相关产品推荐更多 >
万千商家帮你免费找货
0 人在求购买到急需产品
- 详细信息
- 文献和实验
- 技术资料
- 免疫原:
Synthetic peptide corresponding to residues near the N terminal of human aryl hydrocarbon receptor
- 形态:
liquid
- 保存条件:
Store at -20˚C
- 克隆性:
Polyclonal
- 适应物种:
Human;Mouse
- 保质期:
12 months
- 抗原来源:
Rabbit
- 供应商:
南京赛戈巍生物科技有限公司
- 宿主:
Rabbit
- 应用范围:
IHC
- 靶点:
Uniprot:P35869
- 抗体英文名:
AHR Antibody
- 规格:
50ul/100ul
配方:Rabbit IgG in pH7.3 PBS, 0.05% NaN3, 50% Glycerol.
应用详情:Immunohistochemistry: 1:50-1:200
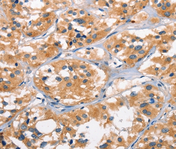
图片:

Immunohistochemical analysis of paraffin-embedded Human thyroid cancer tissue using #37415 at dilution 1/50.
,

Immunohistochemical analysis of paraffin-embedded Human cervical cancer tissue using #37415 at dilution 1/50.
风险提示:丁香通仅作为第三方平台,为商家信息发布提供平台空间。用户咨询产品时请注意保护个人信息及财产安全,合理判断,谨慎选购商品,商家和用户对交易行为负责。对于医疗器械类产品,请先查证核实企业经营资质和医疗器械产品注册证情况。
文献和实验Ahr knockout genotyping by PCR
Bradfield Lab, McArdle Laboratory for Cancer Research, University of Wisconsin-Madison Medical School http://mcardle.oncology.wisc.edu/bradfield/Ahr-knockout.html This protocol is published in Journal
Ahr transgenic genotyping by PCR
Bradfield Lab, McArdle Laboratory for Cancer Research, University of Wisconsin-Madison Medical School http://mcardle.oncology.wisc.edu/bradfield/Ahr-transgenic-genotyping.html Amplify a 600bp fragment using OL638 and OL639
Cell-Based Assays for Identification of Aryl Hydrocarbon Receptor (AhR) Activators
The Ah receptor (AhR) is a ligand-dependent transcription factor that mediates a wide range of biological and toxicological effects from exposure to structurally diverse synthetic and naturally occurring chemicals. The role of the AhR
技术资料暂无技术资料 索取技术资料





![DGKK Conjugated Antibody[C33927]](https://img1.dxycdn.com/p/s14/2025/0923/278/4431488150116040791.jpg!wh200)
![JAG2 Antibody[37669]](https://img1.dxycdn.com/p/s14/2025/0922/359/6146153295428599691.jpg!wh200)
![ZNF23 Antibody[43350]](https://img1.dxycdn.com/p/s14/2025/0922/568/0046652811090600791.jpg!wh200)
![BANF1 Rabbit Polyclonal Antibody[53879]](https://img1.dxycdn.com/p/s14/2025/0922/498/0460884283108299691.jpg!wh200)

