相关产品推荐更多 >
万千商家帮你免费找货
0 人在求购买到急需产品
- 详细信息
- 技术资料
- 免疫原:
Synthetic peptide of human LILRB5
- 形态:
liquid
- 保存条件:
Store at -20˚C
- 克隆性:
Polyclonal
- 适应物种:
Human
- 保质期:
12 months
- 抗原来源:
Rabbit
- 供应商:
南京赛戈巍生物科技有限公司
- 宿主:
Rabbit
- 应用范围:
IHC WB
- 靶点:
Uniprot:O75023
- 抗体英文名:
LILRB5 Antibody
- 规格:
50ul/100ul
别名:LIR8; CD85C; LIR-8
计算分子量:64kd
配方:Rabbit IgG in pH7.4 PBS, 0.05% NaN3, 40% Glycerol.
应用详情:Western blotting: 1:200-1000
Immunohistochemistry: 1: 20-100
图片:
计算分子量:64kd
配方:Rabbit IgG in pH7.4 PBS, 0.05% NaN3, 40% Glycerol.
应用详情:Western blotting: 1:200-1000
Immunohistochemistry: 1: 20-100
图片:
![LILRB5 Antibody[43739]](https://img1.dxycdn.com/p/s14/2025/0922/746/2555521380301700791.jpg)
Gel: 8%SDS-PAGE
Lysate: 40 μg, Lane: SKOV3 cell lysate,
Primary antibody:LILRB5 antibody at dilution 1/200 dilution,
Secondary antibody: Goat anti rabbit IgG at 1/8000 dilution,
Exposure time: 50 seconds
,
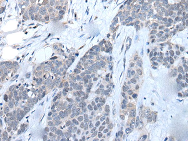
![LILRB5 Antibody[43739]](https://img1.dxycdn.com/p/s14/2025/0922/738/8672308480301700791.jpg)
The image on the left is immunohistochemistry of paraffin-embedded Human thyroid cancer tissue using LILRB5 Antibody at dilution 1/25, on the right is treated with synthetic peptide. (Original magnification: x200)
风险提示:丁香通仅作为第三方平台,为商家信息发布提供平台空间。用户咨询产品时请注意保护个人信息及财产安全,合理判断,谨慎选购商品,商家和用户对交易行为负责。对于医疗器械类产品,请先查证核实企业经营资质和医疗器械产品注册证情况。
技术资料暂无技术资料 索取技术资料
LILRB5 Antibody[43739]
询价


![LILRB5 Antibody[43739]](https://img1.dxycdn.com/p/s14/2025/0922/568/0046652811090600791.jpg)


![IMP3 Conjugated Antibody[C56358]](https://img1.dxycdn.com/p/s14/2025/0922/632/2321321568067599691.jpg!wh200)
![HP-1γ Mouse Monoclonal Antibody(4F4)[44245]](https://img1.dxycdn.com/p/s14/2025/0922/568/0046652811090600791.jpg!wh200)
![STAT6 Conjugated Antibody[C21050]](https://img1.dxycdn.com/p/s14/2025/0923/278/4431488150116040791.jpg!wh200)
