相关产品推荐更多 >
万千商家帮你免费找货
0 人在求购买到急需产品
- 详细信息
- 技术资料
- 免疫原:
Synthetic peptide of human TNMD
- 形态:
liquid
- 保存条件:
Store at -20˚C
- 克隆性:
Polyclonal
- 适应物种:
Human
- 保质期:
12 months
- 抗原来源:
Rabbit
- 供应商:
南京赛戈巍生物科技有限公司
- 宿主:
Rabbit
- 应用范围:
IHC WB
- 靶点:
Uniprot:Q9H2S6
- 抗体英文名:
TNMD Antibody
- 规格:
50ul/100ul
别名:TEM; CHM1L; BRICD4
计算分子量:37kd
配方:Rabbit IgG in pH7.4 PBS, 0.05% NaN3, 40% Glycerol.
应用详情:Western blotting: 1:200-1000
Immunohistochemistry: 1: 30-150
图片:
计算分子量:37kd
配方:Rabbit IgG in pH7.4 PBS, 0.05% NaN3, 40% Glycerol.
应用详情:Western blotting: 1:200-1000
Immunohistochemistry: 1: 30-150
图片:
![TNMD Antibody[43641]](https://img1.dxycdn.com/p/s14/2025/0922/768/0293912001570700791.jpg)
Gel: 8%SDS-PAGE
Lysate: 40 μg, Lane: Human fetal liver tissue lysate,
Primary antibody:TNMD antibody at dilution 1/400,
Secondary antibody: Goat anti rabbit IgG at 1/8000 dilution,
Exposure time: 20 seconds
,
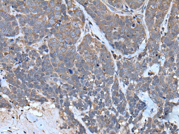
![TNMD Antibody[43641]](https://img1.dxycdn.com/p/s14/2025/0922/387/2133904311570700791.jpg)
The image on the left is immunohistochemistry of paraffin-embedded Human thyroid cancer tissue using TNMD Antibody at dilution 1/40, on the right is treated with synthetic peptide. (Original magnification: x200)
风险提示:丁香通仅作为第三方平台,为商家信息发布提供平台空间。用户咨询产品时请注意保护个人信息及财产安全,合理判断,谨慎选购商品,商家和用户对交易行为负责。对于医疗器械类产品,请先查证核实企业经营资质和医疗器械产品注册证情况。
技术资料暂无技术资料 索取技术资料
TNMD Antibody[43641]
询价


![TNMD Antibody[43641]](https://img1.dxycdn.com/p/s14/2025/0922/568/0046652811090600791.jpg)


![IL-8 Mouse Monoclonal Antibody(8B1)[44141]](https://img1.dxycdn.com/p/s14/2025/0922/568/0046652811090600791.jpg!wh200)
![Goat Anti-Chicken IgY (H&L) Biotin[L35033]](https://img1.dxycdn.com/p/s14/2025/0922/498/0460884283108299691.jpg!wh200)
![CA9 Mouse mAb[63183]](https://img1.dxycdn.com/p/s14/2025/0922/632/2321321568067599691.jpg!wh200)

