma using ID2 antibody at dilution of 1:100 (40x lens).
,

Immunohistochemistry of paraffin-embedded mouse liver using ID2 antibody at dilution of 1:100 (40x lens).
,

Western blot analysis of extracts of mouse lung, using ID2 antibody at 1:1000 dilution.
风险提示:丁香通仅作为第三方平台,为商家信息发布提供平台空间。用户咨询产品时请注意保护个人信息及财产安全,合理判断,谨慎选购商品,商家和用户对交易行为负责。对于医疗器械类产品,请先查证核实企业经营资质和医疗器械产品注册证情况。
文献和实验Sci Signal 封面文章:赵振东 / 王健伟等揭示转录因子 ID2 抑制抗病毒天然免疫机制
天然免疫是机体抗病毒感染的第一道防线。机体为清除侵入的病毒必须启动有效的天然免疫应答,为避免过度天然免疫反应导致免疫病理损伤和清除入侵的病毒后快速恢复细胞内环境稳态,宿主细胞进化出多样的机制以调控天然免疫应答的强度。 2022 年 1 月 4 日,中国医学科学院病原生物学研究所赵振东课题组和王健伟课题组在 Science Signaling 期刊发表题为:ID2 inhibits innate antiviral immunity by blocking TBK1- and IKKε
Generation of Antibody Molecules Through Antibody Engineering
been overcome to a large extent using genetic-engineering techniques to produce chimeric mouse/human and completely human antibodies. Such an approach is particularly suitable because of the domain structure of the antibody molecule ( 2 ), where functional
The importance of antibody molecules was first recognized in the 1890s, when it was shown that immunity to tetanus and diphtheria was caused by antibodies against the bacterial exotoxins (1 ). Around the same time, it was shown that antisera
技术资料暂无技术资料 索取技术资料





![EAR1 Polyclonal Antibody FITC Conjugated[C91273FITC]](https://img1.dxycdn.com/p/s14/2025/0922/498/0460884283108299691.jpg!wh200)

![AK5 Antibody[46307]](https://img1.dxycdn.com/p/s14/2025/0923/496/0462304380155040791.jpg!wh200)
![TGM3 Conjugated Antibody[C33094]](https://img1.dxycdn.com/p/s14/2025/0923/278/4431488150116040791.jpg!wh200)

