相关产品推荐更多 >
万千商家帮你免费找货
0 人在求购买到急需产品
- 详细信息
- 文献和实验
- 技术资料
- 免疫原:
Synthetic Peptide of Collagen I
- 形态:
liquid
- 保存条件:
Store at -20˚C
- 克隆性:
Monoclonal
- 适应物种:
Human;Mouse;Rat
- 保质期:
12 months
- 抗原来源:
Mouse
- 供应商:
南京赛戈巍生物科技有限公司
- 宿主:
Mouse
- 应用范围:
IHC
- 靶点:
Uniprot:P02452
- 抗体英文名:
Collagen I Mouse Monoclonal Antibody(6E11)
- 规格:
50ul/100ul
计算分子量:139kd
配方:Liquid in PBS containing 50% glycerol, 0.5% BSA and 0.02% sodium azide.
应用详情:
Immunohistochemistry: 1:50-1:200
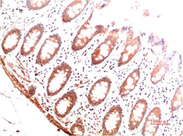
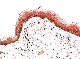
图片:

Immunohistochemical analysis of paraffin-embedded Human Colon Carcinoma Tissue using Collagen I Mouse mAb diluted at 1:200.
,

Immunohistochemical analysis of paraffin-embedded Human Skin Carcinoma Tissue using Collagen I Mouse mAb diluted at 1:200.
风险提示:丁香通仅作为第三方平台,为商家信息发布提供平台空间。用户咨询产品时请注意保护个人信息及财产安全,合理判断,谨慎选购商品,商家和用户对交易行为负责。对于医疗器械类产品,请先查证核实企业经营资质和医疗器械产品注册证情况。
文献和实验In Vitro Analysis of Mouse Mesencephalic Neural Crest Development
crest development. Dev. Biol. 157:517‐525. Kubota, Y., Morita, T., and Ito, K. 1996. New monoclonal antibody (4E9R) identifies mouse neural crest cells. Dev. Dyn. 206:368‐378
【申请上传】Current Protocols in Immunology
Surgical Procedures Unit 1.9 Removal of Lymphoid Organs Unit 1.10 Survival Surgery: Removal of the Spleen or Thymus Unit 1.11 Surgical Removal of Mouse Salivary Glands Chapter 2 Induction of Immune Responses Introduction Section I Assays for Antibody
Development of techniques for primary culture of C. elegans embryonic neurons
were mounted in Mowiol containing 1 mg/ml p-phenylenediamine and observed. Ascites fluid from monoclonal antibody 611B1 (G. Pipierno) was used at a 1:10 dilution, the anti-tubulin monoclonal antibody YL1/2 was used at a 1:50 dilution. Rhodamine
技术资料暂无技术资料 索取技术资料





![PAK1 Conjugated Antibody[C56291]](https://img1.dxycdn.com/p/s14/2025/0922/632/2321321568067599691.jpg!wh200)
![FCGR3A antibody[38423]](https://img1.dxycdn.com/p/s14/2025/0922/359/6146153295428599691.jpg!wh200)
![CFTR Polyclonal Antibody[40734]](https://img1.dxycdn.com/p/s14/2025/0922/568/0046652811090600791.jpg!wh200)
![STAT5b Conjugated Antibody[C49176]](https://img1.dxycdn.com/p/s14/2025/0923/305/2150219664296040791.jpg!wh200)
