相关产品推荐更多 >
万千商家帮你免费找货
0 人在求购买到急需产品
- 详细信息
- 文献和实验
- 技术资料
- 免疫原:
Synthetic peptide corresponding to a region derived from internal residues of human Transmembrane protein 8B
- 形态:
liquid
- 保存条件:
Store at -20˚C
- 克隆性:
Polyclonal
- 适应物种:
Human;Mouse
- 保质期:
12 months
- 抗原来源:
Rabbit
- 供应商:
南京赛戈巍生物科技有限公司
- 宿主:
Rabbit
- 应用范围:
IHC
- 靶点:
Uniprot:A6NDV4
- 抗体英文名:
TMEM8B Antibody
- 规格:
50ul/100ul
配方:Rabbit IgG in pH7.3 PBS, 0.05% NaN3, 50% Glycerol.
应用详情:Immunohistochemistry: 1:25-1:100
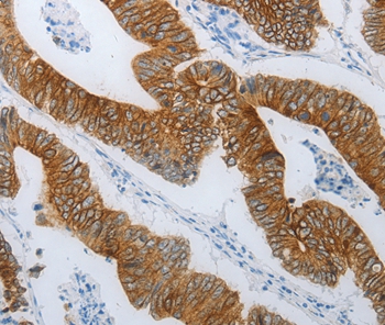
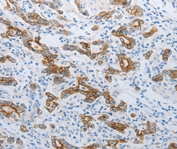
图片:

Immunohistochemical analysis of paraffin-embedded Human colon cancer tissue using #37186 at dilution 1/15.
,

Immunohistochemical analysis of paraffin-embedded Human gastric cancer tissue using #37186 at dilution 1/15.
风险提示:丁香通仅作为第三方平台,为商家信息发布提供平台空间。用户咨询产品时请注意保护个人信息及财产安全,合理判断,谨慎选购商品,商家和用户对交易行为负责。对于医疗器械类产品,请先查证核实企业经营资质和医疗器械产品注册证情况。
文献和实验化,其他已知细胞松弛素 B还可抑制糖的输送,可以考虑细胞松弛素 B与细胞膜间的相互作用。此外还分离出数种具有类似结构和功能的物质,分别命名为细胞松弛素 A、 C、 D、 E、 F。
细胞色素b563 cytochrome b563 亦称细胞色素 b6 。存在于高等植物至藻类的叶绿体中,与类囊体膜结合紧密。含有原正铁血红素,氧化还原 (β带)和 434nm(γ带或 So- ret带)。为发动光合磷酸化的环状电子传递系统的一个成分,可被光化系统Ⅰ所还原和氧化。
Antibody-Induced Opsonophagocytosis of Serogroup B Meningococci Measured by Flow Cytometry
meningococci, there seems to be a correlation between SBA activity and protection (1 ), whereas OP has been less well-studied. This function may have a supplementary or even major role in protection against group B meningococci.
技术资料暂无技术资料 索取技术资料





![F10 Conjugated Antibody[C32282]](https://img1.dxycdn.com/p/s14/2025/0923/278/4431488150116040791.jpg!wh200)
![Nectin 2 Conjugated Antibody[C49959]](https://img1.dxycdn.com/p/s14/2025/0923/305/2150219664296040791.jpg!wh200)
![Histone H3 (acetyl K23) Conjugated Antibody[C56908]](https://img1.dxycdn.com/p/s14/2025/0922/632/2321321568067599691.jpg!wh200)


