相关产品推荐更多 >
万千商家帮你免费找货
0 人在求购买到急需产品
- 详细信息
- 技术资料
- 免疫原:
Fusion protein corresponding to residues near the C terminal of human acyl-CoA synthetase bubblegum family member 1
- 形态:
liquid
- 保存条件:
Store at -20˚C
- 克隆性:
Polyclonal
- 适应物种:
Human
- 保质期:
12 months
- 抗原来源:
Rabbit
- 供应商:
南京赛戈巍生物科技有限公司
- 宿主:
Rabbit
- 应用范围:
IHC
- 靶点:
Uniprot:Q96GR2
- 抗体英文名:
ACSBG1 Antibody
- 规格:
50ul/100ul
别名:BG; BG1; BGM; LPD; GR-LACS
配方:Rabbit IgG in pH7.3 PBS, 0.05% NaN3, 50% Glycerol.
应用详情:Immunohistochemistry: 1:25-1:100
图片:
配方:Rabbit IgG in pH7.3 PBS, 0.05% NaN3, 50% Glycerol.
应用详情:Immunohistochemistry: 1:25-1:100
图片:
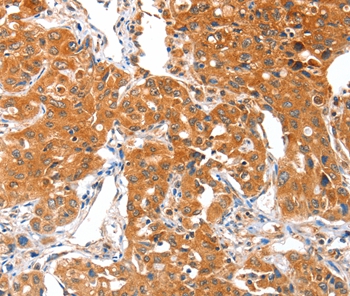
![ACSBG1 Antibody[36024]](https://img1.dxycdn.com/p/s14/2025/0922/149/2511635275723799691.jpg)
Immunohistochemical analysis of paraffin-embedded Human thyroid cancer tissue using #36024 at dilution 1/25.
,
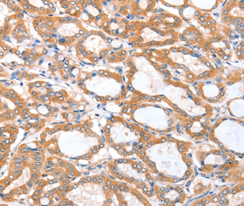
![ACSBG1 Antibody[36024]](https://img1.dxycdn.com/p/s14/2025/0922/748/0468028475723799691.jpg)
Immunohistochemical analysis of paraffin-embedded Human lung cancer tissue using #36024 at dilution 1/25.
风险提示:丁香通仅作为第三方平台,为商家信息发布提供平台空间。用户咨询产品时请注意保护个人信息及财产安全,合理判断,谨慎选购商品,商家和用户对交易行为负责。对于医疗器械类产品,请先查证核实企业经营资质和医疗器械产品注册证情况。
技术资料暂无技术资料 索取技术资料
ACSBG1 Antibody[36024]
询价


![ACSBG1 Antibody[36024]](https://img1.dxycdn.com/p/s14/2025/0922/359/6146153295428599691.jpg)


![CTSG Antibody[35667]](https://img1.dxycdn.com/p/s14/2025/0922/359/6146153295428599691.jpg!wh200)
![COX7A2 antibody[31973]](https://img1.dxycdn.com/p/s14/2025/0923/305/2150219664296040791.jpg!wh200)

![COUP TF1 Rabbit mAb[56245]](https://img1.dxycdn.com/p/s14/2025/0922/632/2321321568067599691.jpg!wh200)
