相关产品推荐更多 >
万千商家帮你免费找货
0 人在求购买到急需产品
- 详细信息
- 技术资料
- 免疫原:
Full length fusion protein
- 形态:
liquid
- 保存条件:
Store at -20˚C
- 克隆性:
Polyclonal
- 适应物种:
Human;Mouse
- 保质期:
12 months
- 抗原来源:
Rabbit
- 供应商:
南京赛戈巍生物科技有限公司
- 宿主:
Rabbit
- 应用范围:
WB IHC
- 靶点:
Uniprot:Q9UKG9
- 抗体英文名:
CROT Antibody
- 规格:
50ul/100ul
别名:COT
配方:Rabbit IgG in pH7.3 PBS, 0.05% NaN3, 50% Glycerol.
应用详情:Western blotting: 1:200-1:1000
Immunohistochemistry: 1:100-1:300
图片:
配方:Rabbit IgG in pH7.3 PBS, 0.05% NaN3, 50% Glycerol.
应用详情:Western blotting: 1:200-1:1000
Immunohistochemistry: 1:100-1:300
图片:
![CROT Antibody[36373]](https://img1.dxycdn.com/p/s14/2025/0922/035/8427787360924799691.jpg)
Gel: 8%SDS-PAGE
Lysates (from left to right): 293T cell and mouse kidney tissue
Amount of lysate: 40ug per lane
Primary antibody: 1/270 dilution
Secondary antibody dilution: 1/8000
Exposure time: 5 minutes
,
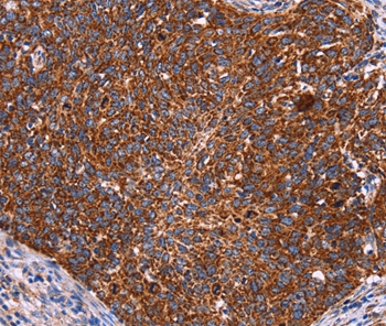
![CROT Antibody[36373]](https://img1.dxycdn.com/p/s14/2025/0922/106/4289242711924799691.jpg)
Immunohistochemical analysis of paraffin-embedded Human cervical cancer tissue using #36373 at dilution 1/50.
风险提示:丁香通仅作为第三方平台,为商家信息发布提供平台空间。用户咨询产品时请注意保护个人信息及财产安全,合理判断,谨慎选购商品,商家和用户对交易行为负责。对于医疗器械类产品,请先查证核实企业经营资质和医疗器械产品注册证情况。
技术资料暂无技术资料 索取技术资料
CROT Antibody[36373]
询价


![CROT Antibody[36373]](https://img1.dxycdn.com/p/s14/2025/0922/359/6146153295428599691.jpg)


![CTSL Antibody[35668]](https://img1.dxycdn.com/p/s14/2025/0922/359/6146153295428599691.jpg!wh200)
![SRF Polyclonal Antibody[41459]](https://img1.dxycdn.com/p/s14/2025/0922/568/0046652811090600791.jpg!wh200)
![Calmegin Rabbit mAb[56682]](https://img1.dxycdn.com/p/s14/2025/0922/632/2321321568067599691.jpg!wh200)
![IDH2 (Phospho-Thr405) Antibody[SAB486P]](https://img1.dxycdn.com/p/s14/2025/0922/498/0460884283108299691.jpg!wh200)
