相关产品推荐更多 >
万千商家帮你免费找货
0 人在求购买到急需产品
- 详细信息
- 文献和实验
- 技术资料
- 免疫原:
Full length fusion protein
- 形态:
liquid
- 保存条件:
Store at -20˚C
- 克隆性:
Polyclonal
- 适应物种:
Human
- 保质期:
12 months
- 抗原来源:
Rabbit
- 供应商:
南京赛戈巍生物科技有限公司
- 宿主:
Rabbit
- 应用范围:
IHC
- 靶点:
Uniprot:Q6R327
- 抗体英文名:
RICTOR Antibody
- 规格:
50ul/100ul
配方:Rabbit IgG in pH7.3 PBS, 0.05% NaN3, 50% Glycerol.
应用详情:Immunohistochemistry: 1:25-1:200
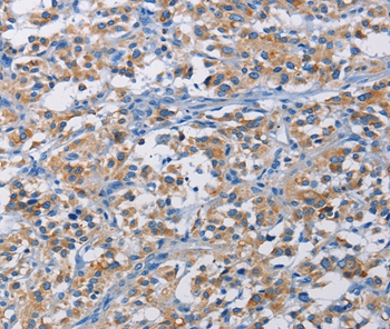
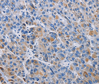
图片:

Immunohistochemical analysis of paraffin-embedded Human thyroid cancer tissue using #36195 at dilution 1/50.
,

Immunohistochemical analysis of paraffin-embedded Human liver cancer tissue using #36195 at dilution 1/50.
风险提示:丁香通仅作为第三方平台,为商家信息发布提供平台空间。用户咨询产品时请注意保护个人信息及财产安全,合理判断,谨慎选购商品,商家和用户对交易行为负责。对于医疗器械类产品,请先查证核实企业经营资质和医疗器械产品注册证情况。
文献和实验Inducible raptor and rictor Knockout Mouse Embryonic Fibroblasts
) or the mTORC2-specific component rictor (iRicKO). Inducibility of the knockout was important because mTOR complex components are essential. Induction of either raptor or rictor knockout eliminated raptor or rictor expression, respectively, and impaired
血管收缩神经vasoconstrictor,vasoconst- rictor nerve
血管收缩神经 vasoconstrictor, vasoconst- rictor nerve 血管运动神经的一种,具有使血管收缩的( vaso- contriction)作用。属于交感神经系.其节后纤维与背髓神经会合.或独立的沿着动脉向末梢走行.几乎分布在全身的末梢血管上。在腹部内脏,经过内脏神经.这种神经的分布特别多,但在骨骼肌的血管收缩神经的作用是轻微的,在心脏、肺、脑等重要器官内.这种神经的作用是看不到的.
Generation of Antibody Molecules Through Antibody Engineering
been overcome to a large extent using genetic-engineering techniques to produce chimeric mouse/human and completely human antibodies. Such an approach is particularly suitable because of the domain structure of the antibody molecule ( 2 ), where functional
技术资料暂无技术资料 索取技术资料





![CD183 Mouse mAb[63278]](https://img1.dxycdn.com/p/s14/2025/0922/632/2321321568067599691.jpg!wh200)
![SGPL1 Polyclonal Antibody FITC Conjugated[C92145FITC]](https://img1.dxycdn.com/p/s14/2025/0922/498/0460884283108299691.jpg!wh200)
![TRIT1 Polyclonal Antibody[27899]](https://img1.dxycdn.com/p/s14/2025/0923/305/2150219664296040791.jpg!wh200)

![EMID2 Antibody[44513]](https://img1.dxycdn.com/p/s14/2025/0922/568/0046652811090600791.jpg!wh200)
