相关产品推荐更多 >
万千商家帮你免费找货
0 人在求购买到急需产品
- 详细信息
- 文献和实验
- 技术资料
- 免疫原:
Synthesized peptide derived from internal of human C1S.
- 形态:
liquid
- 保存条件:
Store at -20˚C
- 克隆性:
Polyclonal
- 适应物种:
Human
- 保质期:
12 months
- 抗原来源:
Rabbit
- 供应商:
南京赛戈巍生物科技有限公司
- 宿主:
Rabbit
- 应用范围:
WB IHC
- 靶点:
Uniprot:P09871
- 抗体英文名:
C1S Antibody
- 规格:
50ul/100ul
配方:Rabbit IgG in phosphate buffered saline (without Mg2+ and Ca2+), pH 7.4, 150mM NaCl, 0.02% sodium azide and 50% glycerol.
应用详情:Western blotting: 1:500~1:3000
Immunohistochemistry: 1:50~1:100
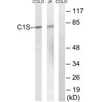
图片:

Western blot analysis of extracts from Jurkat cells and COLO cells, using C1S antibody #34610.
,

Immunohistochemistry analysis of paraffin-embedded human breast carcinoma tissue, using C1S antibody #34610.
风险提示:丁香通仅作为第三方平台,为商家信息发布提供平台空间。用户咨询产品时请注意保护个人信息及财产安全,合理判断,谨慎选购商品,商家和用户对交易行为负责。对于医疗器械类产品,请先查证核实企业经营资质和医疗器械产品注册证情况。
文献和实验补体成分 C1(C1q/C1r/C1s) 补体成分:C1q 血清浓度(μg/ml):75 分子量(kDa):410 亚单位(链)及分子量(kDa):A:24各6条B:23各6条C:22各6条 生物学活性:识别IgG、IgMFc的补体结合点 补体成分:C1r 血清浓度(μg/ml):50 分子量(kDa):85
Generation of Antibody Molecules Through Antibody Engineering
been overcome to a large extent using genetic-engineering techniques to produce chimeric mouse/human and completely human antibodies. Such an approach is particularly suitable because of the domain structure of the antibody molecule ( 2 ), where functional
associates with the recognition protein C1q. The C1 complex circulates in serum as a zymogen and is activated upon binding of C1q to appropriate targets, such as antigen–antibody complexes. This property is used for the purification of C1r and C1s from human
技术资料暂无技术资料 索取技术资料





![Probetacellulin Polyclonal Conjugated Antibody[C42006]](https://img1.dxycdn.com/p/s14/2025/0923/278/4431488150116040791.jpg!wh200)

![GJB7 Antibody[34701]](https://img1.dxycdn.com/p/s14/2025/0922/359/6146153295428599691.jpg!wh200)

