相关产品推荐更多 >
万千商家帮你免费找货
0 人在求购买到急需产品
- 详细信息
- 技术资料
- 免疫原:
Recombinant Protein of TTR
- 形态:
liquid
- 保存条件:
Store at -20˚C
- 克隆性:
Monoclonal
- 适应物种:
Human
- 保质期:
12 months
- 抗原来源:
Mouse
- 供应商:
南京赛戈巍生物科技有限公司
- 宿主:
Mouse
- 应用范围:
WB IHC
- 靶点:
Uniprot:P02766
- 抗体英文名:
TTR Mouse Monoclonal Antibody(2B12)
- 规格:
50ul/100ul
别名:Transthyretin (ATTR) (Prealbumin) (TBPA)
计算分子量:16kd
配方:Liquid in PBS containing 50% glycerol, 0.5% BSA and 0.02% sodium azide.
应用详情:Western blotting: 1:500-1:2000
Immunohistochemistry: 1:50-1:2000
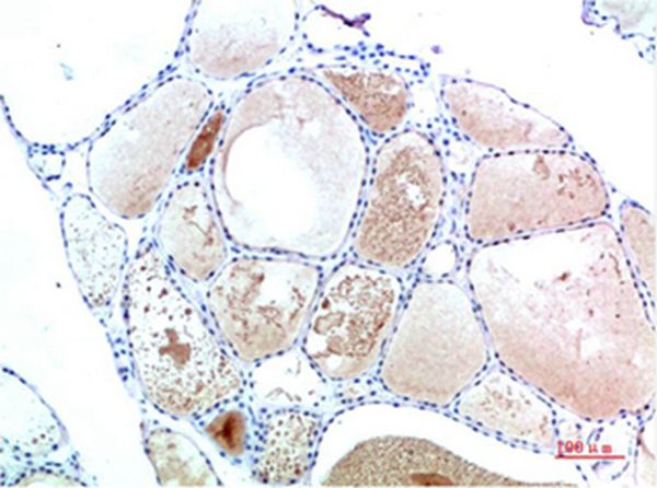
图片:
计算分子量:16kd
配方:Liquid in PBS containing 50% glycerol, 0.5% BSA and 0.02% sodium azide.
应用详情:Western blotting: 1:500-1:2000
Immunohistochemistry: 1:50-1:2000
图片:

Western blot analysis of Human Serum using TTR Mouse mAb diluted at 1:2000
,

Immunohistochemical analysis of paraffin-embedded Human Thyroid Tissue using TTR Mouse mAb diluted at 1:200
风险提示:丁香通仅作为第三方平台,为商家信息发布提供平台空间。用户咨询产品时请注意保护个人信息及财产安全,合理判断,谨慎选购商品,商家和用户对交易行为负责。对于医疗器械类产品,请先查证核实企业经营资质和医疗器械产品注册证情况。
技术资料暂无技术资料 索取技术资料
TTR Mouse Monoclonal Antibody(2B12)[44228]
询价


![TTR Mouse Monoclonal Antibody(2B12)[44228]](https://img1.dxycdn.com/p/s14/2025/0922/568/0046652811090600791.jpg)


![STK39 (Phospho-Ser323) Conjugated Antibody[C11754]](https://img1.dxycdn.com/p/s14/2025/0923/278/4431488150116040791.jpg!wh200)
![FGF2 Rabbit mAb[52009]](https://img1.dxycdn.com/p/s14/2025/0922/498/0460884283108299691.jpg!wh200)
![4E-BP1/2/3 (Phospho-Thr 45) Antibody[13321]](https://img1.dxycdn.com/p/s14/2025/0923/496/0462304380155040791.jpg!wh200)
![HTR1B Antibody[43284]](https://img1.dxycdn.com/p/s14/2025/0922/568/0046652811090600791.jpg!wh200)
![neurogenin 2 Antibody[39281]](https://img1.dxycdn.com/p/s14/2025/0922/359/6146153295428599691.jpg!wh200)
